INTRODUCCION
Se han descrito cuatro tipos de sarcoma de Kaposi: el clásico o mediterráneo, el epidémico o africano, el iatrogénico causado por inmunosupresores y, finalmente, el asociado al síndrome de inmunodeficiencia adquirida (SIDA)1,2. Estos tipos representan diferentes cuadros clínicos en pacientes con hallazgos histopatológicos e inmunohistoquímicos similares. El sarcoma de Kaposi clásico o esporádico se observa principalmente en sujetos varones del área mediterránea, sobre todo en pacientes de raza judía, y presenta un curso generalmente benigno y prolongado3. Sin embargo, se han descrito formas más agresivas de sarcoma de Kaposi clásico, caracterizadas por su asociación con diversas neoplasias3. Estas neoplasias pueden ser linforreticulares1,4, de colon y de vejiga3, y pueden tanto preceder como seguir al sarcoma de Kaposi5. Se presenta un caso de sarcoma de Kaposi clásico no asociado a otras neoplasias, con evolución fatal en 3 años desde el diagnóstico. La autopsia reveló que la causa de la muerte fue un taponamiento cardíaco debido a las lesiones desarrolladas en el pericardio.
DESCRIPCION DEL CASO
Un varón de 82 años, con antecedentes de hipertensión cardíaca y aneurismas en ambas arterias ilíacas en tratamiento en los servicios de cardiología y cirugía vascular de nuestro hospital, fue remitido a nuestro servicio en 1999 debido a la aparición de lesiones cutáneas de tinte purpúrico diseminadas por toda la superficie corporal.
En el examen dermatológico se observaron múltiples lesiones maculosas y tuberosas, de tamaños que oscilan entre 1,5 y 3 cm de diámetro, con tendencia a agruparse en placas claramente delimitadas, de tinte violáceo. Las lesiones se localizaban en las extremidades inferiores y en el abdomen, y eran más numerosas en las rodillas y el dorso de los pies. Se observaron lesiones similares en paladar blando y glande. Sobre alguna de las placas se desarrollaban lesiones excrecentes de consistencia blanda, pediculadas, de aspecto friable, que remedaban granulomas piogénicos.
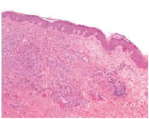
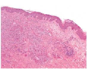
El estudio histológico, tanto de las lesiones sésiles como de las pediculadas, reveló la existencia de una epidermis adelgazada y de un tumor dérmico de células fusiformes (figs. 1 y 2) que rodeaban estructuras vasculares rudimentarias, con extravasación de hematíes y células plasmáticas. Asimismo, se observaron numerosas figuras mitóticas. El estudio inmunohistoquímico reveló positividad para FVIII, CD34 y CD31.
Fig. 1.--Aspecto macroscópico de las lesiones de sarcoma de Kaposi en pericardio y endocardio.
Fig. 2.--Epidermis normal con desarrollo de una tumoración de células fusiformes que ocupa toda la dermis (HE, ×40).
Se realizaron estudios complementarios incluyendo hemograma, bioquímica sanguínea, proteinograma, serología de virus hepatotropos y virus de la inmunodeficiencia humana (VIH), electrocardiograma, estudio radiológico del tórax, ecografía abdominal, gastroscopia y colonoscopia sin hallazgos significativos. Se efectuó el diagnóstico de sarcoma de Kaposi clásico, descartando otros tipos de sarcoma de Kaposi en base a los datos clínicos, histopatológicos y el resultado negativo de la serología VIH.
Tras el diagnóstico, se inició tratamiento con interferón alfa (IFN-α), pero tuvo que ser suspendido por mala tolerancia del paciente. Tras ello, se realizó un seguimiento del paciente a lo largo de 2 años; se efectuaron tratamientos eventuales con crioterapia y vincristina intralesional en las lesiones más excrecentes y pediculadas de rápido crecimiento que desarrollaba sobre las placas tumorales, sobre todo las de plantas y caras laterales de los pies, que le dificultaban la deambulación.
En noviembre de 2001 el paciente fue ingresado a causa de una insuficiencia cardíaca aguda y falleció a las pocas horas. El estudio de necropsia revela, además de la intensa afectación cutánea, la existencia de lesiones de sarcoma de Kaposi visceral diseminado con afectación epicárdica, pericárdica, gastrointestinal, pleuropulmonar, renal y suprarrenal, así como la existencia de aneurismas disecantes en ambas arterias ilíacas, con evidencia de afectación por sarcoma de Kaposi. La causa de la muerte se determinó como choque cardiogénico debido a un taponamiento pericárdico del que se extrajeron 2 l de líquido de características serohemáticas.
