INTRODUCCIÓN
La pseudoporfiria es una enfermedad cutánea que presenta los signos clínicos e histológicos característicos de la porfiria cutánea tardía (PCT) pero a diferencia de ésta, cursa con niveles normales de porfirinas en sangre, orina y heces.
Se presenta el caso de una paciente con pseudoporfiria secundaria al tratamiento con diálisis.
DESCRIPCIÓN DEL CASO
Una paciente de 34 años de edad, con mosaicismo para el síndrome de Turner (45X0/XX), que presentaba insuficiencia renal crónica de 8 años de evolución secundaria a glomerulonefritis progresiva. Desde hacía 8 años estaba en tratamiento con bendrofluazida, atenolol, un compuesto combinado de carbonato cálcico y vitamina D3, eritropoyetina y vitaminas B y C. En los últimos 2 años había empezado tratamiento con hemodiálisis tres veces por semana y no existían antecedentes de enolismo ni de hepatopatía. La enferma acudió a consulta por lesiones ampollosas localizadas en dorso de manos y dedos que presentaba desde hacia 1 año y medio. El proceso cursaba en brotes sin resolverse por completo entre ellos y se acompañaba de importante dolor, sobre todo cuando las ampollas estaban a tensión. La enferma no relacionaba la aparición de éstas con ningún factor precipitan-te, incluida la exposición solar.
En la exploración se apreciaban vesículas de pequeño tamaño y contenido claro, junto con ampollas en fase de resolución que se extendían por el dorso de dedos y manos hasta llegar a la muñeca (fig. 1). A su vez se observaban numerosas máculas y manchas marronáceas de bordes moderadamente definidos y regulares correspondientes a zonas de ampollas previas. Algunas áreas presentaban cicatrices de superficie brillante y aspecto esclerodermiforme. No se apreciaron quistes de milium y otras zonas fotoexpuestas, en particular la cara, no presentaban afectación alguna. No se observó hipertricosis malar ni hiperpigmentación facial.
Los resultados de los estudios analíticos fueron los siguientes: hemoglobina: 9,6 g/dl; plaquetas: 77.000/l; creatinina: 655 mol/l, y urea: 6,6 mmol/l. El resto de parámetros eran normales o negativos, incluyendo anticuerpos antinucleares (ANA), y frente a proteínas extraíbles del núcleo (ENA), perfil hepático y tiroideo, concentraciones séricas de hierro y ferritina y serología de hepatitis B y C. Los niveles de porfirinas en sangre estaban dentro de los límites de normalidad y no se pudo realizar estudio de porfirinas en orina debido a que la enferma presentaba anuria desde hacía 2 años por la insuficiencia renal.
Fig. 1.—Dorso de manos y dedos con ampollas, vesículas y cicatrices esclerodermiformes.
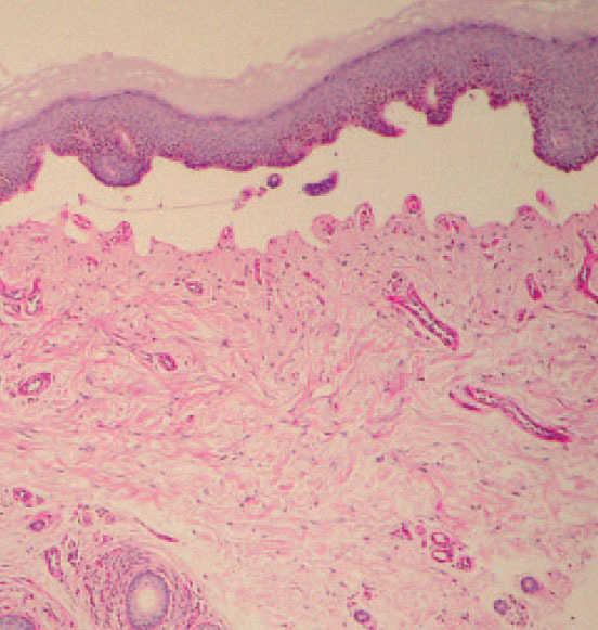
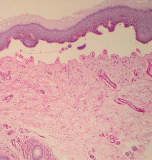
El estudio histológico con hematoxilina-eosina puso de manifiesto la presencia de una ampolla sub-epidérmica que contenía diminutos fragmentos de fibrina sin células inflamatorias (fig. 2). La dermis se hallaba edematosa con un leve infiltrado inflamatorio disperso de linfocitos. El estudio de inmunofluorescencia directa mostró el depósito granular de C3 y fibrinógeno en la pared de pequeños vasos, en cantidad mínima, junto al depósito de inmunoglobulina G (IgG) en la membrana basal.
