INTRODUCCIÓN
El losartán es un inhibidor del receptor de angiotensina II, uno de los fármacos más utilizados en el tratamiento de la hipertensión arterial (HTA) y fallo cardíaco, desde su introducción en 1995 1.
Estos fármacos han demostrado eficacia similar a los inhibidores de la enzima conversora de angiotensina (IECA), fármacos más antiguos aún muy utilizados en la actualidad 2.
Son muchos los casos publicados de lesiones cutáneas en relación con el uso de IECA, que pueden simular cualquier enfermedad cutánea.
Sin embargo, con el uso de antagonistas de los receptores de angiotensina II (ARAII), únicamente se han descrito casos de angioedema 3, vasculitis 4 e hiperplasia linfoide cutánea 5.
Presentamos un caso de hiperqueratosis palmoplantar asociado a la toma de losartán.
CASO CLÍNICO
Se trata de una mujer de 55 años cuyo único antecedente de interés es hipertensión arterial, en tratamiento con losartán (Cozaar®), desde hacía tres años.
Presentaba hiperqueratoris palmoplantar simétrica con fisuras de fondo hemorrágico (figs. 1y 2). Dichas lesiones tenían un año de evolución y eran intensamente pruriginosas.
Fig. 1.--Hiperqueratosis plantar.
Fig. 2.--Hiperqueratosis palmar con fisuras de fondo hemorrágico.
Había recibido diversos tratamientos tópicos (corticoides potentes en cura oclusiva, análogos de la vitamina D, urea y otros queratolíticos) y corticoides sistémicos a dosis bajas.
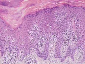
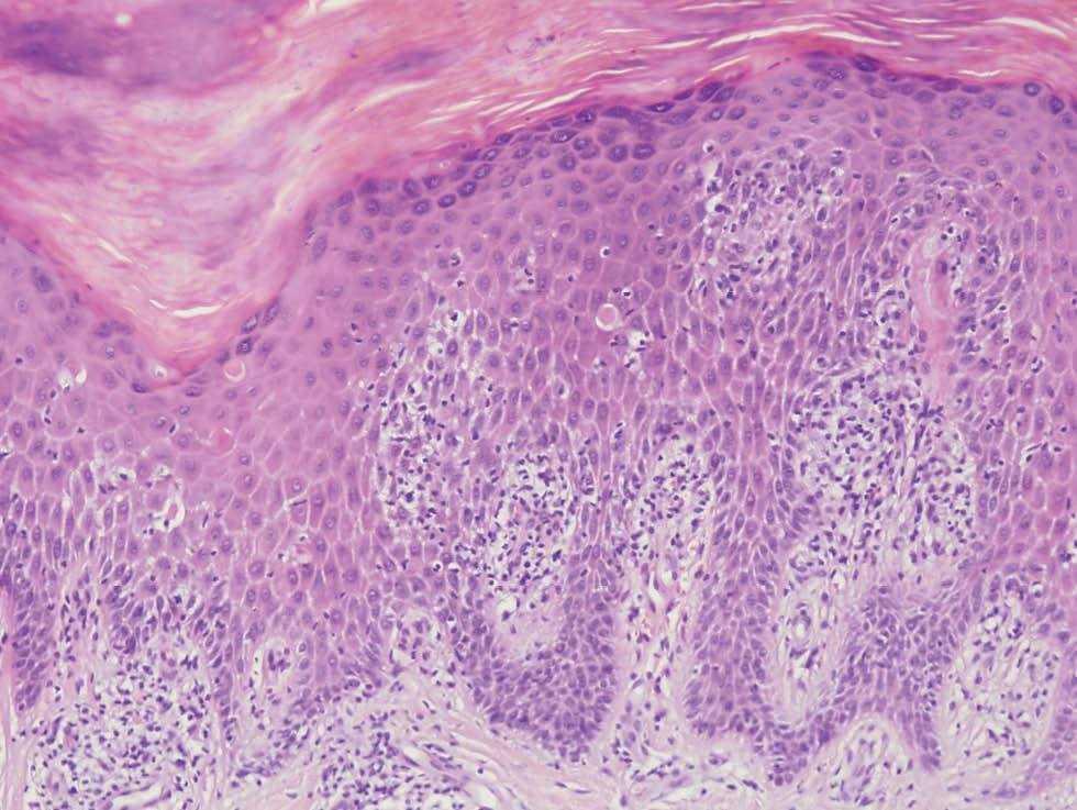
Se realizó una biopsia cutánea de la planta del pie, donde se observaba marcada hiperplasia epidérmica con importante hiperqueratosis hipergranulosis. Existe, además, un moderado infiltrado inflamatorio dérmico con focos de exocitosis acompañado de ligera espongiosis y abundantes queratinocitos necróticos (fig. 3).
Fig. 3.--Hiperplasia epidérmica, hiperqueratosis y abundantes queratinocitos necróticos. Hematoxilina-eosina, *40.
