En los últimos años estamos presenciando un auge de la medicina estética, y se espera que esta tendencia alcista continúe en los años venideros. Cada vez son más las personas que deciden someterse a tratamientos estéticos no quirúrgicos, desde infiltraciones hasta tratamientos láser, pasando por «peelings» y otras muchas técnicas. Es esperable que la incidencia de complicaciones asociadas a dichos tratamientos también aumente, por lo que es importante que el dermatólogo esté familiarizado con sus potenciales efectos adversos.
Una mujer de 57 años consultó por la aparición de unas pápulas y placas eritemato-marronáceas en ambas cejas 3 meses después de someterse a una micropigmentación. También asociaba eritema e induración en ambas mejillas (fig. 1) y se palpaban nódulos en el dorso de las manos. La paciente refirió que se había sometido a múltiples inyecciones de plasma rico en plaquetas (PRP) en dichas zonas durante los últimos 7 años con fines estéticos.
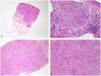
Se tomó una biopsia de la ceja y otra del dorso de la mano. El estudio histopatológico de ambas muestras reveló la presencia de granulomas compuestos por histiocitos epitelioides y células gigantes multinucleadas (fig. 2). Dichos granulomas eran no caseificantes y presentaban una escasa corona linfocitaria, por lo que fueron catalogados como granulomas sarcoideos. En la ceja se observó la presencia de pigmento parduzco en el citoplasma de algunos histiocitos en la dermis papilar, no observándose en zonas más profundas. No se evidenciaron cuerpos extraños con luz polarizada, ni se identificaron microorganismos tras la realización de diversas tinciones (Ziehl-Neelsen, Grocott, PAS y Warthin-Starry).
La paciente no presentaba otra clínica asociada. No se encontró ninguna alteración en la analítica de sangre. El calcio, la vitamina D y la ECA estaban en el rango de la normalidad. La radiografía de tórax realizada fue normal. El examen oftalmológico no mostró signos de sarcoidosis. Ante estos hallazgos se diagnosticó de sarcoidosis cutánea. Inició tratamiento con corticoides intralesionales e hidroxicloroquina 200mg/día y las lesiones se resolvieron al año de seguimiento.
El desarrollo de granulomas sarcoideos en tatuajes es un hallazgo infrecuente, aunque ampliamente documentado1–3. Ocasionalmente es un hallazgo aislado, pero puede aparecer en el contexto de una sarcoidosis. Spurr et. al (2022) realizaron una revisión de la literatura de los casos de granulomas sarcoideos en cejas en contexto de tatuajes cosméticos. Identificaron un total de 21 casos, de los cuales 10 tenían o desarrollaron con el tiempo sarcoidosis sistémica4. Estos datos ponen de manifiesto la importancia de realizar un despistaje de sarcoidosis sistémica en estos pacientes (metabolismo fosfocálcico y ECA, evaluación oftalmológica, radiografía de tórax y pruebas de función respiratoria, ECG...). Debemos resaltar que la diferenciación entre una sarcoidosis cutánea y una reacción a cuerpo extraño de tipo sarcoidea puede ser muy difícil, prácticamente imposible cuando se trata de lesiones aisladas. No podemos descartar que haya casos inicialmente diagnosticados de reacción a cuerpo extraño sarcoidea que con el tiempo desarrollen lesiones cutáneas o sistémicas que modifiquen el diagnóstico a sarcoidosis.
Menos conocido es el desarrollo de granulomas sarcoideos en sitios de inyección de PRP. Hasta el momento solo hay 2 casos documentados en la literatura, ambos en pacientes con sarcoidosis5,6. La formación de los granulomas podría desencadenarse por el propio traumatismo (fenómeno de Koebner), de forma similar a la sarcoidosis de las cicatrices y los tatuajes.
En nuestro caso existen diversos factores que sugieren una sarcoidosis cutánea. En primer lugar, la aparición de granulomas sarcoideos como respuesta a diferentes estímulos, tanto tatuaje como PRP. Además, el PRP se extrae de la sangre del propio paciente, por lo que en condiciones normales no podría considerarse un cuerpo extraño. Por último, a nivel histológico, la reacción granulomatosa no se centra en el pigmento y se extiende mucho más allá de él, sugiriendo que no tiene un efecto patogénico central en la formación del granuloma. La ausencia de clínica sistémica dificulta llegar al diagnóstico de sarcoidosis, aunque no podemos descartar su aparición con el paso del tiempo, por lo que consideramos necesario el seguimiento a largo plazo.
Conflicto de interesesLos autores declaran no tener ningún conflicto de intereses.





