INTRODUCCION
La pustulosis eosinofílica infantil es una peculiar erupción cutánea recurrente, que consiste en la aparición de pápulas y pústulas, principalmente en cuero cabelludo, y con menos frecuencia en el tronco y extremidades1,2. En el estudio citológico del contenido de las pústulas se encuentran eosinófilos, y los cultivos para bacterias y hongos son negativos. Histopatológicamente existe un infiltrado inflamatorio mixto con numerosos eosinófilos alrededor y en los folículos pilosos.
Se presentan 2 casos de pustulosis eosinofílica del cuero cabelludo en la infancia atendidos en nuestro hospital en los últimos 4 años.
PRESENTACION DE LOS CASOS
Caso 1
Un varón de 1 año y 1 mes acudió al servicio de dermatología de nuestro hospital por presentar episodios recurrentes de una erupción papulopustulosa del cuero cabelludo. No presentaba antecedentes familiares ni personales de interés, habiendo presentado en el nacimiento y hasta el momento piel de características normales, sin signos de atopia ni otras alteraciones cutáneas.
A los 12 meses, el niño comenzó con un cuadro de pápulas y pústulas pruriginosas en el cuero cabelludo, que se rompían con facilidad, y dejaban costras de coloración amarillenta. La erupción evolucionaba en brotes intermitentes separados entre ellos por unas 2 semanas, aproximadamente. En sus primeros episodios fue tratado con antibióticos y corticoides tópicos además de con antibióticos sistémicos. Durante los brotes destacaba el buen estado general del niño. Los cultivos para hongos y bacterias fueron negativos en repetidas determinaciones. El hemograma mostraba un recuento de serie blanca normal con 9.000 leucocitos y un 6 % de eosinófilos. Una muestra histológica obtenida del cuero cabelludo, reveló en dermis media y profunda, alrededor del pelo, un infiltrado inflamatorio constituido por polimorfonucleares, con predominio de eosinófilos y ligera respuesta estromal fibroblástica adventicial perivascular. En algunas zonas del infundíbulo existían abscesos constituidos por polimorfonucleares de predominio eosinofílico. Además, se apreciaba edema difuso que disecaba los haces de colágena, tanto en la dermis profunda como alrededor de los folículos. No se observaron formas micóticas PAS (ácido peryódico de Schiff) positivas.
Los diferentes brotes se trataron con corticoides tópicos (hidrocortisona al 1 %), existiendo una respuesta favorable al tratamiento. Después de 8 meses de evolución el cuadro cedió, sin que se hayan presentado nuevos brotes en los últimos 3 años.
Caso 2
Un varón de 3 años de edad acudió a nuestro hospital presentando un cuadro de 2 días de evolución, de lesiones papulopustulosas que afectaban principalmente al cuero cabelludo, y que se extendían por la región retroauricular y los pabellones auriculares. Además, se observaba un ligero edema en frente y párpados, siendo normal el estado general. El niño no tenía antecedentes personales de interés y entre los antecedentes familiares destacaban su padre y su madre, con dermatitis atópica.
Dos meses antes de acudir al hospital, el niño había comenzado con brotes menos intensos de lesiones de las mismas características que cedían de forma espontánea, y se han incrementado de manera paulatina la severidad de los últimos brotes hasta el momento actual. Se inició tratamiento con antibióticos, antifúngicos y corticoides tópicos, así como con antibióticos orales. Se realizaron varios cultivos, siendo en todos los casos negativos para hongos y bacterias. Al tercer día de tratamiento, las lesiones comenzaron a presentar costras amarillentas solucionándose el episodio en una semana. Quince días después, el niño comenzó con un nuevo brote de las mismas lesiones, localizadas en región frontal y parietal de cuero cabelludo, sin afectación del estado general (fig. 1). Se recogieron nuevas muestras para cultivo de hongos y bacterias que fueron nuevamente negativos. Además, se realizó una biopsia de las lesiones, instaurando en este momento tratamiento tópico con hidrocortisona al 1 %, cediendo el brote en pocos días. En el hemograma destacaba una ligera leucocitosis de 12.000 con aumento de eosinófilos (7,5 %), siendo la velocidad de sedimentación en la primera hora de 7 mm/h.
Fig. 1.--Caso 2. Lesiones papulopustulosas sobre base eritematosa localizadas en área frontal y vértex de cuero cabelludo.
