El hidróxido de aluminio es una sustancia que se utiliza como adyuvante de las vacunas. Describimos el caso de una paciente que presenta una reacción adversa local y persistente a esta sustancia debido al tratamiento hiposensibilizante frente a los ácaros. Clínicamente se observan múltiples nódulos subcutáneos en ambos brazos, dolorosos, pruriginosos y con hipertricosis en el sitio de la inyección. El estudio histológico muestra una reacción pseudolinfomatosa de tipo B con predominio de células CD20 positivas, bcl-2 y t(14-18) negativos y una policlonalidad de los genes de cadenas pesadas de las inmunoglobulinas. El microanálisis de espectro de rayos X identificó depósitos inorgánicos de aluminio dentro de los histiocitos granulares entre los centros germinativos. Se establece el diagnóstico de pseudolinfoma B cutáneo por hidróxido de aluminio secundario a una inmunoterapia.
Aluminium hydroxide is used as an adjuvant in vaccines. We describe the case of a patient who presented a persistent adverse local reaction to aluminium hydroxide due to hyposensitization therapy to dust mites. Multiple painful and pruriginous subcutaneous nodules were observed in both arms, along with hypertrichosis at the injection site. Histology revealed a pseudolymphomatous B cell reaction predominantly involving cells that were CD20 positive, did not express bcl-2, and did not display the t(14-18) translocation. The cells also exhibited polyclonal rearrangement of the immunoglobulin heavy chains. X-ray spectral microanalysis revealed deposits of inorganic aluminium in the granular histiocytes among the germinal centers. The patient was diagnosed with cutaneous B-cell pseudolymphoma due to aluminium hydroxide as a result of immunotherapy.
El hidróxido de aluminio es un compuesto usado como adyuvante en distintos tipos de vacunas, aumenta la efectividad de las mismas y proporciona una mayor respuesta in munológica. Una de las reacciones adversas locales a esta sustancia es la aparición de unos nódulos subcutáneos localizados en el sitio de la inyección. Histológicamente se caracteriza por presentar varios patrones1, entre ellos el pseudolinfomatoso tipo B. Presentamos el caso de una paciente que desarrolla múltiples nódulos secundarios a un tratamiento hiposensibilizante en cuyo extracto hay esta sustancia.
Caso clínicoMujer de 29 años, con antecedentes personales de rinitis alérgica a ácaros que fue atendida en nuestra consulta por la aparición de múltiples nódulos dolorosos y pruriginosos, localizados en la parte superior de ambos brazos desde hacía un año y medio. La paciente refería haberse administrado unas vacunas para los ácaros durante dos años y aproximadamente al año de suspender este tratamiento empezó a notarse los nódulos en el sitio de la inyección, que fueron aumentando en tamaño y en número. La paciente no refería ningún tipo de sintomatología general acompañante.
En la exploración física se palpaban 10 nódulos en el brazo izquierdo y otros 7 en el brazo derecho. Eran dolorosos y confluían formando unas placas de un tamaño aproximado de 14 × 7 cm en el brazo izquierdo y de 10 × 4 cm en el brazo derecho. Además presentaba una hiperpigmentación e hipertricosis en la piel que cubría los nódulos (fig. 1).
Analíticamente el hemograma, la velocidad de sedimentación, la función renal, la función hepática, las proteínas totales, el proteinograma, la calcemia, la láctico deshidrogenasa (LDH), el ácido úrico y el frotis de sangre periférica fueron normales. Como único hallazgo analítico se observó una discreta elevación de la inmunoglobulina E.
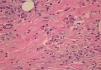
El resultado de la biopsia con hematoxilina-eosina de uno de los nódulos mostró la existencia en el tejido celular subcutáneo de un infiltrado inflamatorio, formado por unos folículos linfoides bien constituidos, con unos centros germinativos y una zona marginal compuesta por linfocitos reactivos con abundantes mitosis. Estos folículos se encontraban separados por zonas de esclerosis y un infiltrado mixto formado por linfocitos, eosinófilos e histiocitos (fig. 2). A mayor detalle los histiocitos mostraban un citoplasma amplio y granular debido a la existencia de un material de inclusión birrefringente a la luz polarizada (fig. 3). No se detectaron células plasmáticas, no había afectación perivascular ni perianexial, ni tampoco focos de necrosis. La epidermis, la dermis superficial y la dermis media eran normales.
Inmunohistoquímicamente se demostró una proliferación linfoide predominantemente constituida por células de tipo B (CD 20 +). La oncoproteína bcl-2 fue negativa, y no había traslocación t(14-18). El CD10 y bcl-6 fueron positivos en el centro germinal. Los estudios de biología molecular mostraron un reordenamiento policlonal de los genes de las cadenas pesadas de las inmunoglobulinas. Se establece el diagnóstico de pseudolinfoma tipo B.
El microanálisis de espectro de rayos X (EDX) del lisado tisular permitió identificar en la muestra un pico de absorción característico de sales de aluminio (figs. 4 y 5).
