El eritema anular centrífugo (EAC) es una enfermedad inflamatoria rara incluida dentro de los eritemas figurados. Se caracteriza por la presencia de unas placas eritematosas anulares, arciformes o policíclicas, descamativas o no, que se expanden de forma centrífuga y tienen un aclaramiento central. Puede estar asociado a enfermedades u otras causas tan variadas como infecciones, fármacos, alteraciones endocrinológicas o inmunológicas, neoplasias o estrés1. Para algunos autores el EAC no es una entidad clínico-patológica específica sino que se trata de un patrón reactivo clínico2.
El EAC recurrente anual (RA) es una variante clínica del EAC muy infrecuente. Su clínica e histopatología son indistinguibles del EAC clásico superficial; sin embargo, su curso clínico es muy característico. Consiste en la aparición de las lesiones en las extremidades con una recurrencia anual y estacional (primavera-verano), sin que se haya identificado un factor desencadenante. Posteriormente, las lesiones regresan espontáneamente en unas semanas o meses3.
Recientemente, Bernia et al. describen una mujer con una placa eritematosa de gran tamaño, recidivante, en el abdomen4. Dado que el principal diagnóstico diferencial sería el EAC-RA, nos pareció oportuno aportar un nuevo caso y realizar una revisión de la literatura.
Un varón de 66 años, hipertenso, consultó por la presencia de unas lesiones poco pruriginosas en las nalgas y los muslos de 2 meses de evolución. No asociaba fiebre ni afectación del estado general. Refería que era el quinto verano que le sucedía este proceso sin un factor desencadenante claro previo. Las lesiones cutáneas cedían de forma espontánea en otoño, aproximadamente 4 meses después de su aparición.
A la exploración dermatológica se apreciaban unas placas eritematoparduzcas, anulares o arciformes, de bordes eritematosos con un collarete descamativo en el margen interno localizadas en la zona proximal de la cara posterior de los muslos y las nalgas (fig. 1). El área facial, las manos, los pies, el tronco y las mucosas estaban respetadas.
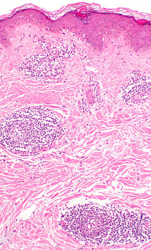
El estudio histopatológico de una biopsia del borde de una placa de la cara posterior del muslo izquierdo, evidenció una mínima espongiosis epidérmica con una paraqueratosis focal. En la dermis superficial se observó un infiltrado inflamatorio discreto perivascular «en manguito», de predominio linfohistiocitario y sin afectación de las paredes vasculares (fig. 2). La tinción de PAS no mostró la presencia de elementos fúngicos. La inmunofluorescencia directa fue negativa.
El estudio analítico que incluía hemograma, bioquímica, estudio inmunológico, y serologías de Borrelia burgdorferi y virus hepatitis B y C, mostró resultados que fueron normales o negativos. Con la historia clínica y los hallazgos clínicos e histopatológicos establecimos el diagnóstico de EAC-RA variante superficial. Las lesiones regresaron 2 meses después sin realizar tratamiento.
El EAC-RA es una forma infrecuente de EAC. Con el nuestro, se han descrito 10 casos en 6 artículos (tabla 1)3,5–8. Se trata de 7 mujeres y 3 varones, con un rango de edad de 36 a 83 años y una edad mediana de 55 años. Las lesiones se localizan en las extremidades, y a veces en el tronco o las nalgas. El área facial, las manos y los pies no se ven afectadas. Las recurrencias son anuales y en los pacientes descritos se han observado brotes hasta un máximo de 23 años. Las lesiones aparecen en los meses de primavera y verano, persisten entre 15 días y 5 meses, y regresan de forma espontánea durante el verano o el otoño. Como hemos mencionado, las manifestaciones clínicas y los hallazgos histopatológicos son idénticos a las del EAC clásico, sobre todo de su variante superficial.
Casos de EAC-RA. Revisión de la literatura
| N.° caso | Autor/año | Sexo/edad | N.° de brotes (años) | Estación de aparición | Áreas afectas | Resolución espontánea |
|---|---|---|---|---|---|---|
| 1 | Piñol Aguadé et al. / 19665 | M/60 | 7 | Primavera-verano | EESS y EEII | En 15 días |
| 2 | Piñol Aguadé et al. / 19665 | M/43 | 17 | Verano | EESS y EEII | En 20 días |
| 3 | Janss et al. / 19926 | M/36 | 2 | No descrito | Tronco y EESS | En 6 semanas |
| 4 | García Muret et al. / 20063 | M/76 | 8 | Verano | Tronco, EESS y EEII | En otoño |
| 5 | García Muret et al. / 20063 | H/83 | 23 | Verano | EESS y EEII | En otoño |
| 6 | García Muret et al. / 20063 | H/55 | 13 | Verano | EESS y EEII | En 15 días |
| 7 | García Muret et al. / 20063 | M/55 | 15 | Primavera | EESS y EEII | En 4-5 meses |
| 8 | Ruiz Villaverde et al. / 20107 | M/38 | 4 | Primavera | EESS | En 2 meses |
| 9 | Mandel et al. / 20158 | M/46 | 12 | Verano | EESS y EEII | En 4 meses |
| 10 | Caso actual | H/66 | 5 | Verano | Nalgas y EEII | En 4 meses |
EEII: extremidades inferiores; EESS: extremidades superiores; H: hombre; M: mujer.
Se desconoce la causa del EAC-RA. No se ha identificado ningún factor desencadenante. Su curso constante y periódico podría estar relacionado con la temperatura o con reacciones a ciertas especies vegetales estacionales u hongos. No se vincula con la exposición solar, ya que respeta la cara y afecta áreas habitualmente fotoprotegidas3. No hay ningún tratamiento efectivo1.
Lo realmente interesante de este proceso, además de conocerlo, es el diagnóstico diferencial tan amplio que plantea. Específicamente, abarca procesos cutáneos recurrentes, en los que hay lesiones anulares o de predominio estival. En primer lugar se deben descartar otras formas recurrentes de EAC no idiopáticas, que surgen tras un desencadenante claro como una amigdalitis o durante períodos de estrés9. El eritema papular semicircular recidivante es una entidad descrita recientemente, caracterizada por unas placas eritematosas semicirculares que también pueden evolucionar en brotes estacionales anuales. A diferencia del EAC-RA suele presentar menos lesiones, de mayor tamaño y con unos bordes papulosos no descamativos, localizadas en el tronco4,10. Como comentan Bernia et al. aunque existen características clínicas e histológicas que permiten diferenciar el eritema papular semicircular recidivante y el EAC-RA, algunos autores prefieren incluirlos en el espectro de los eritemas figurados recidivantes. Se han descrito lesiones eritematodescamativas recurrentes similares en el contexto de un déficit hereditario de la subunidad M de la LDH. Entre otros procesos que se pueden asemejar estarían la erupción fija medicamentosa, la urticaria, la dermatitis autoinmune por progesterona, el eritema marginado reumático, el eritema crónico migratorio, las dermatofitosis, el granuloma anular, la pitiriasis rosada, la parapsoriasis, la psoriasis anular, el lupus eritematoso cutáneo subagudo y la erupción polimorfa lumínica3,6,7.





