INTRODUCCION
La radiodermitis crónica es una secuela frecuente del tratamiento con radioterapia. En estos casos la piel muestra telangiectasias prominentes debido a la dilatación de los vasos. El láser de colorante pulsado (LCP) es un tratamiento seguro y eficaz en aquellos trastornos que cursan con telangiectasias, como telangiectasias faciales, arañas vasculares 1,2. En la literatura especializada se han publicado pocos casos de tratamiento con LCP de telangiectasias tras radioterapia por cáncer de mama y linfoma B 3-6. En todos los casos publicados las radiodermitis se localizaban en el tronco y no se realizaron estudios histológicos.
Presentamos un caso de telangiectasias tras radioterapia por carcinoma de cavum tratadas con LCP. Se realizaron estudios histológicos secuenciales.
DESCRIPCION DEL CASO
Una paciente de 60 años acudió a la consulta por presentar en el cuello abundantes telangiectasias aparecidas tras el tratamiento con radioterapia por carcinoma de cavum 12 años antes. Las lesiones comenzaron a aparecer 2 meses después de finalizar el tratamiento y aumentaron progresivamente en número durante meses. A la exploración física observamos áreas bien definidas de múltiples telangiectasias, junto con hiperpigmentación e hipopigmentación, que se localizaban en las caras laterales y anterior del cuello (fig. 1).
Fig. 1.--Telangiectasias postirradiación antes del tratamiento.
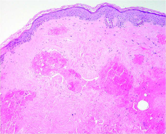
Una biopsia de una zona afectada mostró ectasia del plexo vascular superficial, melanófagos salpicados y fibroblastos estrellados. La epidermis no mostraba alteraciones (fig. 2).
Fig. 2.--El estudio histológico de la zona poiquilodérmica mostraba ectasia del plexo vascular superficial. (Hematoxilina-eosina, ×20.)
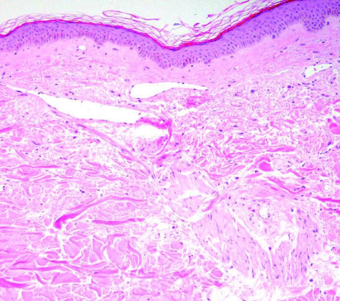
La paciente fue tratada con láser de colorante pulsado V-Beam, Candela corp. (595 nm). Recibió 5 sesiones (una sesión mensual) de láser (pulso de 3 ms, diámetro de impacto de 7 mm y energía 7 J/cm 2 en las primeras 2 sesiones y 12 J/cm 2 en las tres siguientes). Los parámetros de enfriamiento fueron 30-30 (criógeno de 30 ms de duración con un retardo de 30 ms). No se precisó anestesia. Tras cada sesión la paciente desarrollaba púrpura inmediata que se resolvía en 10 a 12 días. Una biopsia de un lesión purpúrica mostró dilatación y congestión del plexo vascular (fig. 3).
Fig. 3.--Una biopsia de un lesión purpúrica mostró dilatación y congestión vascular. (Hematoxilina-eosina, ×20.)
Los resultados tras las 5 sesiones fueron excelentes, con una desaparición casi total de las telangiectasias (fig. 4). No se observaron alteraciones de la pigmentación ni cicatrices secundarias al tratamiento. Una biopsia de un área tratada no mostró alteraciones. La paciente quedó muy satisfecha con el resultado del tratamiento.
Fig. 4.--Resultados tras el tratamiento con la desaparición casi total de las lesiones.
DISCUSION
La poiquilodermia por radioterapia es un efecto secundario frecuente del tratamiento que puede resultar muy preocupante para el paciente. La prevención del desarrollo de estas telangiectasias es complicada. Se ha sugerido que la hipertermia puede frenar su desarrollo 7, pero se necesitan estudios clínicos más amplios para confirmar esta hipótesis. En distintos estudios se han valorado los factores que parecen predecir el desarrollo de las telangiectasias cutáneas tras la irradiación de la piel 8-10. Los tratamientos cortos y las cargas adicionales sobre la cicatriz quirúrgica se asocian a una mayor probabilidad de desarrollar telangiectasias, mientras que los esquemas de mayor duración con dosis totales más altas y dosis fraccionadas menores disminuyen el riesgo. Una vez que las telangiectasias se han desarrollado existen pocos tratamientos disponibles. Se han utilizado la escleroterapia 11, las técnicas de camuflaje y, recientemente, el LCP.
El LCP en el tratamiento de las alteraciones vasculares es un procedimiento seguro y eficaz 1,2. Las telangiectasias de la cara y las piernas responden bien al tratamiento con pocos o ningún efecto secundario. Se han tratado de un carcinoma de mama 13 casos de telangiectasias por radioterapia con LCP con resultados satisfactorios 3-5. Todas las pacientes fueron tratadas con LCP de 585 nm, con diámetro de impacto de tamaño variable, entre 3 y 10 mm, pulsos de duración entre 0,45 y 0,51 ms y energías oscilando entre 6 y 6,9 J/cm 2. Algunos pacientes requirieron anestesia tópica y el número de sesiones fue variable, entre 1 y 6. Los resultados fueron excelentes en todos los casos sin efectos secundarios y con un alto grado de satisfacción por parte los pacientes. También se ha utilizado el LCP en el tratamiento de telangiectasias tras radioterapia por un linfoma B en el tronco (595 nm, diámetro de impacto de 7 mm, pulso de 6 ms y energía 11 J/cm 2) 6. En este caso una sesión fue suficiente para lograr buenos resultados sin efecto secundario alguno.
Nuestra paciente recibió tratamiento con el LCP, Candela corp. de 595 nm utilizando pulsos ultralargos de 3 ms. Tuvimos la oportunidad de realizar estudios histológicos que se correlacionaban con la clínica y con el modo de acción del LCP. Las telangiectasias son vasos dilatados, tal y como encontramos en la biopsia pretratamiento. La presencia de fibroblastos de morfología estrellada es típica de la piel radiada. Inmediatamente después del tratamiento con LCP aparece la púrpura. En una biopsia realizada en ese momento encontramos congestión vascular sin daño epidérmico. Los pulsos de alta energía, como los utilizados con el LCP, producen coagulación intravascular sin daño perivascular 2. La epidermis está respetada y los vasos superficiales de la dermis papilar y reticular contienen eritrocitos aglutinados, fibrina y trombos plaquetarios 2, tal y como se vio en nuestro caso. En la biopsia que se tomó un mes después del tratamiento no se observaron vasos anómalos ni cicatrices, ya que los vasos tratados con el LCP son destruidos y reemplazados lentamente por vasos normales 2. Clínicamente logramos un resultado muy satisfactorio en 5 sesiones sin efectos secundarios. El tratamiento fue bien tolerado y la paciente quedó contenta con el resultado.
En conclusión, el LCP es un tratamiento seguro y eficaz de las telangiectasias posradioterapia, tanto en el tronco como en el cuello. Generalmente se requieren pocas sesiones y la tolerancia en buena. Los estudios histológicos muestran la completa desaparición de los vasos anómalos sin daño epidérmico.
Declaración de conflicto de intereses Declaramos no tener ningún conflicto de intereses.
Correspondencia:
Diana P. Ruiz-Genao.
Servicio de Dermatología.
Hospital de La Princesa.
Diego de León, 62.
28006 Madrid. España.
diana@aedv.es
Recibido el 1 de febrero de 2006.
Aceptado el 24 de abril de 2006.






