INTRODUCCION
El tricoblastoma es una neoplasia cutánea benigna, de presentación poco frecuente, con diferenciación hacia células germinativas foliculares. Su diagnóstico clínico es difícil, ya que suele aparecer como una lesión papulonodular de color de la piel normal, no ulcerada, de pequeño tamaño, localizada habitualmente en la cara o en el cuero cabelludo, sin otros datos clínicos específicos. Suele aparecer como una lesión aislada, pero se han descrito formas múltiples1 y asociadas a nevo sebáceo de Jadassohn2.
Histopatológicamente, se caracteriza por ser una neoplasia con características de benignidad, simétrica y bien delimitada que presenta grietas de retracción entre la estroma tumoral y la dermis sana adyacente. Está constituida por un epitelio de células germinativas foliculares y un estroma densamente fibrocítico que suelen mostrar diferenciación folicular hacia bulbos y papilas foliculares, respectivamente3.
Se presenta un tricoblastoma pigmentado con características clínicas atípicas en el que la dermatoscopia aportó información, orientando el diagnóstico. Destaca el interés de este caso por ser la primera descripción dermatoscópica de un tricoblastoma pigmentado, sin haber encontrado referencias bibliográficas previas al respecto.
CASO CLINICO
Varón de 68 años, que consultó por una tumoración cutánea de 2 años de evolución, de crecimiento progresivo, sangrante, localizada en el muslo izquierdo. En la exploración se observó una lesión papulonodular, bien delimitada, de 1 cm de diámetro, de coloración violácea, oscura, irregularmente pigmentada y erosionada en su superficie. No existían adenopatías locales palpables. Con las características clinicoevolutivas descritas, se plantearon los posibles diagnósticos diferenciales de melanoma nodular, carcinoma basocelular pigmentado, queratosis seborreica pigmentada irritada y angioqueratoma (fig. 1).
Fig. 1.--Imagen clínica de la lesión.
La dermatoscopia mostró una lesión bien delimitada, de bordes netos, constituida por lobulaciones de gran tamaño de coloración azul-grisácea, interconectadas por una imagen en seudovelo azul-grisáceo. Existía ulceración central y focalmente se observaron nidos ovoides azulados e imágenes en rueda de carro. No se observó retículo pigmentado ni en el centro ni en la periferia (fig. 2).
Fig. 2.--Imagen dermatoscópica: lobulaciones azul-grisáceas interconectadas por un seudovelo azul-gris. Presencia de ulceración central (asterisco), nidos ovoides azules (flecha discontínua) e imágenes en rueda de carro (flecha contínua). Ausencia de retículo πpigmentado.
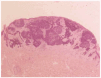
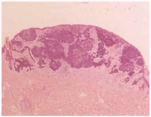
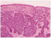
Se realizó extirpación de la tumoración y estudio histopatológico que demostró una lesión con características arquitecturales de benignidad, bien delimitada y simétrica localizada en la dermis (fig. 3). Estaba compuesta por células de aspecto basaloide, con ocasional formación de empalizada periférica. La inducción de la estroma originaba estructuras similares a las papilas foliculares. En la parte más superficial existía acumulación de pigmento melánico, tanto en los nódulos epiteliales como en melanófagos del estroma (fig. 4). El diagnóstico anatomopatológico fue de tricoblastoma pigmentado.
Fig. 3.--Panorámica histológica.
Fig. 4.--Epitelio con células basaloides y estroma con diferenciación folicular. En la parte más superficial se aprecian acumulaciones de pigmento melánico, tanto en los nódulos epiteliales como en los macrófagos del estroma.
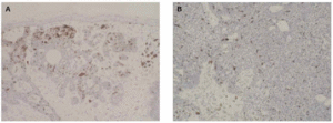
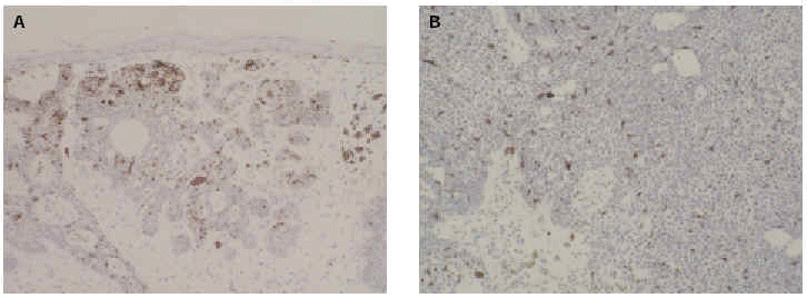
A la vista de la pigmentación se practicó estudio inmunohistoquímico para demostrar proteína S-100, HMB-45 y Melan-A. En las preparaciones con anticuerpo para proteína S-100 las imágenes fueron confusas pues entre las células epiteliales tumorales se identificaron abundantes células tanto melanocíticas como dendríticas de Langerhans que expresaban proteína S-100. Sin embargo, tanto en las preparaciones para HMB-45 como para Melan-A, únicamente se demostraron melanocitos dendríticos en moderada cantidad y de distribución irregular (figs. 5A y B).