Las pruebas epicutáneas fueron negativas para el True test®, así como para el extracto de Dermatophagoides pteronyssinus, Dermatophagoides farine y el diluyente de las vacunas que contenía 0,82 mg/ml de hidróxido de aluminio. También se parcheó el hidróxido de aluminio al 2 y al 33 %, aluminio y cloruro de aluminio, encontrándose tan sólo una discreta positividad (+) al cloruro de aluminio.
El tratamiento instaurado con corticoides tópicos y antihistamínicos orales resultó ineficaz, requiriéndose infiltraciones intralesionales con acetónido de triamcinolona a una concentración de 10 mg/ml/mensuales, que consiguieron reducir significativamente las molestias locales y el tamaño de las lesiones tras un período de tres meses.
DiscusiónLos compuestos de aluminio están ampliamente utilizados como parte de nuestra higiene corporal, figuran en la composición de muchos desodorantes, dentífricos blanqueadores y algunos antisépticos locales. Se emplean como adyuvantes de algunas vacunas como en la de la hepatitis2, en la vacuna anti difteria, tétanos y poliomielitis (DTP)3, en los tratamientos de desensibilización inmune específica4, frente a los ácaros o la picadura de avispa5 y también está en fase de ensayo en la vacuna de la gripe aviar6.
Los efectos secundarios sistémicos graves al hidróxido de aluminio, como la miofascitis macrofágica7, son escasos. Las reacciones adversas locales son más frecuentes; la clínica varía desde un eritema hasta la formación de unos nódulos subcutáneos. Cuando aparecen poco después de la inyección son autoinvolutivos, mientras que si se inician pasados meses o años tras suspender la terapia, los nódulos suelen ser persistentes durante largos períodos, incluso años8. La idiosincrasia de cada individuo y la posibilidad de una mala técnica de aplicación del tratamiento son factores a considerar. Se desconoce el mecanismo por el cual los depósitos de sales de aluminio incluidos en el compuesto vacunal inducirían, bien por un mecanismo tóxico o por uno de hipersensibilidad, la persistencia de la reacción vacunal.
Los corticoides tópicos aplicados con anterioridad, el rascado repetitivo de la zona o simplemente la misma inflamación justificarían la hipertricosis asociada a estos procesos8.
Los resultados de las pruebas epicutáneas al aluminio en pacientes previamente sensibilizados han sido referidos en la literatura con resultados contradictorios9. La paciente sólo obtuvo una prueba débilmente positiva al cloruro de aluminio.
Los pseudolinfomas B cutáneos son entidades benignas que precisan un buen diagnóstico diferencial con los linfomas B primarios de la piel, como el linfoma centrofolicular cutáneo (LCF) y el linfoma de la zona marginal (LZM)10. El estudio histopatológico, la inmunohistoquímica y la biología molecular son obligatorios.
El patrón más habitual de reacciones vacunales por sales de aluminio es el de una paniculitis lobular, seguido del patrón granulomatoso por cuerpo extraño o a tipo nódulo reumatoide-granuloma anular profundo. También puede aparecer un patrón pseudolinfomatoso B similar al descrito por nosotros. En todos ellos las claves diagnósticas se encuentran en la presencia de los eosinófilos en el infiltrado inflamatorio y de los histiocitos de citoplasma amplio y granular11.
La identificación del aluminio en los tejidos se realizaba antiguamente con la tinción de Irwin-Azan12, que se consideraba positiva si aparecían unos depósitos de color rosa pálido en el interior de los histiocitos. Esta técnica ha quedado desplazada por la microscopía electrónica y el EDX13,14; nosotros utilizamos este método para demostrar la presencia de depósitos inorgánicos de aluminio en el citoplasma de los histiocitos granulares presentes entre los centros germinativos.
Existe la posibilidad de transformación de un pseudolinfoma tipo B a un verdadero linfoma cutáneo B15, también pueden desarrollar lesiones a distancia de la zona de inyección de las vacunas, por eso es necesario hacer un seguimiento muy estrecho de estos enfermos.
El tratamiento de las reacciones persistentes a vacunas con aluminio es desalentador, generalmente los antihistamínicos y corticoides tópicos son poco eficaces. Los corticoides intralesionales inducen remisiones temporales de las lesiones, que suelen recidivar con el tiempo. La exéresis completa de todos los nódulos no se planteó por las secuelas estéticas que esto implicaría. La utilización de terapia fotodinámica con 5 amino levulínico16 es reciente y tiene resultados esperanzadores. Descartamos la aplicación de esta técnica en nuestra paciente porque los folículos linfoides estaban más profundos, y optamos por la administración intralesional corticoidea.
En conclusión debemos destacar la posibilidad de reacciones persistentes secundarias a vacunas. Es conveniente la realización de una biopsia cutánea para caracterizar el tipo de patrón histológico que produce, hacer un estudio inmunohistoquímico y estudios de biología molecular. Presentamos un caso de pseudolinfoma B por hidróxido de aluminio secundario a tratamientos hiposensibilizantes frente a los ácaros.
Conflicto de intereses
Declaramos no tener ningún conflicto de intereses.







