La esclerosis tuberosa (ET) es un síndrome neurocutáneo de herencia autosómica dominante y elevada penetrancia que se caracteriza por la aparición de lesiones hamartomatosas en múltiples órganos1. Las manifestaciones clínicas más habituales de esta enfermedad incluyen lesiones cutáneas, epilepsia, dificultades en el aprendizaje2 y trastornos del comportamiento.
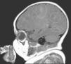
Presentamos el caso de una lactante de 51 días de edad nacida a término con gestación y parto sin incidencias, de padres sanos no consanguíneos que acudió a la unidad de urgencias de pediatría por crisis convulsivas continuas desde hacía tres días. A la exploración física destacaba la presencia de máculas hipopigmentadas ovales y lanceoladas de 3–11mm de diámetro en miembros y tronco (fig. 1). Llamaba la atención la presencia de poliosis en la mitad interna del párpado superior izquierdo y otra mácula hipopigmentada en el canto interno del ojo (fig. 2), que estaban presentes en el momento del nacimiento. Con la sospecha clínica de esclerosis tuberosa, se le practicó una RMN cerebral que mostró múltiples tuberomas corticales (fig. 3), y un electroencefalograma, en el que se detectaron focos irritativos. El resto de pruebas diagnósticas, incluido en el fondo de ojo, fueron normales. Se inició tratamiento con ácido valproico y vigabatrina, con buena tolerancia y control de los síntomas. El estudio de los padres fue negativo.
El diagnóstico de ET se basa en criterios mayores y menores, muchos de los cuales son manifestaciones cutáneas.
La manifestación cutánea más temprana de la esclerosis tuberosa son las manchas lanceoladas hipopigmentadas, presentes en un 90% de los lactantes menores de dos años3. Esta disminución del pigmento es secundaria a una disminución del tamaño y número de los melanosomas1,3. Generalmente son múltiples, de bordes irregulares y forma lanceolada, de 1 a 3cm, distribuyéndose en tronco y extremidades1. Puede haber afectación de áreas de pelo terminal dando lugar a poliosis, como el caso presentado. Otro tipo de máculas hipopigmentadas que se asocian a la esclerosis tuberosa son las lesiones en confeti, de 1 a 3mm, distribuidas simétricamente sobre las extremidades, aunque estas suelen aparecer en la segunda década de la vida3. El resto de manifestaciones cutáneas de la enfermedad son de aparición más tardía. Los angiofibromas faciales y las placas en piel de zapa o placas chagrín en la región sacra aparecen en la infancia temprana (2–5 años)3, los fibromas periungueales, se presentan en la adolescencia1,3, y las placas fibrosas frontales suelen aparecer en la infancia temprana, aunque pueden verse en cualquier edad3.
Las manifestaciones clínicas no cutáneas de la esclerosis tuberosa, que determinan la morbilidad y mortalidad, son secundarias a la aparición de hamartomas en los distintos órganos1,2. De ellas, las más importantes son las neurológicas —el 85% de los pacientes presentan su primer episodio de epilepsia en los dos primeros años de vida3, como nuestra paciente—, las cardiacas y las renales. Pese a que en estas dos últimas localizaciones la aparición de tumores (rabdomiomas y angiomiolipomas, respectivamente) puede desembocar en muerte prematura, estudios recientes muestran una regresión de los mismos en la infancia o adolescencia temprana2. Otras localizaciones de estas lesiones hamartomatosas son en forma de pólipos en el colon y facomas en la retina2,3.
El enfoque multidisciplinario es por tanto de gran importancia para valorar a los pacientes afectos de esta genodermatosis1,3. La detección precoz de la esclerosis tuberosa es fundamental para la instauración de un tratamiento adecuado y el consejo genético4. En este sentido, las manchas en hoja de fresno pueden ser muy útiles ya que están presentes en la práctica totalidad de los pacientes. Este signo aparece en el momento del nacimiento en dos tercios de los casos, aunque no siempre es fácil de detectar a esta edad, especialmente en los niños de piel muy clara. Nosotros aportamos un caso donde se asocian las típicas máculas hipopigmentadas en hoja de fresno junto a poliosis, signo poco reflejado hasta el momento en la literatura. Otras entidades caracterizadas por la despigmentación del pelo y la piel deben ser consideradas en el diagnóstico diferencial. Entre ellas destacamos el piebaldismo, enfermedad de herencia autosómica dominante que se presenta al nacimiento y cuya manifestación clínica principal son áreas de leucodermia de distribución característica junto a poliosis; el síndrome de Waardenburg, enfermedad hereditaria que además de las manchas acrómicas presenta alteraciones oculares y fenotípicas características, y otras enfermedades como el albinismo y las englobadas dentro del síndrome del mechón blanco5.
Como conclusión, creemos que la poliosis en la ET es un signo más frecuente de lo que está recogido hasta ahora en la bibliografía, pues tan solo aparece citado en uno de los artículos revisados. Además, se debe considerar que puede ser el primer signo de esta enfermedad4.





