HISTORIA CLÍNICA
Un varón de 81 años sin antecedentes personales ni familiares de interés consultó por presentar varias lesiones pruriginosas de crecimiento lento y progresivo en cuello, pabellón auricular izquierdo y espalda, de 40 años de evolución. El paciente refería tos seca de años de evolución, sin fiebre ni sintomatología sistémica asociada.
EXPLORACIÓN FÍSICA
A la exploración cutánea se observaron varias placas eritematosas parduzcas de bordes irregulares, con descamación superficial y centro atrófico localizadas en el cuello (fig. 1) y la espalda (fig. 2). El lóbulo auricular izquierdo estaba infiltrado y ulcerado (fig. 3). No se palpaban adenopatías.
Fig. 1.—Placas eritematosas parduzcas de bordes irregulares y centro atrófico.
Fig. 2.—Placa parduzca con lesiones satélite.
Fig. 3.—Placa infiltrada y ulcerada en el lóbulo auricular.
PRUEBAS COMPLEMENTARIAS
Se realizaron una biopsia cutánea (fig. 4) y cultivos microbiológicos.
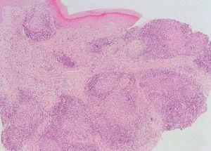
Fig. 4.—Detalle histológico de las lesiones.
DIAGNÓSTICO
Lupus vulgar (tuberculosis cutánea).
HISTOPATOLOGÍA
El estudio histopatológico mostró una epidermis normal. Bajo esta se observaron granulomas de células epitelioides y gigantes multinucleadas sin caseosis, rodeados por una corona linfocitaria, con tendencia a confluir y que ocupaban toda la dermis.
Las tinciones de Ziehl-Nielsen, BAAR, PAS y Giemsa fueron negativas.
EVOLUCIÓN Y TRATAMIENTO
Ante los hallazgos clínicos e histológicos se realizó una batería de pruebas complementarias incluyendo cultivo y reacción en cadena de la polimerasa (PCR) para Mycobacterium tuberculosis de tejido que resultaron negativos. La prueba de Mantoux fue positiva (20 mm) con lectura a las 48 h. Los estudios analíticos realizados que incluían anticuerpos antinucleares (ANA), enzima conversora de la angiotensina, calcemia y calciuria fueron normales. Se realizó una tomografía computarizada (TC) torácica que resultó normal, así como una baciloscopia de esputo y un estudio del aspirado broncoalveolar asimismo también negativos.
Se instauró tratamiento específico con isoniazida, rifampicina y pirazinamida durante 2 meses, continuando con isoniazida y rifampicina durante 6 meses más. Tras el tratamiento las lesiones cutáneas mejoraron de forma notable, mostrando un atrofia cicatrizal. En la actualidad el paciente realiza seguimientos periódicos sin evidencia de enfermedad activa.
COMENTARIO
El lupus vulgar es una forma crónica y progresiva de tuberculosis cutánea que ocurre en individuos con una inmunidad moderada y un alto grado de sensibilidad a la tuberculina1 . Su incidencia ha aumentado en las últimas décadas dada su asociación con el sida, la resistencia a fármacos de las formas pulmonares2 y al incremento de la inmigración desde países en vías de desarrollo. Hoy en día es la forma clínica más frecuente de tuberculosis cutánea en Europa.
Puede originarse a partir de un foco tuberculoso por diseminación hematógena, linfática o por contigüidad. En el 40 % de los pacientes existe una adenitis cervical, un foco pulmonar u óseo (10-20 %) e incluso a veces un complejo primario aparentemente quiescente1 . Raras veces aparece tras inoculación directa, una intervención quirúrgica3 o vacunación con el bacilo de Calmette-Guérin (BCG)4-6 , si bien en la mayoría de los casos es difícil precisar el origen.
Generalmente las lesiones son solitarias, pero pueden ser múltiples en pacientes con un foco pulmonar activo. Las localizaciones más frecuentes son la cabeza y el cuello7 (80 %) seguidos de las extremidades, es rara la afectación del tronco. El diagnóstico se apoya en los hallazgos clínicos (consistencia blanda y color eritematoso parduzco de las lesiones), la diascopia (los nódulos en “jalea de manzana” son altamente indicativos), la histología (granulomas tuberculoides con un grado variable de caseosis), el cultivo (positivo en un escaso porcentaje de casos, ya que se trata de formas paucibacilares)7,8 , y la prueba de la tuberculina (PPD) que suele ser positiva en la mayoría de los casos, la negatividad de esta prueba debe interpretarse como un signo de posible afectación visceral9 . En los últimos años se ha incorporado al diagnóstico la PCR que detecta el ADN de M. tuberculosis . Esta prueba aumenta la sensibilidad de identificación del bacilo, pero un resultado negativo no excluye la existencia del mismo10 . Para algunos autores, una prueba de Mantoux positivo y una buena respuesta a tratamiento con isoniazida son suficientes para probar un origen tuberculoso11 .
La evolución es crónica, y sin tratamiento, las lesiones persisten durante décadas, es muy rara la curación espontánea. El curso es progresivo y conduce a una disminución de la funcionalidad y a la desfiguración. La complicación más importante es el desarrollo de carcinomas espinocelulares12,13 , basocelulares y otros.
El tratamiento debe ser el mismo que el de la tuberculosis sistémica, utilizando poliquimioterapia, ya que previene el desarrollo de resistencias y cubre la posible afectación visceral simultánea. La pauta de tratamiento es isoniazida y rifampizina asociadas a etambutol o pirazinamida durante 2 meses continuando con isoniazida y rifampizina diariamente o dos o tres veces por semana durante 6 meses1 .
Aunque el número de casos de tuberculosis cutánea que pueden verse en la consulta dermatológica es insignificante, ya que representa un 0,015-0,1 % del total de las consultas14 , el posible aumento de esta patología a medio plazo como consecuencia de la inmigración, el sida y la aparición de cepas resistentes entre otras causas, nos obliga a conocer bien esta enfermedad, que hasta hace unos años se consideraba una rareza.
Correspondencia:
Inés Fernández-Canedo. Servicio de Dermatología. Hospital Costa del Sol. Ctra. Nacional, 340, km 187. 29600 Marbella. Málaga. España. inesbier@terra.es
Recibido el 13 de abril de 2004. Aceptado el 28 de diciembre de 2004.