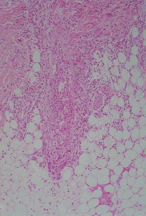
En el estudio histológico podía observarse un moderado infiltrado inflamatorio polimorfo compuesto por polimorfonucleares, eosinófilos y linfocitos, alrededor de los vasos y en el intersticio. Algunos de los folículos se encontraban densamente infiltrados por polimorfonucleares y eosinófilos, que destruían parcialmente la pared, ocupando el infundíbulo y afectando también la glándula sebácea (figs. 2 y 3). Se realizaron tinciones para la detección de estructuras micóticas (PAS y plata-metenamina) que resultaron negativas.
Fig. 2.--Imagen panorámica donde se observa en la epidermis una pústula subcórnea, acompañada de denso infiltrado inflamatorio que afecta a dermis e hipodermis. (Hematoxilina-eosina, x10.)
Fig. 3.--Infiltrado inflamatorio eosinofílico de dermis e hipodermis. (Hematoxilina-eosina, x40.)
El paciente presentó durante 9 meses pequeños brotes, que la familia controlaba con la aplicación de corticoides tópicos. En el momento actual el niño lleva 6 meses sin haber presentado ninguna lesión.
DISCUSION
La pustulosis eosinofílica infantil, afecta principalmente a niños de raza caucásica, desde la lactancia hasta los 15 meses de vida1-3. Aunque en todos los textos se describe como una entidad poco frecuente, se desconoce la verdadera incidencia de la pustulosis eosinofílica infantil. El gran número de casos descritos en los últimos años hace pensar que no se trata de una enfermedad infrecuente, sino que ha podido confundirse con foliculitis bacterianas del cuero cabelludo o no se ha diagnosticado debido a su tendencia a la autorresolución4.
Clínicamente, la enfermedad se manifiesta por la aparición de unas lesiones papulosas que evolucionan a vesículas o pústulas estériles y después a costras cuya localización predominante es el cuero cabelludo. Ocasionalmente se han encontrado lesiones en cara, tronco, piernas, brazos, incluso en palmas y plantas. Estas lesiones evolucionan en forma de brotes sucesivos de unas 2 o 3 semanas de duración. Estas lesiones se acompañan de eosinofilia periférica en el 70 % de los casos y puede existir elevación de la IgE. En algunos casos se ha descrito una disminución en el número de linfocitos CD8 supresores con hiperreactividad de células B5. El tratamiento con antibióticos tópicos, sistémicos y corticoides tópicos muestra resultados variables, pero la enfermedad tiende a la resolución espontánea definitiva en el transcurso de unos pocos meses sin dejar alopecia ni lesiones cicatrizales1.
En el estudio histológico las lesiones muestran infiltración dérmica y en ocasiones también hipodérmica de predominio eosinofílico. Este infiltrado rodea o incluso invade el folículo pilosebáceo, y produce en ocasiones espongiosis de la pared del folículo y pústulas o abscesos foliculares eosinofílicos. También se describe afectación epidérmica con espongiosis y pústulas intraepidérmicas5. En otras ocasiones se encuentra una gran infiltración de eosinófilos, pero con ausencia de verdadera foliculitis eosinofílica con espongiosis o degeneración folicular3.
La etiopatogenia de la pustulosis eosinofílica PE infantil permanece sin aclarar6,7. La reacción de hipersensibilidad con quimiotaxis selectiva de eosinófilos parece ser el mecanismo fundamental.
La pustulosis eosinofílica infantil sería una manifestación tisular que reflejaría una disregulación del sistema inmunológico por activación de una de las subpoblaciones linfocitarias, con predominio de la respuesta de linfocitos Th27,8.
El diagnóstico diferencial incluye fundamentalmente los procesos infecciosos, como impétigo de cuero cabelludo, foliculitis bacteriana o micótica, tiña capitis, escabiosis, infecciones víricas, especialmente por herpes simple y varicela zóster, incluso sífilis congénita, candidiasis congénita o neonatal9. En el recién nacido, además, hay que descartar otras erupciones pustulosas estériles, como la acropustulosis infantil, el eritema tóxico neonatal, la incontinencia pigmenti, la histiocitosis de células de Langerhans y la melanosis pustulosa transitoria10, aunque la pustulosis eosinofílica infantil afectara niños de mayor edad.
Se han empleado diversas alternativas para el tratamiento de esta patología, como corticoides orales y tópicos (de media y alta potencia), cloxacilina, eritromicina, cetirizina (acción antieosinofílica), etc.5. La respuesta a estos tratamientos ha sido variable para los distintos casos analizados. La mayoría de los autores coinciden en indicar que, debido al buen pronóstico de esta enfermedad, se debe realizar tratamiento conservador con corticoides tópicos.





