INTRODUCCION
Los dermatólogos japoneses Nagashima, Ohshiro y Shimizu describieron en 1971 una serie de 8 pacientes con una peculiar dermatosis muy pruriginosa que evolucionaba hacia una intensa pigmentación reticulada 1. En 1978, ya en lengua inglesa, Nagashima resumió los hallazgos de 14 pacientes y propuso la actual denominación de prurigo pigmentoso 2. Desde entonces, se han descrito más de 200 pacientes japoneses con esta enfermedad, si bien sólo se han comunicado unos 30 casos de pacientes de origen no japonés 3. El prurigo pigmentoso sigue siendo una enfermedad poco conocida en el mundo occidental.
A continuación se describe un ejemplo característico de prurigo pigmentoso en una mujer española.
DESCRIPCION DEL CASO
Una mujer de 32 años consultó por una erupción localizada en el tronco, de unos 6 meses de evolución, muy pruriginosa y sin respuesta a previos tratamientos con mometasona tópica, deflazacort y prednisona oral. La paciente no presentaba ningún antecedente personal patológico y no recibía medicación alguna salvo anticonceptivos orales. La exploración reveló una extensa dermatosis constituida por pequeñas pápulas eritematosas con una peculiar distribución por el centro de la espalda hasta la zona lumbar (fig. 1). Algunos elementos llegaban a ser vesiculosos. En unos días, las lesiones se hicieron erosivas y costrosas (fig. 2). La paciente describía episodios recurrentes de nuevas lesiones. Refería además que, al trabajar en servicios de limpieza, sudaba mucho y esto parecía corresponderse con un rebrote de la enfermedad.
Fig. 1.--Lesiones inflamatorias papulosas en espalda.
Fig. 2.--Aspecto erosivo y reticulado en zona dorsal.
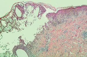
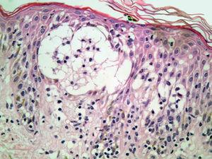
Un estudio analítico sistemático que incluía anticuerpos antinucleares (ANA) y anticuerpos contra la transglutaminasa tisular resultó normal o negativo. Se realizaron dos biopsias. En una de ellas se podía apreciar una ampolla intraepidérmica por espongiosis masiva (fig. 3) y la presencia, en su techo, de microabscesos de neutrófilos. En la otra, el hallazgo más destacable era la presencia de vesículas espongióticas por intensa exocitosis epidérmica de neutrófilos (fig. 4), con focos de daño vacuolar y necrosis de queratinocitos aislados.
Fig. 3.--Vesícula intraepidérmica por espongiosis masiva. (Hematoxilina-eosina, x20.)
Fig. 4.--Vesículas espongióticas con neutrófilos. (Hematoxilina-eosina, x100.)
Con el diagnóstico de prurigo pigmentoso se inició tratamiento con sulfona 100 mg/día por vía oral. A las 3 semanas del inicio del tratamiento, el prurito había desaparecido y la dermatosis había involucionado de manera completa hacia una pigmentación residual de aspecto reticulado (fig. 5). Se mantuvo la sulfona hasta completar 6 meses de tratamiento, tras lo cual se suspendió sin ulterior recurrencia de la enfermedad. A los 9 meses de la curación de las lesiones inflamatorias aún persiste la hiperpigmentación.
Fig. 5.--Hiperpigmentación residual lumbar.
DISCUSION
El prurigo pigmentoso es una dermatosis que predomina en mujeres adultas jóvenes; también se ha descrito en varones y en un rango amplio de edades, si bien nunca se ha referido en ancianos o en edad prepuberal. Consiste en una erupción recurrente, muy pruriginosa, con una peculiar y definitoria secuencia cronológica en sus manifestaciones clínicas 4-10. Se caracteriza inicialmente por unas pápulas eritematosas de aspecto urticariforme distribuidas de manera simétrica con localización preferente en el tronco. De manera ocasional se desarrollan francas vesículas o ampollas. Las pequeñas lesiones individuales confluyen rápidamente entre sí, determinando figuras de contornos angulados, festoneados y reticulados. En el plazo de unos días evolucionan hacia un aspecto eczematoso, se asocian con descamación, costras y otros signos de excoriación y, finalmente, se resuelven dejando una característica pigmentación moteada y reticulada. Toda la evolución de una lesión individual se completa en días (en torno a 1 semana) pero, dado el carácter recurrente de la enfermedad, su curso total con exacerbaciones y remisiones se prolonga durante meses o años. Como resultado de sucesivas recurrencias, es posible encontrar simultáneamente lesiones en diferentes estadios de desarrollo. Los intervalos entre las recurrencias pueden ser de semanas, meses o, incluso, de años. La pigmentación persiste durante meses. No se afectan las mucosas. El estado general no resulta afectado y no se han descrito anomalías analíticas excepto escaso ejemplos con leve eosinofilia en sangre periférica 11.
