INTRODUCCION
El hemangioendotelioma epitelioide (HEE) es un tumor vascular infrecuente de reciente descripción, que suele aparecer en partes blandas y hueso y con menos frecuencia en pulmón e hígado. Excepcionalmente afecta a la dermis de la piel. En esta última localización se han descrito hasta la fecha aproximadamente 30 casos en la literatura médica. Se describe el caso de un paciente con un HEE plantar de larga evolución y sin signos de recurrencia en la actualidad.
DESCRIPCION DEL CASO
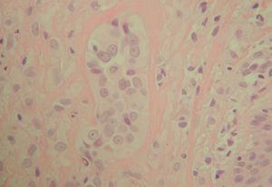
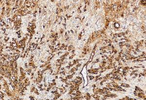
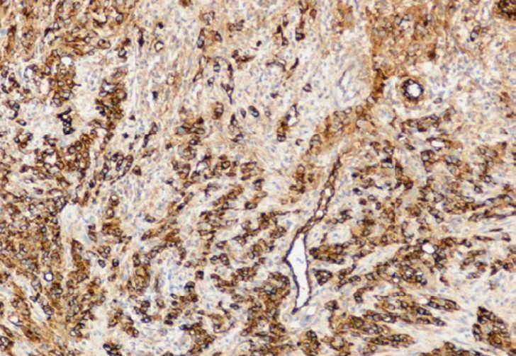
Un paciente varón de 36 años, de origen rumano, sin antecedentes de interés, acudió a consultas de dermatología por la presencia de una lesión en planta de pie izquierdo. Refería que a los 17 años comenzó con una hiperqueratosis, de crecimiento lentamente progresivo y que le molestaba al caminar. Hace 4 años se le realizó una pequeña extirpación en su país de origen, pero el paciente no aportaba informes. Hace 3 años reapareció nuevamente una lesión, que fue creciendo lentamente, y era dolorosa al andar, motivo por el que consultaba. En la exploración física presentaba una placa hiperqueratósica en la región plantar del primer metatarso, no ulcerada, de límites mal definidos y de aproximadamente 2 x 2 cm (fig. 1). Con el diagnóstico clínico de carcinoma verrucoso, se realizó biopsia en la que se observaba una epidermis hiperqueratósica y sin alteraciones aparentes, mientras que en la dermis y grasa se ponía de manifiesto una proliferación tumoral formada por nidos de células endoteliales de aspecto epitelioide redondeadas y poligonales. El citoplasma era eosinófilo y contenía luces intracitoplasmáticas, algunas de las cuales estaban llenas de hematíes. En ciertas áreas, las células se disponían formando canales vasculares. No se observaban figuras de mitosis ni de atipia nuclear (fig. 2). La inmunohistoquímica fue positiva para CD34 y factor VIII (fig. 3) y negativa para S-100 y panqueratinas (fig. 4). Con estos datos se realizó el diagnóstico de HEE.
Fig. 1.--En la región plantar del primer metatarso se observa una placa hiperqueratósica mal definida, de aproximadamente 2 x 1,8 cm, no infiltrada ni ulcerada.
Fig. 2.--En la dermis se observa una masa tumoral compuesta por células eosinófilas, de aspecto poligonal y fusiforme. En algunas de estas células se observa un citoplasma vacuolado.
Fig. 3.--Las células endoteliales tumorales son positivas con la tinción del factor VIII.
Fig. 4.--Tinción negativa para pancitoqueratinas.
Las pruebas complementarias realizadas estaban dentro de la normalidad (hemograma, bioquímica, tomografía computarizada [TC] toracoabdominopélvica y resonancia magnética [RM] locorregional). Bajo anestesia epidural, se realizó extirpación de la lesión y cierre mediante plastia de deslizamiento. No se observaban signos de recidiva a los 10 meses de la intervención quirúrgica.
DISCUSION
El HEE es un tumor vascular de partes blandas y de hueso poco común descrito por Weiss y Enzinger en 1982. Sin embargo, puede aparecer en cualquier órgano interno, con más frecuencia en pulmón e hígado, y excepcionalmente en la piel. Tanto por su comportamiento clínico como por su histología se le considera una neoplasia intermedia entre un hemangioma benigno y un angiosarcoma 1. Se trataría de una neoplasia de malignidad límite, aunque el pronóstico no está claro al haber pocos casos descritos.
El HEE, con independencia de su localización, afecta a ambos sexos por igual y con frecuencia aparece en la edad media aunque se han comunicado casos en la infancia. No se han descrito factores predisponentes para su aparición. Clínicamente suele presentarse como una masa única en partes blandas en cualquier localización anatómica, pero sobre todo en las extremidades 1. Cuando se origina en pulmón, hígado y hueso, la neoplasia tiende a ser multifocal 2,3. En algunos pacientes puede haber afectación multiorgánica y no está muy claro si se debe a que el HEE tiene capacidad de aparición multicéntrica 4 o si constituyen verdaderas metástasis a distancia 5.
