Sr. Director:
El liquen estriado es una dermatosis inflamatoria lineal adquirida que suele observarse en niños y sólo excepcionalmente en adultos. Clínicamente se caracteriza por pápulas dispuestas en bandas que siguen las líneas de Blaschko y habitualmente se localizan en una extremidad. También se han descrito casos en el tronco o en el área facial, así como formas múltiples unilaterales o bilaterales 1,2.
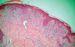
Un varón de 36 años de edad, con antecedentes personales de apendicectomía y tuberculosis ganglionar, consultó por lesiones poco pruriginosas, de 2 semanas de evolución, limitadas al lado izquierdo del tronco. No refería historia personal ni familiar de dermatitis atópica, psoriasis u otra dermatosis previa similar. En la exploración se apreciaron varias bandas de lesiones maculopapulosas, eritematosas, que adoptaban una morfología en «S» itálica siguiendo las líneas de Blaschko, localizadas en la región abdominal izquierda, el costado izquierdo y el brazo izquierdo, que se interrumpían de forma brusca en la línea media (fig. 1). Se realizó una biopsia, cuyo estudio histopatológico puso de manifiesto una epidermis con una discreta acantosis, papilomatosis y pequeños focos de paraqueratosis; en algunas zonas se apreció espongiosis y degeneración hidrópica de la capa basal. En la dermis se observó un infiltrado fundamentalmente linfohistiocitario que se disponía en pequeños parches que afectaban la dermis papilar, alrededor de los folículos, y más profundamente de forma perivascular (fig. 2).
Fig. 1.--Lesiones papulosas siguiendo las líneas de Blaschko en costado izquierdo.
Fig. 2.--Infiltrado inflamatorio dispuesto de manera parcheada y perivascular en la dermis. (Hematoxilina-eosina, x10.)
Se emplean términos como»dermatitis de Blaschko autolimitada, recidivante y adquirida», «la blaschkitis del adulto» o «la dermatitis blaschkoide adquirida» para describir una erupción similar al liquen estriado que ocurre en adultos 3-8. Esta dermatosis se caracteriza por la afectación del tronco por papulovesículas dispuestas en múltiples líneas y una histopatología con predominio de dermatitis espongiótica 9. Por el contrario, el liquen estriado suele presentarse en niños con lesiones papulosas dispuestas en una banda lineal única, localizada en las extremidades y con cambios histopatológicos liquenoides 10.
En la actualidad existen menos de 25 casos descritos de liquen estriado en el adulto y de blaschkitis del adulto. Todos ellos presentan grandes semejanzas tanto clínicas como histopatológicas, lo que ha llevado a algunos autores a unificar estas dos entidades bajo el término «erupción inflamatoria cutánea adquirida sobre las líneas de Blachko» (BLAISE) 11,12, y a otros, entre los que nos incluimos, a considerar a la blaschkitis del adulto dentro del liquen estriado 13-15.




