INTRODUCCION
La queratodermia espinosa es una rara entidad de la que apenas se ha descrito una treintena de casos; la mayoría son adquiridos pero existen casos familiares con varios miembros afectados. Esta dermatosis se caracteriza por la aparición de lesiones hiperqueratósicas de pequeño tamaño y morfología filiforme salpicadas por la superficie de ambas palmas y/o plantas. Las lesiones recuerdan a las púas del rodillo de una caja de música antigua. Histológicamente se distingue una columna paraqueratósica compacta netamente separada del estrato córneo normal, con una capa granulosa subyacente adelgazada o ausente, a modo de laminilla cornoide. La queratodermia espinosa puede asociarse con tumores malignos de diversos orígenes.
Se presenta un caso de queratodermia espinosa que se caracterizaba por tener en una de las biopsias una estrecha relación de la columna paraqueratósica con el acrosiringo.
CASO CLINICO
Una mujer de 60 años refería, como único antecedente de interés, ser fumadora de 30 cigarrillos/día desde la juventud. Acudió a la consulta por presentar lesiones hiperqueratósicas filiformes en ambas palmas de 7 años de evolución. Las lesiones eran asintomáticas pero habían aumentado en número y tamaño durante el último verano. Negaba historia de contacto con arsénico o consanguinidad. A la exploración se observaban múltiples lesiones hiperqueratósicas filiformes de 1 mm de diámetro y de 1-2 mm de longitud, distribuidas irregularmente por ambas palmas (figs. 1 y 2). Las lesiones eran de coloración ligeramente más amarillenta que la piel sana y no existían lesiones en el dorso de las manos, plantas ni otras localizaciones.
Fig. 1.--Lesiones hiperqueratósicas filiformes en palma.
Fig. 2.--Lesiones hiperqueratósicas en cara palmar de los dedos.
Se practicó una biopsia «en sacabocado» de 4 mm en la que se observaba una columna paraqueratósica en estrecha relación con el acrosiringo compatible histológicamente con nevo ductal y del ostium ecrino poroqueratósica (fig. 3). Un mes después y, a pesar de no estar recibiendo tratamiento, muchas de las lesiones habían desaparecido y otras persistían, aunque habían disminuido de tamaño. Se realizaron dos nuevas biopsias «en sacabocados». En diversos cortes de una de las piezas se observaba que existía relación entre la columna paraqueratósica y el ducto de las glándulas ecrinas. Sin embargo, en la mayoría de las preparaciones no se encontraba esta relación a pesar de haber seriado la muestra. Las pruebas analíticas, radiografía simple de tórax y tomografía computarizada (TC) toracoabdominal resultaron normales. Las lesiones permanecen estables desde su diagnóstico.
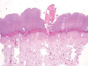
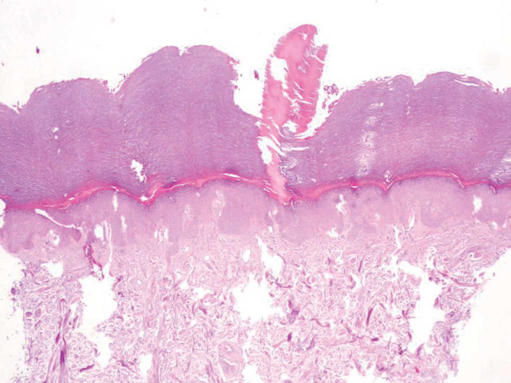
Fig. 3.--Columna de paraqueratosis bien delimitada sobre un estrato córneo adelgazado y que coincide parcialmente con un acrosiringio. (Hematoxilina-eosina, x10.)
DISCUSION
La queratodermia espinosa es una enfermedad poco frecuente, que puede asociarse a tumores de diverso origen. El primer caso de queratodermia espinosa palmar fue publicado en 1971 por Brown 1 con el diagnóstico de queratodermia punctata palmar, pero en realidad fue Herman en 1973 quien individualizó esta entidad 2. Desde entonces ha recibido numerosos sinónimos y se puede encontrar en la literatura médica descrita como queratodermia poroqueratósica punctata2-6, poroqueratosis punctata palmar 7-10, hiperqueratosis palmar filiforme 11-19 y, más recientemente, como queratodermia espinosa 20-27. Posiblemente esta diversidad en la nomenclatura se deba a que inicialmente se describió como una variante de las poroqueratosis y a lo largo del tiempo se ha ido perfilando como una entidad diferenciada.
Se desconoce la patogenia de estas lesiones; se ha postulado, en función del patrón de queratinas que se encuentran en la columna paraqueratósica, que pueda tratarse de una formación ectópica y anómala del pelo 25.
En nuestro caso llamaba la atención que algunas de las columnas de paraqueratosis asentaban sobre el acrosiringio de las glándulas ecrinas. Esta característica histológica, típica del nevo ductal dérmico y del ostium ecrino poroqueratósico, únicamente se ha descrito con anterioridad en 2 casos 2,6. Sin embargo, el nevo dérmico ductal presenta un aspecto clínico claramente diferente, consistente en lesiones papulosas de distribución lineal que siguen las líneas de Blaschko.
Numerosos casos publicados de queratodermia espinosa se han asociado con neoplasias. Los tumores asociados a esta entidad son muy variados: carcinoma epidermoide de pulmón 2,6, carcinoma renal 11, adenocarcinoma de colon 3,17 y recto 18, carcinoma de mama 12, melanoma 17 y leucemia linfática crónica 26. Inicialmente se pensó que podía tratarse de un nuevo síndrome paraneoplásico; sin embargo, esta expectativa no se ha cumplido, puesto que por el momento no existen suficientes criterios para considerarla como tal. El curso no siempre es paralelo a la neoplasia y algunos casos preceden la aparición de la neoplasia hasta en 30 años 26. No obstante, en los artículos más recientes se recomienda de forma unánime realizar un cribado de neoplasia en estos pacientes, si bien no existe un protocolo claramente establecido. Otras entidades a las que se ha asociado son la poliquistosis renal 17,22, la insuficiencia renal en tratamiento con diálisis 14 y la enfermedad de Darier 13.
No existe consenso sobre si esta entidad es una poroqueratosis auténtica o una forma de queratodermia localizada con rasgos poroqueratósicos. Esto se debe a que, aunque comparte características con la poroqueratosis como que las lesiones se componen de una columna de paraqueratosis bien diferenciada de la capa córnea normal adyacente y que asienta sobre una epidermis con un estrato granuloso disminuido, sin embargo no presenta otros hallazgos típicos como son la disqueratosis y la degeneración vacuolar de queratinocitos.
Algunos autores dedicados al estudio de esta entidad suponen que existe un problema de infradiagnóstico, ya que es una enfermedad asintomática y argumentan haber visto varios casos en un corto período de tiempo 24-25.