DISCUSION
El sarcoma de Kaposi clásico o esporádico es un proceso que suele afectar a sujetos varones del área mediterránea. Cuando no se asocia a neoplasias, su curso benigno y prolongado no compromete la vida del paciente, aunque puede afectar a su calidad de vida2.
La afectación visceral en el sarcoma de Kaposi clásico puede observarse en tracto digestivo3,6 y sistemas linfoide y esquelético7,8. Sin embargo, la afectación de varios órganos o sistemas en el mismo paciente, es excepcional9-11. Incluso en casos con afectación visceral y comienzo precoz, su curso es indolente12. Por otra parte, se han descrito 5 casos con transformación anaplásica, curso agresivo y mala respuesta al tratamiento13. Dos de esos casos presentaban afectación visceral, pero ninguno de ellos afectación cardíaca ni de grandes vasos.
Se ha discutido mucho si el sarcoma de Kaposi, en cualquiera de sus formas, es una proliferación hiperplásica o se trata de una verdadera neoplasia1,2. Se ha demostrado en mujeres con infección por VIH que presentaban sarcoma de Kaposi, que todos los tumores desarrollados en cada paciente pertenecen a una misma estirpe clonal14. Esta transformación neoplásica in situ, sincrónica, de múltiples lesiones tumorales distribuidas por toda la superficie cutánea y, en casos como el presentado aquí, otros órganos, sin que exista una neoplasia primaria que justifique un crecimiento metastásico, apoya la etiología viral de estas lesiones1. En efecto, el virus humano del sarcoma de Kaposi se ha identificado como Herpesvirus hominis 8 (HH-8), y se encuentra en casi todos los casos de sarcoma de Kaposi y en el 100 % de los casos de tipo clásico2. Se cree que el HH-8 transformaría precursores circulantes en células fusiformes y, a través de la producción de citocinas, estimularía la angiogénesis2,14. Así, en cualquiera de sus formas, la enfermedad se originaría en el curso de la primoinfección, o de una reactivación en el caso del sarcoma de Kaposi iatrogénico, aunque de momento se desconocen todos los cofactores implicados2.
Encontramos además 2 casos de tipo clásico sin datos de transformación anaplásica, en los cuales el curso de la enfermedad lleva a la muerte del paciente; en uno de ellos, con una grave afectación intestinal, la muerte del paciente se produce por hemorragia digestiva incoercible9 y los estudios de necropsia no revelaron enfermedad cardíaca o de grandes vasos. En el otro caso descrito, de afectación exclusivamente cutánea, el paciente murió al año de iniciarse el proceso15. Los estudios complementarios realizados en este segundo caso, descartaron afectación gastrointestinal y ósea, pero no se realizaron pruebas destinadas a descartar afectación cardíaca. Aunque en este caso no se realizó autopsia, el paciente falleció a causa de un fracaso cardiorrespiratorio agudo, similar al de nuestro paciente.
La principal característica del caso que se aporta aquí es la grave afectación visceral, involucrando tracto gastrointestinal, pulmón, pleura, riñones, glándulas suprarrenales, epicardio, pericardio y ambas arterias ilíacas. Es de señalar que la afectación cardíaca es tan grave que causa la muerte del paciente por taponamiento 3 años después del diagnóstico. Asimismo, es interesante señalar que, al mismo tiempo que desarrolla el cuadro cutáneo, el paciente estaba siendo seguido en cirugía vascular por sus aneurismas ilíacos bilaterales, y en cardiología por una insuficiencia cardíaca calificada como hipertensiva. El examen de necropsia reveló que la afectación de tanto la pared aneurismática como de las estructuras cardíacas, estaba causada por infiltración de la pared vascular por sarcoma de Kaposi. Los estudios de estos dos procesos realizados en vida del paciente incluyeron el uso de ecografías y contrastes yodados, pero ninguno de ellos permite la sospecha del desarrollo de sarcoma de Kaposi en la pared de esas estructuras. En nuestro paciente, la afectación en tracto digestivo se buscó expresamente dada la afectación de la mucosa del paladar blando, pero no se realizaron pruebas para encontrarlo en corazón, grandes vasos o en órganos como el riñón y el pulmón. Se sugiere que en pacientes con sarcoma de Kaposi que presenten signos dermatológicos de afectación sistémica, como la afectación de mucosa del paladar blando y glande de nuestro caso, la búsqueda de afectación visceral debe incluir todas aquellas estructuras vasculares que presenten datos de disfuncionalidad o alteraciones anatómicas como las descritas en nuestro caso.




