La endocarditis infecciosa es un proceso potencialmente grave que consiste en la infección de una válvula cardiaca o endotelio mural favorecido por condiciones previas (fiebre reumática, anomalía congénita valvular, válvula protésica, drogas por vía parenteral, cardiopatías congénitas, miocardiopatía, etc.)1. Se divide en aguda y subaguda, siendo la primera rápidamente evolutiva en días hacia insuficiencia cardiaca, mientras que la subaguda puede evolucionar en meses con un síndrome constitucional larvado. El gérmen habitualmente involucrado en la aguda es Staphylococcus aureus, mientras que en la crónica se han visto implicados gérmenes variables (Streptococcus viridans >50%, Enterococcus y grupo HACEK: Haemophilus spp., Actinobacillus actinomycetemcomitans, Cardiobacterium hominis, Eikenella corrodens, Kingella spp.)2.
Se presenta el caso de un varón de 54 años, hipertenso y diabético insulinodependiente, con historia de fiebre reumática en la infancia y doble lesión (estenosis-insuficiencia) mitral, así como leve afectación tricuspídea y aórtica, portador de una prótesis mecánica en posición mitral. El paciente acudió al servicio de urgencias presentando un cuadro de fiebre de 38,5°C de unos 15 días de evolución acompañado de tumefacción en tobillo izquierdo. En el análisis de sangre se objetivó una elevación discreta de las transaminasas. La orientación diagnóstica fue de celulitis, realizándose extracciones sanguíneas para hemocultivos e instauración indicando amoxicilina-clavulánico 2g/125mg cada 12h obteniendo defervescencia transitoria. El paciente fue remitido a consultas de dermatología donde nos llamó la atención la presencia de agregados pustulosos en los pulpejos de varios dedos de ambas manos (fig. 1a), así como hemorragias en astilla (fig. 2a) y placas tumefactas y edematosas en ambos codos y punta nasal.
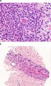
a) Absceso de polimorfonucleares con imágenes basófilas y granulares en su interior correspondientes con émbolos sépticos (hematoxilina-eosina, ×200). b) Agregado de trombo en el interior de vaso con mínima respuesta inflamatoria de pared. Vasculopatía trombótica (hematoxilina-eosina, ×200).
Le fueron biopsiada tanto una lesión pustulosa digital como una placa tumefacta del codo. En ambos casos se observaba una colección masiva de polimorfonucleares constituyendo un absceso, junto a imágenes basófilas, en forma de agregados finamente granulares, compatibles con émbolos sépticos (fig. 2a). En la primera zona se objetivó un agregado trombótico en el interior de los vasos con escasa respuesta inflamatoria de pared (vasculopatía trombótica) (fig. 2b).
Con el diagnóstico de sospecha de lesiones cutáneas secundarias a endocarditis infecciosa se solicitó un ecocardiograma transesofágico, que evidenció una imágen vibrátil de 0,5cm en el velo anterior de la válvula aórtica compatible con verruga valvular. En dos de los hemocultivos extraídos en urgencias se aisló, un bacilo gramnegativo que fue caracterizado, tras 6 semanas de incubación, como Actinobacillus actinomycetemcomitans (grupo HACEK).
El paciente fue tratado durante 6 semanas con una pauta de Ceftriaxona y Gentamicina intravenosas más otras dos semanas, post-caracterización del germen, con Ciprofloxacino3 v.o., consiguiendo la remisión de los síntomas y la normalización del ecocardiograma.
A. actinomycetemcomitans es un bacilo gramnegativo perteneciente al llamado grupo HACEK, grupo responsable del 5–10% de endocarditis sobre válvula nativa. La diseminación suele iniciarse en una manipulación dentaria, precisando para anclar en la válvula la presencia de una cardiopatía previa y afectando habitualmente a las válvulas aórticas nativas. La clínica es de un cuadro subagudo (fiebre discreta, anorexia…) que retrasa su diagnóstico, lo cual explica el gran tamaño de las verrugas ocasionadas y el riesgo embolígeno secundario1,4.
Las lesiones cutáneas clásicamente relacionadas con endocarditis infecciosa son petequias aisladas (secundarias a émbolo séptico y daño vascular), manchas de Roth (lesiones exudativo-edematosas en retina) y hemorragias en astilla (petequias en lecho ungueal), sin bien las más específicas son los nódulos de Osler y lesiones de Janeway. Los nódulos de Osler son de apariencia violácea o pálida, localización acral y dolorosos (por afectación de aparato glómico); su histología es de microabscesos con vasculitis y se han relacionado con agregados de inmunocomplejos. Las lesiones de Janeway son máculas purpúricas, más proximales, indoloras y con histología de absceso, que se corresponden con émbolos sépticos1,5. Es posible que ambas lesiones (Osler y Janeway) se produzcan por un mecanismo mixto, donde prima el componente bacteriano o inmune, y donde la cuantía del inóculo y el tamaño del inmunocomplejo generado determinan una afectación más distal (Osler) o proximal (Janeway). Estas lesiones pueden evolucionar a pústulas, pústulas purpúricas, abscesos o incluso lesiones de vasculitis-infarto cutáneo6.
Nuestro caso cumple los criterios de Duke para endocarditis infecciosa al aislarse un germen típico en dos hemocultivos espaciados, y presentar un ecocardiograma alterado (dos criterios mayores); además, presentaba fiebre, cardiopatía de base y fenómenos vasculares, como son las lesiones cutáneas, (3 criterios menores)1,7.
Como habitualmente ocurre en la endocarditis por A. actinomycetemcomitans, nuestro caso presentaba una cardiopatía previa (fiebre reumática), localización en válvula aórtica nativa y cuadro clínico subagudo; sin embargo, a diferencia de las formas típicas, el diagnóstico fue bastante precoz. Este hecho explica rasgos atípicos como el pequeño tamaño de la verruga y la ausencia de embolia a órganos internos. Las lesiones cutáneas observadas serían encuadrables en hemorragias en astilla, así como pústulas purpúricas-abscesos. Resulta curioso observar que estas últimas presentan un sustrato histológico clásicamente atribuido a las lesiones de Janeway (agregado masivo de polimorfonucleares y émbolos sépticos); pero tal y como se explicó anteriormente se originan en un mecanismo mixto séptico-autoinmune, debiendo considerar las más acrales un fenómeno evolutivo de nódulos de Osler, mientras que las lesiones más proximales en codos y nariz, con aspecto tumefacto, corresponderían con formas de evolución a un auténtico absceso (como demostró la histología); que por su naturaleza más proximal, indolora e inflamatoria se hallarían en el espectro más próximas a las lesiones de Janeway.
En conclusión, hemos presentado un paciente en el que las lesiones cutáneas condujeron a un diagnóstico precoz de endocarditis infecciosa por A. actinomycetemcomitans con criterios de Duke. Queremos resaltar que ante todo paciente cardiópata predispuesto debe mantenerse un alto nivel de sospecha de endocarditis infecciosa, especialmente si nos encontramos ante lesiones pustulosas acrales, a fin de poder efectuar un tratamiento temprano y evitar complicaciones sistémicas e intervenciones quirúrgicas.