Además de las características clínicas de las lesiones resulta muy peculiar su distribución. Se localizan de una manera simétrica con una manifiesta preferencia por el centro del tronco: centro de la espalda, cara posterior del cuello, zona media del tórax y región lumbosacra. Ocasionalmente se ha referido también afectación de extremidades y cara 12. En el centro de la espalda no es infrecuente encontrar una inconfundible distribución de la erupción, configurando una cuña de vértice inferior y también la imagen en negativo de esta distribución cuando se afecta la parte más baja de la espalda 11. No es raro observar áreas aisladas de piel sana en el seno de zonas afectadas. El diagnóstico diferencial clínico se recoge en la tabla 1.
Desde el punto de vista histopatológico, los trabajos iniciales 13-17 describían el prurigo pigmentoso únicamente como un ejemplo más de dermatosis liquenoide con cierta espongiosis asociada. Incluso Nagashima 2 consideraba los hallazgos patológicos como inespecíficos para el diagnóstico. En años recientes, sin embargo, se ha renovado la actualidad del prurigo pigmentoso a partir de una serie de trabajos de Böer y Ackerman que, tras definir la secuencia de hallazgos característicos de la enfermedad, consideran se deben contemplar como específicos para ella 18. Merece especial mención una publicación 11 en la cual se analiza una serie propia de 25 nuevos pacientes y se revisan los datos clinicopatológicos de otros 182 pacientes recogidos en la literatura médica.
Resulta importante entender que los hallazgos histopatológicos reflejan el mismo dinamismo que, en sólo días, es posible observar en las lesiones clínicas. En un estadio precoz (pápulas urticadas) se observa un infiltrado perivascular superficial de neutrófilos, polvo nuclear, edema de la dermis papilar y una incipiente espongiosis neutrofílica hacia la epidermis. En el estadio de desarrollo (papulovesículas y costras) aparecen francas vesículas espongióticas, microabscesos de neutrófilos, necrosis de queratinocitos, un infiltrado linfocitario de disposición liquenoide, células disqueratósicas, cierto número de eosinófilos en dermis y epidermis y la posibilidad de ampollas tanto intraepidérmicas (por espongiosis) como subepidérmicas (por daño vacuolar basal). En el estadio final (mácula pigmentada) se aprecia hiperpigmentación epidérmica, infiltrados linfoides perivasculares e incontinencia de pigmento (melanófagos en dermis). La inmunofluorescencia directa es negativa. El diagnóstico diferencial histopatológico se recoge en la tabla 2.
La etiopatogenia del prurigo pigmentoso es desconocida. Nagashima sugirió la posible influencia de un factor ambiental específico del Japón. Entre la variedad de otras hipótesis que, de manera anecdótica, se han propuesto, se incluye la interpretación como una forma de dermatitis de contacto pigmentada a blanqueadores textiles 19, una forma de reacción a noxas exógenas (sudoración, fricción de la ropa, agujas de acupuntura) 20, la relación con infecciones 21, con la ingesta de algunas medicaciones 22 o con la exposición a la luz solar, dado que su aparición es más frecuente en primavera y verano. En un número no desdeñable de trabajos se recoge la posibilidad de que el prurigo pigmentoso esté relacionado con problemas de nutrición, más en concreto con todas aquellas situaciones que puedan inducir cetonemia 23,24 como la diabetes mellitus 25-28, la anorexia nerviosa 29, dietas u otras situaciones de pérdida de peso. Sin embargo, en contra de esta hipótesis, la mayoría de los pacientes con prurigo pigmentoso no tienen cetosis. Aunque parece haber una aparente predisposición étnica en los asiáticos, tal vez se trate, únicamente, de un mayor reconocimiento o quizá que, dada la mayor tendencia de los orientales hacia la hiperpigmentación residual postinflamatoria, lo notorio de esta manifestación final resulte una ayuda para el diagnóstico correcto de la dermatosis.
Los tratamientos que la literatura médica al respecto recoge como más eficaces son la dapsona (25-100 mg/día) y la minociclina (100-200 mg/día), utilizadas durante varias semanas 11,30-32. Ambas medicaciones abortan eficazmente la erupción e interrumpen el prurito, pero no evitan la pigmentación reticulada final. También se han utilizado con éxito doxiciclina, yoduro potásico y antibióticos macrólidos 11,33. El aparente mecanismo de acción común para todos estos fármacos sería su capacidad para inhibir la migración y/o función de los neutrófilos 34. Los antihistamínicos y los corticoides tópicos y sistémicos no aportan beneficio terapéutico alguno 35. Sólo algunos pacientes se han recuperado en ausencia de tratamiento 11.









