INTRODUCCION
La endometriosis se define como la presencia de endometrio ectópico, glándulas y/o estroma fuera de la cavidad uterina. Generalmente se localiza en la cavidad pélvica y con menos frecuencia puede desarrollarse en vagina, cuello uterino y vulva. Más rara aún es la afectación de otros órganos como hígado, páncreas, vesícula biliar, intestino, pulmón, diafragma, aparato urinario, sistema nervioso central, piel, huesos, sistema linfático y vascular1,2.
Se distinguen dos formas de endometriosis cutánea. La más frecuente es secundaria a procesos quirúrgicos ginecológicos. Ésta se produciría por el transporte mecánico iatrogénico tras procedimientos invasivos como cesáreas3,4, laparotomías5,6, episiotomías7 o amniocentesis8. Mucho más rara es la endometriosis cutánea espontánea, que suele localizarse en ombligo, región perianal o inguinal. Representa el 1 % de todas las endometriosis y su mecanismo patogénico está menos aclarado9,10.
Se comunica el caso de una paciente que presentaba una endometriosis cutánea primaria asociada a mioma uterino gigante.
CASO CLINICO
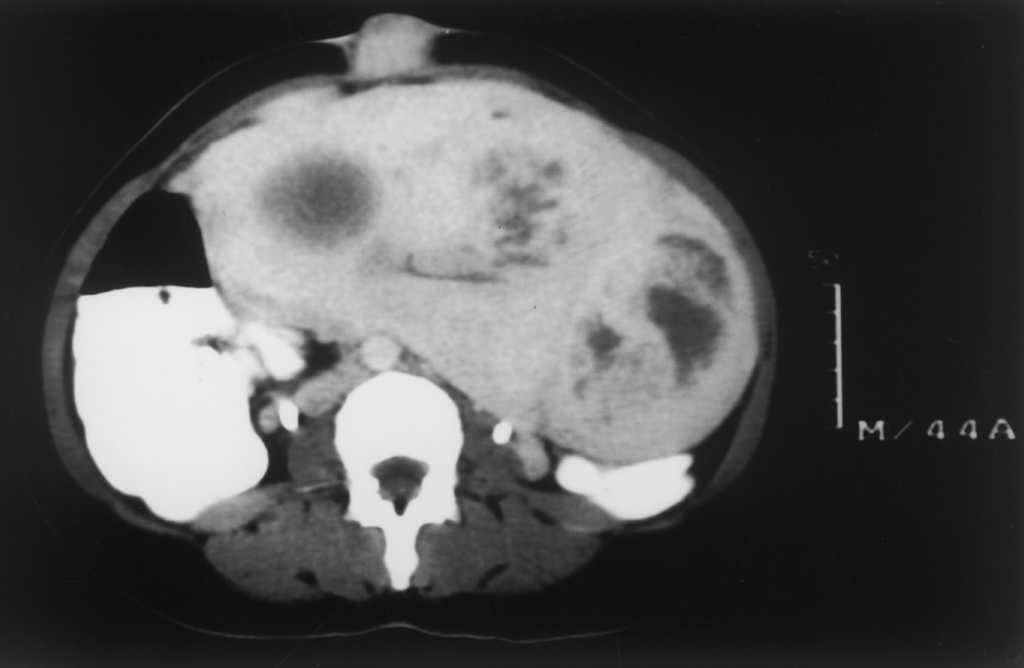
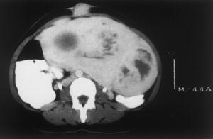
Una mujer de 44 años de edad, sin antecedentes personales ni familiares de interés, nulípara, con una fórmula menstrual de 3-4/28-30, ingresó en el servicio de ginecología por sensación de compresión abdominal. En la exploración física se apreciaba una pelvis ocupada por una masa irregular de gran tamaño (fig. 1). El servicio de dermatología fue requerido para valorar una lesión tumoral en región umbilical, de 5 años de evolución, asintomática y sin sintomatología asociada al ciclo menstrual.
Fig. 1.--TC que muestra una pelvis ocupada por una masa de gran tamaño.
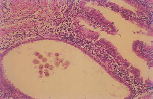
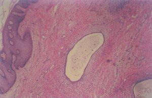
A la exploración se apreció una lesión dura, de 4 x 3 cm de diámetro, color marrón azulada, desplazable con facilidad sobre planos profundos y ligeramente dolorosa a la palpación (fig. 2). Se realizó una biopsia, y en el estudio histopatológico se observó una lesión cupuliforme, cercana a la epidermis caracterizada por formaciones glandulares en el seno de una estroma mixoide muy vascularizada (fig. 3). En la estroma se apreciaban focos microscópicos de extravasación hemática. Las estructuras glandulares estaban tapizadas por células epiteliales, que mostraban secreción por decapitación (fig. 4). Las luces glandulares eran ovaladas o anguladas aunque algunas estaban rotas y desestructuradas.
