In recent years, we have witnessed a surge in aesthetic medicine; an upward trend that is expected to continue in the coming years. More and more people are opting for non-surgical aesthetic treatments, ranging from injections to laser treatments, peels, and many other techniques. It is expected that the incidence of complications associated with these treatments will also rise. Therefore, it is essential for dermatologists to become familiar with their potential adverse effects.
A 57-year-old woman presented with erythematous-brownish papules and plaques on both eyebrows 3 months after undergoing micropigmentation. She also reported erythema and induration on both cheeks (fig. 1), along with palpable nodules on the back of her hands. The patient mentioned she had undergone multiple platelet-rich plasma (PRP) injections in these areas over the past 7 years for cosmetic purposes.
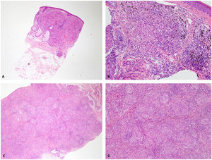
A biopsy was obtained from the eyebrow and another one from the back of her hand. Histopathological examination of both samples revealed the presence of granulomas composed of epithelioid histiocytes and multinucleated giant cells (fig. 2). These non-caseating granulomas had a scant lymphocytic rim, leading to their classification as sarcoid granulomas. A brownish pigment was observed in the eyebrow in the cytoplasm of some histiocytes in the papillary dermis, but not in deeper areas. No foreign bodies were found under polarized light, and no microorganisms were identified after multiple stains (Ziehl-Neelsen, Grocott, PAS, and Warthin-Starry).
The patient did not exhibit any other associated symptoms. Blood tests revealed no abnormalities, and calcium, vitamin D, and ACE levels were within normal ranges. A chest X-ray was normal, and the ophthalmological exam revealed no signs of sarcoidosis. Based on these findings, a diagnosis of cutaneous sarcoidosis was established. Treatment was initiated with intralesional corticosteroids and hydroxychloroquine 200mg/day, leading to resolution of the lesions at the 1-year follow-up.
The growth of sarcoid granulomas in tattoos is a rare but well-documented finding.1–3 Although it occasionally occurs as an isolated finding, it may also appear in the context of systemic sarcoidosis. Spurr et al. (2022) conducted a literature review of sarcoid granulomas in eyebrows associated with cosmetic tattoos. They identified a total of 21 cases, 10 of which had or later developed systemic sarcoidosis.4 These findings highlight the importance of screening for systemic sarcoidosis in these patients (phosphocalcic metabolism and ACE, ophthalmological evaluation, chest X-ray, pulmonary function tests, ECG...). Of note that differentiating between cutaneous sarcoidosis and a sarcoid foreign body reaction can be very difficult, especially in isolated lesions. Cases initially diagnosed as sarcoid foreign body reactions can later develop cutaneous or systemic signs, shifting diagnosis to sarcoidosis.
Less well-known is the development of sarcoid granulomas at PRP injection sites. To date, only 2 cases have been reported in the literature, both in patients with sarcoidosis.5,6 The formation of these granulomas may be triggered by trauma (Koebner phenomenon), which is similar to sarcoidosis of scars and tattoos.
In our case, several factors suggest cutaneous sarcoidosis. First, the appearance of sarcoid granulomas in response to different stimuli, including tattoos and PRP. Moreover, PRP is derived from the patient's own blood, so under normal conditions, it would not be considered a foreign body. Lastly, histologically, the granulomatous reaction does not focus on the pigment and extends far beyond it, suggesting the pigment does not play a central pathogenic role in the formation of the granuloma. Although the absence of systemic symptoms complicates the diagnosis of sarcoidosis, its development over time cannot be ruled out, warranting long-term follow-up.
Conflicts of interestNone declared.