Con los resultados de dichos estudios se confirmó la sospecha diagnóstica de pseudoporfiria inducida por hemodiálisis y se inició tratamiento con N-acetilcisteí-na a razón de 600 mg dos veces al día. A su vez se recomendó evitar la exposición solar y el uso de foto-protector de índice 60. Por desgracia, la paciente no ha acudido a las revisiones, por lo que no ha sido posible concretar la evolución del cuadro tras la instauración del tratamiento.
DISCUSIÓN
La pseudoporfiria es una enfermedad cutánea relativamente infrecuente que suele producirse en el contexto de una importante exposición solar1. La mayor parte de los casos descritos en la literatura especializada están relacionados con el uso de diferentes fármacos, en especial, los antiinflamatorios no esteroideos, derivados del ácido propiónico2 (ibuprofeno, ketoprofeno, oxaprozina, naproxeno y nabumetona), los antibióticos (ácido nalidíxico, tetraciclinas) y los diuréticos, en particular los sulfurados como la clortalidona, bumetanida y furosemida. Otros ejemplos de enfermedad inducida farmacológicamente corresponden a retinoides (isotretinoína y etretinato), 5-fluorouracilo, flutamida, anticonceptivos orales3, diclofenaco4 y vitamina B6 .
La insuficiencia renal crónica justifica la aparición de algunos casos de pseudoporfiria, aunque se producen con más frecuencia en el contexto de la diálisis. El proceso se ha descrito tanto en casos de diálisis peritoneal como de hemodiálisis; en esta última situación es más común. No está claro si los fármacos que suelen emplear estos enfermos tienen un papel relevante como precipitantes ya que, en muchos casos, tras suspenderlos, la pseudoporfiria no se resuelve. Se han apuntado diversos factores como los diuréticos, el hidróxido de aluminio, la hemosiderosis, las partículas siliconadas, el polivinilo empleado en los tubos de diálisis, la eritropoyetina y la susceptibilidad a los radicales libres de oxígeno. Este último factor es el que se tuvo en cuenta a la hora de proponer como tratamiento para estos casos, a la N-acetilcisteína, por su capacidad de aumentar los niveles de glutatión y reducir el efecto del estrés oxidativo5.
Fig. 2.—Ampolla subepidérmica con festoneado de las papilas dérmicas, edema dérmico y discreto infiltrado inflamatorio intersticial de linfocitos. (Hematoxilina-eosina, ×80.)
En nuestro caso, la enferma estaba en tratamiento con bendrofluazida, pero había estado 6 años y medio tomando el fármaco sin presentar lesiones cutáneas; éstas se manifestaron 6 meses después de iniciarse la hemodiálisis. Otros fármacos considerados potenciales responsables en el caso de nuestra paciente, como la vitamina B o el atenolol, se descartaron también por el largo tiempo de evolución entre su introducción y la aparición del proceso dermatológico.
Recientemente se han descrito varios casos con buena respuesta a N-acetilcisteína en dosis que oscilan entre 800 y 1.200 mg al día, repartidos en varias to-mas6,7. Se ha señalado que los enfermos con insuficiencia renal crónica en hemodiálisis podrían ser más vulnerables a la acción de los radicales libres de oxígeno debido a un defecto en los mecanismos antioxidantes, que se expresa con niveles disminuidos de glutatión en plasma y eritrocitos6. La N-acetilcisteína, al ser un precursor metabólico del glutatión, es capaz de reponer los niveles de éste.




