HISTORIA CLINICA
Una niña de 12 años de edad con antecedentes patológicos de asma bronquial extrínseca, actualmente estable, y sin antecedentes personales ni familiares de enfermedades cutáneas, acudió a consulta porque desde los 9 meses de edad habían ido apareciendo, de forma progresiva, unas lesiones cutáneas asintomáticas que se habían iniciado en el lado derecho del abdomen y que se habían extendido al cuello, la espalda y las extremidades superiores. En la anamnesis por aparatos no se encontró ningún síntoma acompañante y el desarrollo pondoestatural fue el adecuado para su edad y sexo.
EXPLORACION FISICA
A la exploración física se observaban escasas lesiones en forma de placas de varios centímetros de diámetro, no sobreelevadas, de superficie áspera, coloración pardusca y de bordes nítidos e irregulares. Dichas lesiones se hallaban distribuidas en banda y situadas en el lado derecho del abdomen (fig. 1), la región anterior del cuello (fig. 2), la región dorsal derecha y las dos extremidades superiores. No se hallaron otras lesiones acompañantes ni en el resto del tegumento cutáneo ni en los anejos y la exploración física general fue estrictamente normal.
Fig. 1.--Placas hiperpigmentadas e hiperqueratósicas en abdomen.
Fig. 2.--Lesiones de similares características, localizadas en el cuello.
EXAMENES COMPLEMENTARIOS
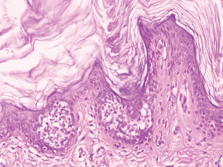
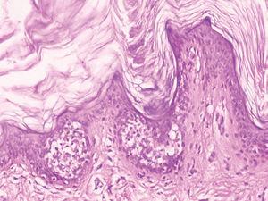
Las exploraciones complementarias realizadas incluyeron una biopsia «en sacabocados» de una zona de piel afectada (figs. 3 y 4) y una analítica general. La analítica general, en la que se incluyeron un hemograma y una bioquímica básica, no mostró alteración alguna.
Fig. 3.--Hiperqueratosis, epidermolisis suprabasal y formación de ampollas intraepidérmicas.
Fig. 4.--Detalle histológico.
DIAGNOSTICO
Nevo epidérmico epidermolítico generalizado.
ANATOMIA PATOLOGICA
En el examen histopatológico de la muestra cutánea se observó una marcada hiperqueratosis, vacuolización suprabasal y formación de vesículas intraepidérmicas, es decir, un patrón de hiperqueratosis epidermolítica (figs. 3 y 4).
COMENTARIO
El nevo epidérmico epidermolítico (NEE) se presenta en forma de una o varias lesiones clínicamente compatibles con un nevo epidérmico, en las que además se demuestra un patrón típico de hiperqueratosis epidermolítica en el estudio histopatológico.
En la actualidad es sabido que las alteraciones características de la hiperqueratosis epidermolítica aparecen como consecuencia de mutaciones en los genes que codifican las queratinas 1 (K1) o 10 (K10), responsables del mantenimiento de la integridad estructural de los queratinocitos situados en las capas suprabasales de la epidermis 1,2.
Existen multitud de enfermedades que pueden exhibir un patrón histopatológico de hiperqueratosis epidermolítica. Entre ellas se encuentra la eritrodermia ictiosiforme congénita ampollosa (EICA) y el NEE. En la literatura médica existen varias familias descritas en las que algunos descendientes de padres afectados de un NEE han desarrollado una EICA 3,4. Es por ello que se considera que el NEE sería un mosaicismo cutáneo, desarrollado como consecuencia de una mutación poszigótica ocurrida durante la embriogénesis de los genes que codifican las K1 o K10 5.
Desde el punto de vista clínico, los nevos epidérmicos y, por tanto, también los NEE, se manifiestan en forma de placas hiperpigmentadas e hiperqueratósicas lineales o en banda que, casi siempre se distribuyen siguiendo las líneas de Blaschko, y que suelen estar presentes al nacer o durante los primeros meses de vida. Antes de la pubertad las lesiones suelen ser muy poco sobreelevadas y algo rugosas al tacto, pero posteriormente la hiperqueratosis se hace más intensa 6. Estas lesiones pueden ser únicas o múltiples y casi siempre son asintomáticas.
Para algunos autores el nevo epidérmico y el NEE deberían considerarse enfermedades separadas, de forma que este último sería un mosaicismo de la EICA y no un verdadero nevo epidérmico. A este respecto, aunque el nevo epidérmico puede asociarse a anomalías sistémicas, existe controversia en cuanto a la posibilidad de asociación de un NEE con otras alteraciones 7,8.
Como se ha comentado antes, para establecer el diagnóstico de un NEE, además de disponer de lesiones cutáneas clínicamente compatibles, es necesario realizar una biopsia cutánea para estudio histopatológico y demostrar en ella la presencia de una hiperqueratosis epidermolítica. Esta última se define como aquel patrón histológico en el que se encuentra una hiperqueratosis compacta, junto con degeneración granular y vacuolar de las capas espinosa y granulosa de la epidermis 7.
La repercusión estética de los nevos epidérmicos es el factor que suele determinar la opción terapéutica que se debe seguir. La exéresis quirúrgica es el tratamiento más eficaz cuando la lesión se halla localizada y en una localización accesible. Otras modalidades terapéuticas incluyen el láser, la crioterapia, la electrofulguración, la dermoabrasión, la exfoliación química y algunos tratamientos tópicos con podofilino, ácido retinoico y a -hidroxiácidos, entre otros 9. A excepción de la escisión quirúrgica, el resto de los tratamientos no suele dar buenos resultados porque sólo actúan sobre el componente superficial del nevo, de manera que las recurrencias son frecuentes. En los casos de nevos epidérmicos muy extensos, los retinoides sistémicos pueden producir una respuesta parcial y temporal 9.
En el caso de los NEE, el tratamiento no difiere del que se ha comentado para los nevos epidérmicos en general. No obstante, dado que los hijos de padres afectados de un NEE pueden desarrollar una EICA, se recomienda realizar una biopsia cutánea a los individuos que presentan lesiones cutáneas compatibles con un nevo epidérmico, en especial cuando son generalizadas, y descartar así la existencia de una HE. En el caso de confirmarse la presencia de esta última, se debería aportar consejo genético al individuo portador a la hora de tener descendencia. El riesgo de transmitir una EICA cuando uno de los progenitores se halla afectado de esta enfermedad es del 50 %. En cambio, el riesgo puede variar del 0-50 % en los hijos de padres afectados de un NEE. De este modo, el riesgo será del 50 % si todas las células germinales del progenitor son portadoras de la mutación y del 0 % si ninguna de ellas se halla afectada 7.






