El eritema elevatum diutinum (EED) y el granuloma facial (GF) son dos entidades infrecuentes. Clínicamente, el EED se caracteriza por placas o nódulos múltiples distribuidos típicamente en zonas de extensión1,2, mientras que el GF suele ser una lesión única en región facial3. No obstante, en ocasiones es difícil su diagnóstico diferencial debido al solapamiento clinicopatológico4.
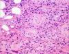
Presentamos un paciente varón de 57 años que acudió a nuestro servicio por la aparición hacía al menos 15 años de una placa pardusca asintomática de consistencia blanda en cara anterior del muslo izquierdo que lenta y progresivamente había aumentado de tamaño, adquiriendo una consistencia más dura y una coloración más oscura (fig. 1). Años más tarde, habían aparecido otras tres lesiones tipo placa de aspecto atrófico, de color marrón, en la región posterior de pierna derecha, en el muslo izquierdo y en la cresta ilíaca izquierda, que le recordaban en su inicio a la primera de las lesiones. No se acompañaban de sintomatología sistémica. La biopsia de la lesión nodular (figs. 2 y 3) mostraba fibrosis e infiltrados perivasculares intersticiales con linfocitos, células plasmáticas y neutrófilos con cariorrexis y proliferación vascular con trombos de fibrina intraluminales. Las pruebas analíticas mostraban IgA 384 (100–300) y IgM 78,9 (80–250), además de ferritina 402 (30–400), dato por el que se le había realizado un estudio para descartar hemocromatosis. El proteinograma y el resto de valores analíticos junto al electrocardiograma y la radiografía de tórax fueron normales. Las serologías de virus hepatotropos y de VIH fueron negativas. De acuerdo con el paciente, no se realizó tratamiento.
La cronicidad en la clínica de nuestro paciente junto con la histopatología descrita sugiere que se trata de lo que Carlson y LeBoit4 describieron como una vasculitis fibrosante crónica, patrón que puede encontrarse en entidades como el EED o un GF.
La clínica clásica de EED consiste en pápulas/nódulos parduscos múltiples distribuidos de manera simétrica en superficies de extensión de miembros. En escasas ocasiones, se han descrito en la literatura casos con morfología y localizaciones atípicas5. Se ha asociado con diversas enfermedades sistémicas sobre todo hematológicas, de las cuales la más frecuente es la paraproteinemia IgA1,2. En la mayor parte de los pacientes no se encuentra esta gammapatía como tal, sino niveles elevados de IgA1, al igual que ocurre en nuestro caso. Por el contrario, el GF se caracteriza por un nódulo solitario en región facial, aunque en ocasiones se acompaña de lesiones extrafaciales que, aunque de manera excepcional, pueden ser la única manifestación clínica6,7, en cuyo caso, la distribución suele ser asimétrica.
En relación a la histología, el EED se caracteriza en las lesiones iniciales por una vasculistis leucocitoclástica y un infiltrado rico en neutrófilos, que va disminuyendo en las lesiones más crónicas para dar lugar a una fibrosis dérmica y proliferación capilar4. En el GF y extrafacial, predomina un infiltrado con abundantes eosinófilos que respeta la región superior de la dermis. También puede observarse vasculitis y en las lesiones más evolucionadas, fibrosis3,4.
Para concluir, ambos procesos se caracterizan por una vasculitis leucocitoclástica en las fases iniciales y fibrosis perivascular, con o sin persistencia de la vasculitis, en las fases más tardías. Con nuestro paciente, exponemos la dificultad para el diagnóstico de casos de vasculitis leucocitoclástica crónica fibrosante que clínicamente no corresponden con las formas más típicas de estas dos dermatosis. Apoyándonos en la hipótesis que defienden algunos autores7, creemos que el EED y el GF con afectación extrafacial, junto con otras entidades como la vasculitis fibrosante crónica localizada, pertenecen al mismo espectro de enfermedad. Si bien, a pesar de un posible solapamiento histológico, la forma clínica clásica de GF podría considerarse una entidad definida e independiente del EED.