Histológicamente es igual en todos los casos, con independencia del órgano en el que aparezcan. Microscópicamente se trata de un tumor mal delimitado 6 y parece que se origina de las venas de mediano o gran tamaño en la mayoría de los casos 1. Se caracteriza por la presencia de agregados de células endoteliales de apariencia epitelioide, ovales o poligonales, con citoplasma eosinófilo y núcleo redondeado, dentro de una estroma mixoide 7. Es característico que el citoplasma de estas células esté vacuolado, lo cual ayuda a establecer el diagnóstico. También es típico que estas vacuolas contengan hematíes y confluyan, formándose luces intracitoplásmicas, que podrían representar canales vasculares abortados 7. Las células endoteliales neoplásicas se disponen definiendo canales vasculares en algunas áreas mientras que en otras forman sólidos agregados celulares 4,7-9. Es frecuente la extravasación de hematíes y el depósito de hemosiderina en macrófagos. El pleomorfismo nuclear es mínimo y no suelen observarse mitosis 8,10. A veces hay un infiltrado inflamatorio de tipo mixto. Los estudios con microscopia electrónica demuestran la naturaleza vascular del tumor, lo que pone de manifiesto lámina basal alrededor de las células, núcleos redondeados, luces intracitoplásmicas y ocasionales cuerpos de Weibel-Palade 5,11.
El HEE se tiñe con marcadores endoteliales como antígeno relacionado-factor VIII, lectina Ulex europaeus, CD31 y CD34. En algunos pacientes también se tiñe con citoqueratina 4,6 y actina del músculo liso 6,9,10. Aunque no hay ningún marcador histológico pronóstico, parece que la presencia de mitosis, atipia y necrosis se asocia con una peor evolución 1,12. Además, el pronóstico varía según el órgano que esté afectado. De 46 casos de HEE en partes blandas y seguidos durante una media de 48 meses, el 13 % tuvieron recurrencia local y el 31 % metástasis en ganglio, hígado o hueso. Pero menos del 50 % de los casos metastásicos murieron a causa del HEE 13. Sin embargo, si el HEE se localiza en hígado o pulmón la tasa de mortalidad es alta (35 y 65 %, respectivamente) 14. Esto hace que algunos autores lo consideren como un tumor realmente maligno 6.
Tras revisar los casos de HEE localizados en piel y mucosas, incluyendo nuestro paciente, la mayoría son adultos entre 30 y 50 años, aunque algunos se presentan en niños 9,15-17, con un ligero predominio en el sexo femenino (tablas 1 y 2). Aunque puede aparecer en cualquier localización de la superficie cutánea y mucosas, lo más frecuente son las extremidades y sólo otros 2 pacientes tenían el tumor en el pie 5,15. Aunque clínicamente es muy variable, por lo general se presenta como una tumoración o nódulo único eritematoso, y rara vez múltiple 4,6,10,12,18-20. Es raro que esté ulcerado 5,8,15,16 o que sea hiperqueratósico como nuestro caso. Puede acompañarse de afectación de los tejidos subyacentes: en 2 casos afectación ósea 12,18 y en otro ósea y arterial 4. Ocasionalmente recurre localmente tras la intervención (2 casos 6,21), y produce metástasis linfáticas regionales 15 o a distancia. Sólo un paciente que presentaba afectación ósea y ganglionar falleció a causa del HEE, debido a metástasis pulmonares 5, lo que representa el 2,77 % del total de HEE en piel y mucosas, porcentaje de mortalidad menor que los HEE en otras localizaciones. Esto contrasta con otros pacientes en los que la afectación hepática y pulmonar no progresó en 8-10 años 19.
El HEE cutáneo puede confundirse histológicamente con el angiosarcoma, pero éste suele tener más atipias celulares, mitosis y necrosis 4. La presencia de hematíes intravacuolares es un dato que ayuda a establecer el diagnóstico del HEE 12.
Ante un HEE en piel se solicitará un hemograma, una bioquímica y pruebas de imagen para descartar afectación de tejidos subyacentes y de órganos internos (fundamentalmente hígado y pulmón). El tratamiento consiste en la extirpación total del tumor con amplios márgenes. Habrá que realizar un seguimiento a largo plazo para detectar recurrencias locales, adenopatías locorregionales y afectación hepática y pulmonar debido a su potencial curso agresivo y, si existen, habrá que plantear una nueva intervención asociada a radioterapia o quimioterapia 4,15.
Como conclusión, pensamos que el HEE es un tumor en el que es difícil predecir su evolución y que tiene un pronóstico incierto con un comportamiento biológico muy variable. Tras esta revisión de los HEE localizados en piel y mucosas, aunque el número de casos descritos sea pequeño, parece que la evolución es más favorable, con un porcentaje de mortalidad menor que cuando se origina en otras localizaciones, pero sin olvidarnos de que puede ser también mortal.









