INTRODUCCIÓN
El tricoblastoma es una neoplasia benigna que muestra diferenciación hacia células germinativas foliculares y un abundante estroma densamente fibrocítico que reproduce la papila folicular y las vainas de tejido conectivo perifolicular. En 1976 Headington clasificó los tumores foliculares de células germinativas en base al predominio de la diferenciación epitelial o mesenquimal, dividiéndolos en 4 categorías: tricoblastoma, fibroma tricoblástico, tricoblastoma tricogénico y mixoma tricogénico 1. Durante muchos años todos los casos publicados de tumores que mostraban diferenciación hacia el germen folicular del embrión utilizaron la terminología propuesta por Headington (aparte de otras denominaciones tales como tricogerminoma o tricomatricoma), hasta que Ackerman et al en el año 1993 propusieron utilizar el término tricoblastoma en sentido genérico para denominar a todo este grupo de neoplasias benignas 2. Generalmente la lesión aparece como un nódulo del color de la piel normal, localizado en cuero cabelludo o en la cara, que mide entre 1-2 cm. Describimos el caso de un tricoblastoma de gran tamaño, localizado en la nalga de una mujer de 71 años.
DESCRIPCIÓN DEL CASO
Se trata de una mujer de 71 años sin antecedentes personales de interés. Presentaba desde hacía dos años un tumor en nalga derecha que había aumentado de tamaño de forma progresiva en los últimos 5-6 meses. La lesión presentaba una superficie irregular, de límites mal definidos y era de color azul violáceo. En el momento de la consulta medía 6 × 5 × 2,5 cm (fig. 1). La paciente refería sangrado ocasional provocado por el roce. Con el diagnóstico clínico de histiocitoma fibroso maligno realizamos una biopsia en la que se evidenció un tumor anexial con diferenciación pilar e histológicamente benigno, realizando posteriormente la extirpación completa del tumor.
Fig. 1.--Lesión de gran tamaño localizada en nalga derecha.
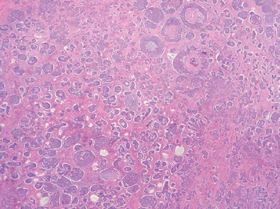
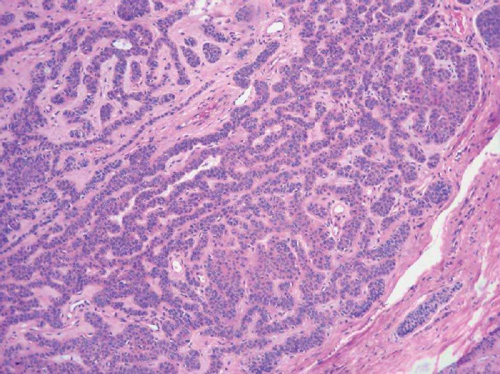
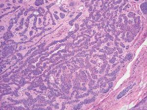
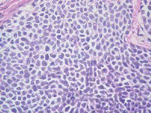
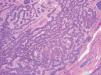
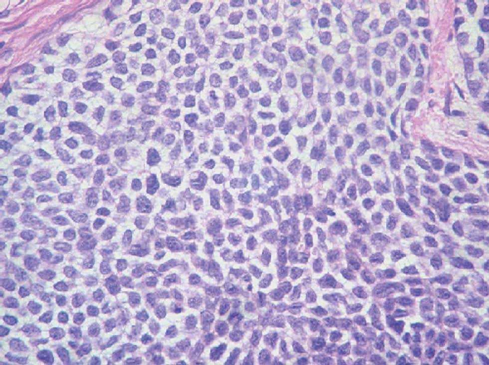
El estudio anatomopatológico revelaba una epidermis sin alteraciones destacables. Se observaba en toda la dermis y contactando con el tejido subcutáneo un tumor constituido por células germinativas foliculares que adoptaban varios patrones de crecimiento: en nódulos grandes, nódulos pequeños (fig. 2), cribiformes, racemiformes y retiformes (fig. 3). Los nódulos mostraban una parcial disposición periférica en empalizada, apreciándose en varios de ellos necrosis central y figuras de mitosis relativamente frecuentes. El estroma colágeno era denso con frecuentes fibrocitos, con zonas de aspecto mixoide, sobre todo en relación con las zonas de crecimiento retiforme, a las que también se asociaban un mayor número de quistes infundibulares. Se observaba también un componente de células claras, asociado al patrón histológico de nódulos grandes, con positividad para la tinción con ácido periódico de Schiff (fig. 4).
