INTRODUCCIÓN
Los factores estimuladores de colonias de granulocitos(G-CSF) y granulocito-macrófagos (GM-CSF) son glucoproteínas de bajo peso molecular que aumentan la proliferación y diferenciación de las células progenitoras hematopoyéticas1. Los avances en las técnicas de recombinación de ADN hacen posible disponer de cantidades ilimitadas de las formas recombinantes de G-CSF y GM-CSF. Esto ha posibilitado el incremento de su utilización. Las aplicaciones más importantes son la aceleración y recuperación de los estados neutropénicos después de quimioterapia o la movilización de precursores hematopoyéticos para la realización de un trasplante de médula ósea (TMO). También se emplean en otros estados neutropénicos como la anemia aplásica, los producidos por el virus de la inmunodeficiencia humana (VIH) y los congénitos. Entre las aplicaciones más recientes están las mucositis postradioterapia o tópicamente en las úlceras venosas crónicas. Incluso se están realizando ensayos clínicos con inyecciones intralesionales en el tratamiento del melanoma en estadio avanzado (fases III y IV)2-4.
Desde que se inició el tratamiento con estos factores se han descrito diversos efectos secundarios. Entre los efectos generales figuran: fiebre, dolores óseos o espleonomegalia asintomática5. En cuanto a la piel, se han descrito reacciones locales en los sitios de inyección, como prurito y eritema6, 7. También se han referido casos de síndrome de Sweet, pioderma gangrenoso, vasculitis leucocitoclástica o foliculitis8-14. Presentamos el caso de un paciente que desarrolló, 8 días después del inicio del tratamiento con G-CSF, una erupción maculopapulosa de distribución predominantemente en áreas fotoexpuestas.
DESCRIPCION DEL CASO
Se trataba de un paciente de 52 años, que fue diagnosticado de leucemia mieloide crónica con cromosoma Filadelfia positivo en octubre de 1999. En septiembre de 2000 ingresó para TMO alogénico, mediante transfusión de precursores hematopoyéticos de sangre periférica de hermano HLA (complejo mayor de histocompatibilidad) idéntico. Se realizó acondicionamiento previo al trasplante con quimioterapia tipo BuCy2 (busulfán, ciclofosfamida y fenitoína), administrándose profilaxis de la enfermedad injerto contra huésped con ciclosporina y metotrexato, así como aciclovir para prevenir las infecciones por herpesvirus.
El día 21 el paciente continuaba en aplasia, por lo que se inició tratamiento con G-CFS a dosis de 300 µg por vía subcutánea. Ocho días más tarde aparecieron unas lesiones maculopapulosas, eritematopurpúricas, con tendencia a confluir, no pruriginosas, en cara y escote. Llamaba la atención la distribución predominantemente en zonas fotoexpuestas (figs. 1 y 2). Seguidamente, de forma salpicada y menos intensas presentó nuevas lesiones maculosas, eritematosas en tronco y extremidades superiores, incluyendo palmas, y sin afectación de mucosas. Ante la persistencia de la aplasia, el día 33 se decidió administrar una segunda infusión de precursores hematopoyéticos de sangre periférica del hermano, pautándose acondicionamiento dos días antes con corticoides sistémicos intravenosos.
Fig. 1.--Lesiones maculopapulosas, eritematopurpúricas, con tendencia a confluir, en cara y escote.
Fig. 2.--Detalle de las lesiones.
Las lesiones mejoraron a partir del día 33, pero el paciente falleció 7 días después por fallo multiorgánico.
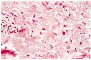
Se realizaron dos biopsias de piel, una en región preesternal y otra en dorso de brazo derecho, observándose en ambas una discreta dermatitis de interfase vacuolar con ligera hiperpigmentación melanocítica basal. En la dermis papilar se apreciaba edema, ectasia del plexo vascular superficial y ligeros infiltrados perivasculares linfocitarios. La lesión más significativa consistía en una proliferación de macrófagos de citoplasma amplio, ocasionalmente multinucleados, que se disponían de forma perivascular e intersticial en dermis papilar y reticular y que con frecuencia presentaban fagocitosis de fibras elásticas (fig. 3). Estas células teñían con HAM 56 y el CD 68. También se realizó una tinción para fibras elásticas, donde se puso de manifiesto la presencia de elastofagocitosis (fig. 4).
Fig. 3.--Detalle histológico del infiltrado dérmico, que muestra macrófagos aumentados de tamaño (hematoxilina-eosina, x100).
Fig. 4.--Fagocitosis de fibras elásticas (tinción de van Gieson, x100).
DISCUSION
Desde que en 1991 Horn et al15 describiesen tres pacientes con una erupción maculopapulosa coincidiendo con la administración de GM-CFS, se han publicado diversos casos12-14, 16. La presencia de macrófagos aumentados en número y en tamaño es la característica de estas erupciones cutáneas por factores estimuladores de colonias13. Sin embargo, esta hallazgo histológico también ha sido descrito en las biopsias de algunos pacientes que sólo habían recibido quimioterapia17. Las lesiones cutáneas secundarias al uso de GM-CSF son más frecuentes que con G-CSF. La dosis administrada y el curso clínico, como en nuestro caso, suelen ser limitados aunque el fármaco no sea interrumpido, y no es necesaria la utilización de tratamiento en la mayoría de los casos16.
El diagnóstico diferencial de las erupciones maculopapulosas en pacientes con TMO y aplasia medular después de la quimioterapia es amplio. Las causas más importantes son las erupciones secundarias a la enfermedad injerto contra huésped y las reacciones de hipersensibilidad a fármacos. En nuestro caso no hubo en ningún momento injerto, por lo que se podría excluir razonablemente la causa de enfermedad in-jerto contra huésped como responsable de las lesiones cutáneas. En nuestra opinión, la erupción cutánea de nuestro paciente probablemente estuvo desencadenada por los factores de crecimiento de colonias, dada la relación temporal entre ambos hechos, ya que las lesiones cutáneas aparecieron una semana después del comienzo de la administración de G-CSF. Sin embargo, no podemos descartar completamente el efecto de la quimioterapia que se había administrado previamente y que pudiera tener unas manifestaciones más tardías.
Por otra parte, la gran mayoría de pacientes con erupciones cutáneas generalizadas por factores de crecimiento habían recibido previamente quimioterapia y son escasos los artículos en los que se describen erupciones en pacientes sanos a los cuales se les administran estos factores para la movilización previa a la recogida de precursores hematopoyéticos de sangre periférica18, 19.
Queremos destacar la distribución de las lesiones más intensa en áreas fotoexpuestas en nuestro paciente. Este hecho podría ser explicado por el daño solar previo, aunque desconocemos su causa exacta. El fallecimiento del paciente impidió que se pudieran realizar pruebas epicutáneas de contacto con irradiación ultravioleta.






