INTRODUCCIÓN
Las amiloidosis son un grupo de trastornos en los que se produce un depósito de material proteico fibrilar insoluble extracelular en varios tejidos y órganos. El término amiloidosis cutánea hace referencia a la localización en la piel de dichos depósitos. Existen varias formas clínicas de amiloidosis cutánea primaria entre las que destacan la amiloidosis macular, el liquen amiloide y la amiloidosis nodular. Se presenta un caso de amiloidosis nodular de localización inusual en el dorso de lengua.
DESCRIPCIÓN DEL CASO
Una mujer de 80 años, con antecedentes personales de hipertensión arterial y accidente cerebrovascular isquémico, fue remitida por su médico de familia para valoración de una lesión localizada de dorso lingual de más de 30 años de evolución, asintomática y de muy lento crecimiento. Esta lesión no había sido objeto de consulta previa por parte de la paciente debidoal curso indolente de la misma. No existían antecedentes familiares de enfermedades de interés.
En la exploración, se observó un tumor de 2 cm de diámetro, de bordes bien definidos, en línea media del dorso lingual, de coloración amarillenta y superficie lisa y brillante (fig. 1). Estaba ligeramente infiltrado a la palpación, y no se objetivaba macroglosia ni otras lesiones de interés en el interior de la cavidad oral. El resto de la exploración física se encontraba dentro de la normalidad. Se realizó una biopsia de la lesión que reveló una importante presencia de material amiloide en toda la submucosa como pudo demostrarse mediante tinciones de rojo Congo y tioflavina T (figs. 2 y 3). Asimismo se realizó una tinción para cadenas ligeras que resultó negativa. Con el diagnóstico de amiloidosis cutánea se realizaron pruebas complementarias, entre las que se incluyeron hemograma y bioquímica completos, radiografía de tórax, ecografía abdominal, ecocardiograma, médula ósea, determinación de anticuerpos antinucleares (ANA), 2-microglobulina, factor reumatoide y proteinograma, así como una biopsia de mucosa rectal. Todas estas pruebas se encontraban dentro del rango de la normalidad, y tan sólo se halló una insuficiencia mitral ligera en el ecocardiograma.
Fig. 1.—Tumor de localización lingual.
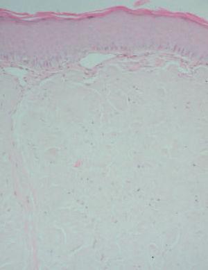
Fig. 2.—Depósitos de amiloide en todo el espesor de la dermis. (Hematoxilina-eosina, ×100.)
Se estableció de este modo el diagnóstico final de amiloidosis nodular cutánea primaria de localización lingual. La paciente rechazó cualquier tipo de opción terapéutica, si bien realiza revisiones periódicas en nuestra unidad de dermatología en las que no se han observado cambios significativos en su proceso.
DISCUSIÓN
Hasta 1985 existían recogidos en la literatura médica tan sólo 47 casos de amiloidosis nodular1 siendo excepcional la localización lingual2-6. Las lesiones suelen tener consistencia elástica, con diámetros de 1 a 3 cm; son de carácter asintomático y de color eritematoso, sonrosado o amarillento, y suelen manifestarse preferentemente en la región facial7-12. También existen casos descritos en cuero cabelludo13, tronco14,15, extremidades7, pene16 y vulva1. La amiloidosis nodular cutánea primaria localizada (ANCPL) se puede asociar de forma excepcional al síndrome de Sjögren, y existen menos de 10 casos descritos en la literatura especializada hasta 199717. El diagnóstico diferencial en el caso de localización lingual se debe establecer con xantomas, condilomas planos, sarcoidosis, quistes epidérmicos o con el tumor de Abrikossoff18.
Fig. 3.—Fluorescencia de los depósitos con tioflavina T (×100).
Histológicamente, se observan en la ANCPL densas acumulaciones de amiloide que ocupan todo el espesor de la dermis y que se pueden extender al tejido celular subcutáneo. La presencia en los infiltrados de células plasmáticas va a favor de que se trate de una forma localizada. Se ha demostrado monoclonalidad de células B mediante reordenamiento genético en pacientes con ANCPL sin evidencia de monoclonalidad en la médula ósea. Este hecho sugiere que la presencia de estos depósitos amiloides es debida a plasmocitomas cutáneos19. También se ha demostrado monoclonalidad en los infiltrados de células plasmáticas mediante reacción en cadena de la polimerasa (PCR) en casos de ANCPL7,12. Por lo tanto, mediante estudios inmunohistoquímicos1,10,12,13,20 y análisis genéticos, se puede sugerir que el amiloide de las ANCPL parece proceder de las cadenas ligeras de las inmunoglobulinas9. Existen, sin embargo, varios casos publicados de estudios inmunohistoquímicos positivos para 2-microglobulina2,18,21, 2-microglobulina más cadenas ligeras14,22 o proteína amiloide A (SAA)23. En algunos se ha comprobado que las tinciones inmunohistoquímicas resultan negativas16.
Se ha propuesto tratamiento de la ANCPL con escisión quirúrgica9, curetaje11, corticoides intralesionales24, crioterapia11, láser de dióxido de carbono25 o láser de colorante pulsado24. Sin embargo, no parece hoy en día existir un tratamiento efectivo para las ANCPL, y se han recogido elevados porcentajes de recurrencia tras las diferentes opciones terapéuticas en gran parte debido a la profundidad de los infiltrados amiloides.
Un aspecto importantísimo en las ANCPL es determinar qué casos evolucionarán hacia formas sistémicas y cuáles no. Nosotros proponemos subdividir las ANCPL en dos tipos: AL (amiloidosis asociada al mieloma) y no AL. De esta forma podemos establecer que las ANCPL tipo AL probablemente son procesos localizados de tipo monoclonal relacionados con plasmocitomas cutáneos que, en un porcentaje variable de casos, van desde el 5 % de algunas series hasta el 50 % de otras15,26, acaban convirtiéndose en formas de amiloidosis sistémica o enfermedades hematológicas cuyo principal exponente es el mieloma múltiple, aunque también pueden desarrollar macroglobulinemias de Waldenström o leucemias linfáticas crónicas. Queda por establecer cuál es la historia natural y el pronóstico de las ANCPL no AL, entre las que se incluirían los casos asociados a 2-microglobulina, SAA y aquellos en los que estudios inmunohistoquímicos son negativos, aunque en la búsqueda bibliográfica realizada, no existen casos descritos de malignidad ni de progresión a amiloidosis sistémica.





