INTRODUCCIÓN
Las queratosis seborreicas son tumoraciones benignas de la piel, que aparecen especialmente en pacientes de edad avanzada1. Estas lesiones coexisten con mucha frecuencia con otras patologías dermatológicas, incluyendo la micosis fungoide2, 3. La aparición súbita de múltiples queratosis seborreicas en pacientes con neoplasias se conoce como síndrome de Leser-Trélat, cuadro que es considerado por algunos autores como paraneoplásico3. Presentamos el caso de un hombre con micosis fungoide y múltiples queratosis seborreicas, destacando la infiltración histopatológica por linfocitos T atípicos de estas lesiones benignas, así como su desaparición con carmustina tópica.
DESCRIPCION DEL CASO
Se trata de un hombre de 41 años de edad que acudió a nuestro servicio por presentar desde hacía 10 años lesiones en forma de placas eritematosas infiltradas en regiones axilares, pectorales, hipogástrica y lumbosacra. El paciente fue diagnosticado de micosis fungoide a partir de los hallazgos clínicos e histopatológicos. A la exploración física presentaba en zonas axilares, pectorales, hipogástrica y lumbosacra placas eritematosas, con escaso componente epidérmico, mal delimitadas e infiltradas a la palpación. Llamaba la atención la existencia en el tronco de múltiples pápulas hiperpigmentadas, de superficie queratósica, que clínicamente correspondían a queratosis seborreicas y que eran más numerosas sobre las placas eritematosas que sobre la piel normal (fig. 1). Se tomó biopsia de una de las lesiones queratósicas que se encontraban sobre las placas eritematosas. La histología mostraba una lesión típica de queratosis seborreica infiltrada por linfocitos T de micosis fungoide (fig. 2).
Fig. 1.--Múltiples queratosis seborreicas sobre una placa eritematosa de micosis fungoide en región hipogástrica. Las lesiones son mucho menos numerosas en la piel normal.
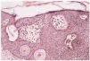
Fig. 2.--Linfocitos de pequeño tamaño con halo claro que infiltran la epidermis de una queratosis seborreica (hematoxilina-eosina, x40).
Durante un año el paciente siguió tratamiento con interferón-alfa (IFN-α) 3 millones U (MU) y psoraleno y luz ultravioleta (PUVA) tres veces por semana sin respuesta, por lo que posteriormente se decidió tratar con carmustina tópica (10 mg/día) aplicándola sobre toda la superficie corporal. A los dos o tres meses de iniciar este último tratamiento se objetivó una disminución progresiva en el número y tamaño de las queratosis seborreicas, habiendo desaparecido todas completamente a los 6 meses de iniciar el tratamiento. Sin embargo, las placas eritematosas de micosis fungoide persistieron prácticamente sin ninguna modificación clínica, aunque el estudio histopatológico mostró una discreta disminución del infiltrado linfoide (fig. 3). Las queratosis seborreicas no han reaparecido tras tres años de seguimiento.
Fig. 3.--Desaparición de las queratosis seborreicas tras 6 meses de tratamiento con carmustina tópica. Persiste la placa eritematosa de base.
La micosis fungoide fue tratada posteriormente con IFN-α a dosis altas (9 MU) y UVB tres veces por semana, junto con radioterapia local en la lesión de la región lumbar. El tratamiento con IFN y UVB se mantuvo durante tres meses, tras los cuales se objetivó desaparición clínica completa de las lesiones de micosis fungoide. El paciente ha permanecido asintomático y sin tratamiento durante los dos últimos años.
DISCUSION
La coexistencia de diferentes lesiones cutáneas en un mismo paciente es un hallazgo común4, 5. En este sentido, cabe decir los mismo de la presentación simultánea de lesiones de micosis fungoide y queratosis seborreicas3, 6, probablemente debido a la alta incidencia de estas últimas en todo tipo de pacientes. En nuestro caso hay que destacar dos aspectos: el primero es la coexistencia de lesiones de micosis fungoide con queratosis seborreicas que histológicamente se encuentran infiltradas por linfocitos T, y el segundo es la desaparición de las queratosis seborreicas con carmustina tópica.
El desarrollo de lesiones malignas sobre queratosis seborreicas ya ha sido previamente documentado7, 8, así como la infiltración de lesiones preexistentes por linfocitos neoplásicos en algunos procesos linfoproliferativos9. Sin embargo, a nuestro saber, la infiltración de una queratosis seborreica por linfocitosT de micosis fungoide sólo se ha descrito una vez con anterioridad a nuestro caso2, aunque posiblemente ello se deba a que estas lesiones benignas no se biopsian habitualmente en este tipo de pacientes. El mecanismo responsable de la infiltración de lesiones cutáneas preexistentes por linfocitos neoplásicos es desconocido, aunque se ha postulado la existencia de un estímulo quimiotáctico que actuaría sobre los mismos en el contexto de la respuesta inflamatoria10. Desde nuestro punto de vista, más bien se trataría de un simple mecanismo pasivo de infiltración de la queratosis seborreica por los linfocitos T de la enfermedad tumoral.
La carmustina tópica es un agente muy eficaz en el tratamiento de estadios iniciales de micosis fungoide en placas, aunque la mayoría de los pacientes desarrollan como efecto secundario cierto eritema irritativo con su aplicación11, 12. Dado que se trata de un agente antiproliferativo, es posible que ésta sea la causa de la desaparición de las queratosis seborreicas con el tratamiento tópico. No hemos encontrado ningún caso previo que refiera la desaparición de queratosis seborreicas con carmustina tópica, y consideramos que en nuestro caso se trata de un hallazgo casual tras instaurar este tratamiento para su micosis fungoide.