Se reinterroga a la paciente sobre su historia farmacológica, encontrando únicamente la toma de losartán como posible desencadenante, por lo que procedemos a la retirada del mismo, consiguiendo la remisión de las lesiones cutáneas en un mes (figs. 4 y 5).
Fig. 4.--Remisión de las lesiones plantares.
Fig. 5.--Remisión de las lesiones palmares.
DISCUSIÓN
El losartán fue el primero de los ARAII, introducido en el mercado en 1995, para el tratamiento de la HTA.
Numerosos estudios clínicos han demostrado resultados similares a los IECA, fármacos más antiguos utilizados para el tratamiento de la HTA 6 y fallo cardíaco 7.
En cuanto a su mecanismo de acción ambos grupos de fármacos inhiben la acción de la angiotensina II, actuando a distintos niveles de la cascada del sistema renina angiotensina (SRA). Los ARAII inhiben el receptor de angiotensina II, impidiendo su acción 8 y los IECA además de impedir el paso de angiotensina I a angiotensina II, inhiben la degradación de bradiquinina, sustancia P y encefalinas en péptidos vasoactivos, dando lugar a la acumulación de los mismos 4.
Teniendo en cuenta dichos mecanismos de actuación se pensó que todos los efectos, ya sean beneficiosos o adversos, que apareciesen con ambos grupos de fármacos, deberían ser consecuencia de la inhibición de la angiotensina II.
Por el contrario, aquéllos en relación únicamente con los IECA, se explicarían por la acumulación de péptidos vasoactivos 4,9.
Los principales efectos secundarios descritos con los IECA, la tos y el angioedema, se creían en relación con los niveles elevados de bradiquinina en sangre, sin embargo, se ha visto que pacientes con dichos efectos secundarios tienen mayor riesgo de presentarlos también tras la toma de losartán 3,4.
Todo esto nos lleva a pensar que deben existir otros mecanismos involucrados en su fisiopatología.
Recientemente, se ha podido demostrar la expresión completa del SRA en la piel humana, incluyendo el precursor de angiotensina II, angiotensinógeno, enzimas necesarias para su síntesis, renina así como los receptores AT1 y AT2.
Estos datos sugieren una síntesis local de angiotensina II en la piel y la existencia de un sistema autocrino y paracrino en la regulación de la misma.
Aunque no se conocen todavía exactamente las funciones de angiotensina II en la piel y las consecuencias de una posible inhibición de la misma, se piensa que algunas de las lesiones producidas por dichos fármacos podrían explicarse por la interferencia de los mismos en el SRA local cutáneo 4.
Han sido publicados diversos efectos cutáneos con los IECA (tabla 1). Éstos, suelen aparecer en el primer mes de toma del fármaco, pero se han descrito también tras largos períodos de tratamiento 4.
En relación con el losartán, hemos encotrado en la bibliografía casos de angioedema, vasculitis e hiperplasia linfoide cutánea 3-5.
Nosotros presentamos el caso de una mujer en tratamiento con losartán, desde hacía tres años, que presentaba lesiones de queratodermia palmoplantar. Éstas fueron tratadas con diversos tratamientos tópicos (corticoides, análogos de la vitamina D, urea y otros emolientes), así como corticoides sistémicos y PUVA terapia, sin obtener mejoría de las mismas.
La biopsia cutánea sugirió reacción medicamentosa, por lo que procedimos a la retirada del fármaco con mejoría de las lesiones en palmas, plantas y tronco en el primer mes de la retirada.
La paciente fue vista en consulta un mes después, observándose la desaparición de las lesiones cutáneas.
La queratodermia palmoplantar puede ser congénita, formando parte o no de diversos síndromes, o adquirida.
En este último caso se puede asociar a distintas dermatosis inflamatorias como eczema, psoriasis, síndrome de Reiter, liquen plano, pitiriasis rubra pilaris, lupus eritematoso, enfermedad de Darier, enfermedades infecciosas por hongos (tinea pedis), virus (virus del papiloma humano [VPH] o virus de la inmunodeficiencia humana [VIH]), sífilis y enfermedades sistémicas como mixedema, diabetes y linfoma cutáneo de células T.
Así mismo se han descrito toxicodermias que se manifestaban con queratodermia palmoplantar (tabla 2) 10,11.
Estos fármacos, por tanto, pueden producir diversos efectos secundarios, que recuerdan a enfermedades clásicas cutáneas, por lo que los dermatólogos deberían tenerlo en cuenta siempre que aparezcan lesiones sin otra causa aparente en pacientes con esta medicación.
Declaración de conflicto de intereses
Declaramos no tener ningún conflicto de intereses.
Correspondencia:
M. Calvo Pulido. Servicio de Dermatología. Hospital Ramón y Cajal.
Crta. Colmenar Viejo km 9,100. 28034 Madrid. España.
Correo electrónico: mcalvopulido@yahoo.es
Recibido el 14 de septiembre de 2005.
Aceptado el 24 de marzo de 2006.









