We read with interest the article “Fibroma esclerótico solitario: características dermatoscópicas”1 (“Solitary Sclerotic Fibroma: Dermoscopic Features” in its English translation). It describes the dermoscopic characteristics of a solitary sclerotic fibroma (SF) involving a finger on the left hand of a woman, and highlights the similarities with findings from the only other case reported in the literature.2
We recently had the opportunity to see a new case of solitary SF, this time on the back of a man, with very similar dermoscopic findings to those described in the previous 2 cases. Our observation lends support to the idea that a homogeneous whitish background, peripheral arborizing vessels, and an erythematous halo could be characteristic dermoscopic features of SF.
The patient, a 35-year-old man with no relevant personal or family history, presented with an asymptomatic lesion of 2 years’ duration on his back. He mentioned that it had grown initially but then stabilized.
Examination showed a whitish, well-circumscribed, exophytic tumor with a brown perilesional area and several superficial telangiectasias. It had a firm consistency and measured 6mm×4mm (Fig. 1). Dermoscopy showed a homogeneous whitish background with peripheral arborizing vessels and a reddish-brown halo (Fig. 2).
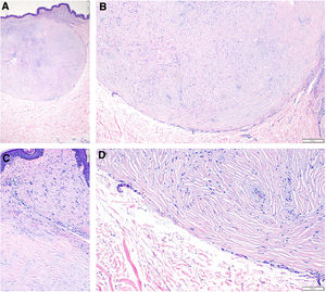
With a differential diagnosis of basal cell carcinoma (BCC), trichoepithelioma, or dermatofibroma, the lesion was excised for further examination. Histopathology showed a circumscribed, nonencapsulated, nodular lesion in the dermis composed of paucicellular bundles of hyalinized collagen forming clefts and a storiform pattern. A higher-magnification view revealed a collarette of small vascular structures that had collapsed due to the growth of the lesion. There was also evidence of microthrombi and erythrocytic extravasation (Fig. 3). A diagnosis of solitary SF was established.
Histopathologic images. A, Circumscribed, nonencapsulated, nodular lesion in the dermis (hematoxylin-eosin, original magnification ×20). B, Paucicellular hyalinized collagen bundles separated by clefts and forming a storiform pattern (hematoxylin-eosin, original magnification ×40). C and D, Higher-magnification view showing a collarette of small collapsed vascular structures with evidence of microthrombi and erythrocyte extravasation (hematoxylin-eosin, original magnification ×200).
SF, which is also known as storiform collagenoma, is an uncommon benign fibrous skin tumor. Its etiology and pathogenesis are still a matter of debate, with some authors believing it to be a distinct, benign, entity, while others suggesting that it is the final degenerative stage of other fibrous tumors, such as dermatofibroma.1 Importantly, SF can appear sporadically as a solitary lesion or as multiple lesions that develop as cutaneous manifestations of Cowden syndrome.3,4 Solitary lesions have also been described in association with Cowden syndrome.5 Clinically, SF presents as a well-defined, asymptomatic, whitish or flesh-colored, round or oval tumor with a firm consistency and a diameter of less than 1cm; it usually affects adults and is located on the head, neck, or upper extremities.3
Histopathologically, it appears as a well-circumscribed, nonencapsulated, paucicellular, dermal nodule formed by thick bundles of collagen separated by numerous spaces that form clefts; fibroblasts are sparse. The collagen bundles intersect with each other, forming a storiform (whorled) pattern, similar to that seen in plywood. The underlying epidermis tends to be atrophic.1,5 This histopathologic, SF-like, pattern may be seen in other neoplastic, inflammatory, or hamartomatous conditions, such as dermatofibroma, neurofibroma, scarring, dermatofibrosarcoma protuberans, mammary fibroadenoma, perineurioma, and erythema elevatum diutinum.6
The overlap between the dermoscopic findings in our case and the 2 other cases described to date—the homogeneous whitish background, the erythematous halo, and the peripheral arborizing vessels—is noteworthy. We believe that the structureless white background visualized by dermoscopy histologically correlates with the thick collagen bundles in the dermis, the arborizing vessels with the dilated vessels located above the nodular dermal lesion (just below the epidermis), and the erythematous halo with the collarette of small vascular structures. Dermoscopically, the main entities to consider in the differential diagnosis are sclerotic dermatofibroma and amelanotic blue nevus.2,7,8
Although arborizing vessels are one of the most characteristic dermoscopic features of BCC, nearly half of the lesions featuring these vessels in a recent series were not BCCs.9 This vascular pattern can be observed in numerous lesions, including cystic lesions (such as epidermal cyst and digital myxoid cyst), adnexal tumors, dermatofibroma, xanthogranuloma, intradermal melanocytic nevus, actinic keratosis, malignant tumors (such as squamous cell carcinoma, dermatofibrosarcoma protuberans, breast cancer, leukemia cutis, and metastasis), necrobiosis lipoidica, morphea, and now also SF.1,2,9,10