Fig. 5.--Salpicadamente, en zonas de diferente densidad, se observan células dendríticas que expresan HMB-45 (fig. 5A) y Melan-A (fig. 5B).
DISCUSION
El tricoblastoma es un tumor constituido por células germinales foliculares, que presenta un amplio espectro histopatológico. Conceptualmente, se trata de una neoplasia de carácter benigno4, a pesar de que se han descrito formas con un comportamiento particularmente agresivo5 o de crecimiento extraordinario6.
La clasificación de los tumores tricogénicos ha planteado serias dificultades. Existen numerosas variantes histológicas en función del grado de diferenciación a partir del germen folicular. En base al predominio de la diferenciación epitelial o mesenquimal, Headington7 clasificó inicialmente los tumores tricogénicos en cuatro categorías: tricoblastoma, fibroma tricoblástico, tricoblastoma tricogénico y mixoma tricogénico. Posteriormente, Ackerman et al8 establecieron una clasificación más sencilla y práctica en la que se utiliza el término tricoblastoma en sentido genérico para denominar a todo este grupo de neoplasias benignas, y en la que se distinguen cinco variantes histológicas: tricoblastoma de nódulos grandes, de nódulos pequeños, cribiforme, raceiforme y retiforme. En todas ellas, el componente estromal es peculiar, dato de gran interés para establecer el diagnóstico diferencial histológico con el carcinoma basocelular. En el tricoblastoma, la estroma tiene abundante celularidad, con presencia de cuerpos mesenquimales papilares, sin inducción mucinosa y sin desmoplasia3.
El diagnóstico clínico de un tricoblastoma es difícil debido a la ausencia de datos clínicos específicos que permitan diferenciarlo de otras neoplasias de origen epitelial y de otros tumores anexiales. En nuestro caso, la lesión, que apareció sobre piel sana, presentó intensa pigmentación y ulceración central, hechos que añadieron aún más dificultades al diagnóstico clínico.
La aparición de abundante pigmento en el tricoblastoma es poco habitual, y se han descrito pocos casos en la literatura especializada8-11. Algunos autores consideran la forma pigmentada como una variante histológica específica. En un trabajo reciente se ha utilizado la denominación de melanotricoblastoma12, que de alguna forma da a entender que se trata de una neoplasia tanto de células epiteliales como de melanocitos. En nuestro caso, la distribución irregular de los melanocitos dendríticos con zonas densas y zonas casi desprovistas, con patrón muy similar al descrito por Kanitakis et al12, nos hace pensar que el problema es superponible al de las queratosis seborreicas más o menos pigmentadas. Así, como resulta innecesaria la denominación de melanoacantoma, para las queratosis seborreicas pigmentadas, creemos que el término melanotricoblastoma puede ser igualmente innecesario para designar a los tricoblastomas pigmentados. No se trataría, por tanto, a nuestro entender, de una entidad tumoral diferente, sino de tricoblastomas con mayor o menor grado de pigmento.
El aspecto clinicoevolutivo del tumor planteó en primer lugar el diagnóstico de melanoma nodular. En cambio, la imagen dermatoscópica, con ausencia de retículo pigmentado y de otros datos específicos de melanoma, como seudópodos o proyecciones radiales, orientó hacia lesión no melanocítica. La dermatoscopia hizo sospechar el diagnóstico de neoplasia de origen epitelial, presentando gran semejanza con el carcinoma basocelular pigmentado según los criterios propuestos por Menzies (ausencia de retículo pigmentado y presencia de parámetros positivos: ulceración, grandes nidos azul-grises, áreas en rueda radiada)13. Este hecho es razonablemente lógico, ya que el tricoblastoma y el carcinoma basocelular tienen gran similitud histológica. De hecho, algunos autores consideran al carcinoma basocelular la contrapartida maligna del tricoblastoma.
La ausencia de telangiectasias arboriformes de gran tamaño en el tricoblastoma presentado, muy específicas del carcinoma basocelular, puede tenerse en cuenta como rasgo diferenciador entre ambas neoplasias. El análisis dermatoscópico de un número mayor de casos podrá aportar mayor información al respecto.
La dermatoscopia es una técnica sencilla, rápida y no invasiva, muy útil en la evaluación inicial de los tumores cutáneos pigmentados, cuyo objetivo primordial es la detección precoz del melanoma. El conocimiento de los diferentes patrones dermoscópicos, permite, además, diferenciar las lesiones melanocíticas de las no melanocíticas14,15. La aproximación diagnóstica que proporciona es de gran utilidad, especialmente ante lesiones clínicamente inquietantes, y en algunas situaciones, como en nuestro caso, aporta tranquilidad tanto al dermatólogo como al paciente y evita grandes extirpaciones innecesarias. El diagnóstico, no obstante, debe confirmarse mediante el estudio histológico.