Fig. 2.--Lesión dura de 4 x 3 cm de diámetro, color marrón oscuro en región umbilical.
Fig. 3.--Glándula en el seno de la estroma mixoide muy vascularizada.
Fig. 4.--Glándulas tapizadas por células epiteliales con secreción por decapitación.
Se realizó una laparotomía. El útero era gigante, de aspecto polimiomatoso, y se procedió a la histerectomía, doble anexectomía y escisión de la lesión umbilical. Durante la intervención no se evidenciaron lesiones compatibles con endometriosis pélvica. El estudio histopatológico del útero confirmó el diagnóstico de leiomiomas con distintos grados de degeneración, mientras que la lesión umbilical mostró una histopatología similar a la descrita en la biopsia. Los ovarios fueron normales.
DISCUSION
La endometriosis cutánea es una entidad poco frecuente. Afecta entre el 1 y el 5 % de las mujeres en edad fértil3,11, y la endometriosis cutánea espontánea representa el 1 % de las mismas.
Desde el punto de vista clínico, la endometriosis cutánea espontánea suele presentarse en forma de nódulos solitarios dolorosos de color marrón o azulado, cuyo tamaño puede variar entre 0,5 y 6 cm, localizados en ombligo, ingle o periné3,4,10. Durante el ciclo menstrual el dolor suele exacerbarse y se puede acompañar de edema, eritema y sangrado12, aunque hay casos asintomáticos13,14.
El estudio histopatológico encuentra glándulas en la estroma celular en la que se aprecia extravasación hemática. Las luces glandulares pueden ser redondas, alargadas o anguladas, pueden contener detritos celulares, eritrocitos y un material amorfo PAS (ácido peryódico de Schiff) y azul alcián positivo. Se localizan en dermis y/o tejido celular subcutáneo. Al igual que el endometrio, los hallazgos histopatológicos pueden variar según las distintas fases del ciclo menstrual. De este modo, en la fase proliferativa existe una pronunciada actividad mitótica, que confiere al epitelio un aspecto pseudoestratificado. En la fase secretora se aprecia una secreción por decapitación de las células glandulares. En esta fase suelen evidenciarse dos tipos celulares en la estroma: una célula grande de citoplasma amplio y otra célula clara de menor tamaño, que equivaldrían a las células predeciduales y al granulocito endometrial. Finalmente, en la fase menstrual, es típica la desintegración del epitelio glandular. Sin embargo, no suele existir una buena correlación entre los cambios histológicos de la endometriosis y la fase del ciclo menstrual en que se halle la paciente4,15-17. Incluso se pueden observar glándulas en distintas fases del ciclo menstrual en una misma paciente17. En casos dudosos la presencia de receptores estrogénicos en las células del epitelio glandular apoyará el diagnóstico de endometriosis18.
El diagnóstico diferencial es amplio y debe incluir desde lesiones benignas como hernias19,20, restos embriológicos (onfalomas, onfaloceles, quiste del uraco, pólipos del conducto onfalomesentérico), granuloma piógeno, granuloma por cuerpo extraño (talco, candidiásico), hasta procesos malignos como melanoma, metástasis de neoplasias internas (adenocarcinomas de ovario, carcinoma gástrico)4,21. La microscopia de epiluminiscencia22 encuentra una pigmentación roja periférica que se difumina y centralmente estructuras globulares profundas (red atolls), que ayuda a establecer el diagnóstico diferencial con el melanoma.
Los mecanismos por los que se desarrolla el tejido endometrial ectópico en la endometriosis espontánea no están aclarados. La teoría de la metaplasia celómica defiende que algunas células indiferenciadas del epitelio germinal podrían diferenciarse en células endometriales por un estímulo no especificado23. Esto podría explicar los casos umbilicales pero no los perianales e inguinales, por lo que es mas lógico suponer que se deba al transporte de tejido endometrial por vía hematológica o linfática, desarrollándose una metaplasia endometrial en un ambiente con concentraciones adecuadas de estrógenos4,24-26.
En nuestra paciente era llamativa la presencia de endometriosis umbilical espontánea y leiomiomas gigantes. Esta asociación fue descrita por Kichukova26, dada su evolución dependiente de estrógenos, y se vería apoyada por la respuesta de ambos procesos a antiprogestágenos27, aunque dicha asociación no está reconocida en los textos de ginecología2.