Fig. 2.--Patrón en nódulos pequeños (hematoxilina-eosina).
Fig. 3.--Patrón retiforme (hematoxilina-eosina).
Fig. 4.--Células claras en el seno de un nódulo grande (PAS).
COMENTARIO
Cernobilsky fue el primero en describir el tricoepitelioma gigante solitario como una variante de tricoepitelioma que cumplía las siguientes características: debía ser mayor de 2 cm de diámetro, estar localizado en la dermis profunda y el tejido subcutáneo y predominantemente en la piel del muslo y cintura pélvica 3. A partir de 1993 los tricoepiteliomas mayores de 2-3 cm comienzan a denominarse tricoblastomas gigantes, según la clasificación propuesta por Ackerman et al 2.
Se han descrito alrededor de 20 casos de tricoblastomas gigantes, algunos de apariencia clínica maligna, igual que en nuestro caso. Aunque varios tumores se localizaban en la zona perianal 4,5, otros asentaban en el cuero cabelludo 6 o en la cara externa del brazo 7. Todos se han caracterizado por su gran tamaño y largo tiempo de evolución, pero ninguno ha sufrido transformación maligna ni producido metástasis.
Recientemente Schulz et al han publicado 4 casos de carcinoma tricoblástico que han dado lugar a metástasis y la muerte en dos de los pacientes 8. Dos de los casos han sido observados por los autores y han recopilado los otros dos descritos hacía años: se caracterizan por aparecer en ancianos (una media de 75 años), estar localizados mayoritariamente en extremidades, en el seno de tricoblastomas de largo tiempo de evolución y sufrir un crecimiento repentino con signos inflamatorios. Todas las lesiones son indiferenciadas, con una alta actividad mitótica y necrosis en masa.
Ackerman et al distinguen 5 variantes histológicas de tricoblastoma: de nódulos grandes, de nódulos pequeños, cribiforme, racemiforme y retiforme 2. Estas variantes no son mutuamente excluyentes, y varios de estos patrones pueden estar presentes en una misma lesión; en el caso que presentamos, tal y como hemos señalado, los 5 patrones están claramente presentes.
Otra característica de nuestro tricoblastoma es el componente de células claras que exhibe. Tronnier publicó en el año 2001 un tricoblastoma de células claras en asociación con un nevus sebáceo 9. Este tumor no fue estudiado al microscopio electrónico, pero según el autor este componente de células claras debía ser similar al descrito en carcinomas basocelulares, el cual estaba formado por vacuolas ligadas a membrana o vacuolas que no contenían material membranoso y que representaban lisosomas alterados.
También Sau et al describieron en 1992 un componente de células claras en algunos de los 14 tumores descritos por ellos y a los que denominaron tricogerminomas 10. Requena y Barat opinan que en realidad estos tumores representan tricoblastomas con el patrón histológico de nódulos grandes 6. Pues bien, este componente de células claras con positividad para la tinción con ácido periódico de Schiff es similar al de nuestro caso, siendo sugestivo de diferenciación hacia la vaina radicular externa.
Destaca el interés de este caso por el aspecto clínico que nos hacía pensar en un tumor maligno, la presencia de los 5 patrones histológicos descritos en el tricoblastoma, juntos en el mismo tumor, y un componente de células claras, que nos hace pensar en la diferenciación hacia la vaina radicular externa.
AGRADECIMIENTOS
Agradecemos al Dr. Requena la revisión de este caso, confirmando nuestro diagnóstico.
Declaración de conflicto de intereses
Declaramos no tener ningún conflicto de intereses.
Correspondencia:
S. Vildósola. Dermatología. Hospital de Galdakao.
Barrio Labeaga, s/n. 48960 Galdakao. Vizcaya. España.
Correo electrónico: sve@aedv.es
Recibido el 13 de enero de 2006.
Aceptado el 24 de marzo de 2006.






