HISTORIA CLÍNICA
Una niña de 12 años, sin antecedentes de interés, consultó por lesiones levemente dolorosas al roce en surcos nasogenianos derecho e izquierdo, de un año y 2 meses de evolución, respectivamente. De manera simultánea, el padre de la paciente fue atendido por lesiones similares en frente y dorso nasal, presentes desde su juventud.
EXPLORACIÓN FÍSICA
En la exploración de la paciente, con fototipo II, se observaron dos placas eritematoescamosas, induradas, de 0,8 cm de tamaño en surco nasogeniano derecho y de 0,6 cm en surco nasogeniano izquierdo, bien delimitadas (fig. 1).
Fig. 1.—Placas eritematoescamosas en surcos nasogenianos.
EXPLORACIONES COMPLEMENTARIAS
Se realizó extirpación quirúrgica de ambas lesiones (figs. 2 y 3).
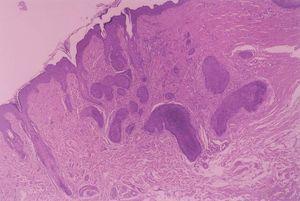
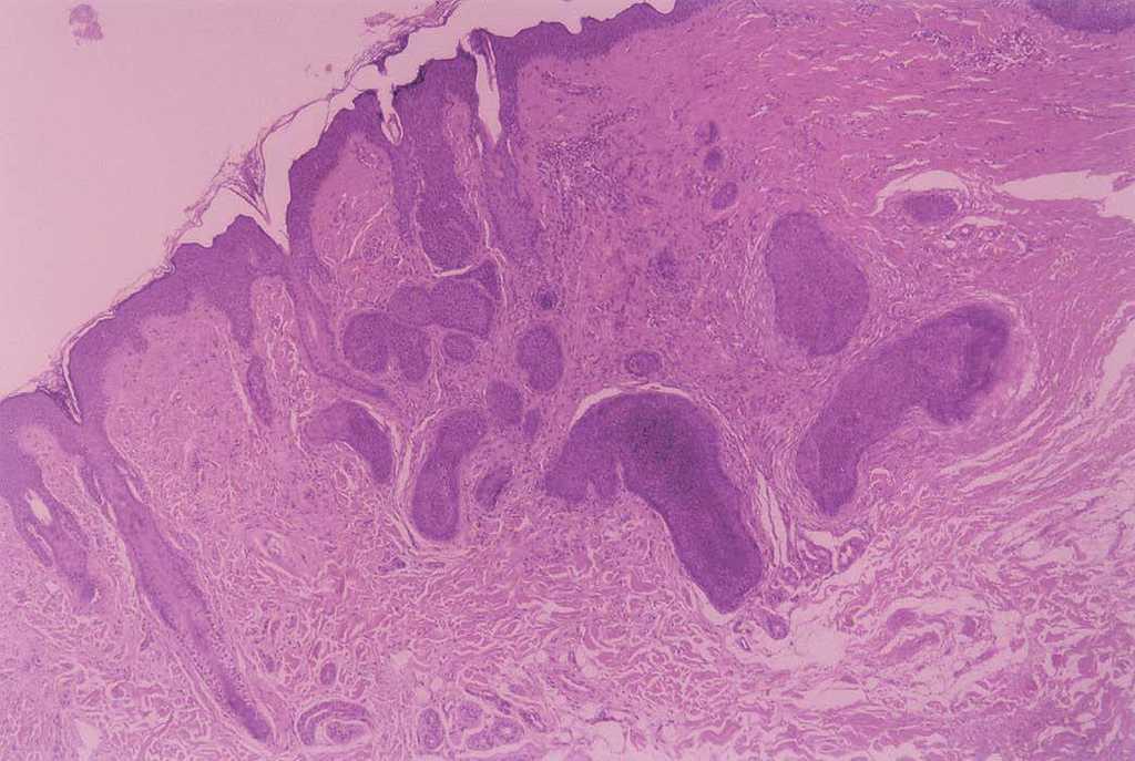
Fig. 2.—Islotes de células basaloides con disposición en empalizada y reacción estromal abundante. (Hematoxilina-eosina, ×40.)
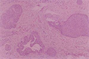
Fig. 3.—Algunos de los nidos muestran diferenciación ductal. (Hematoxilina-eosina, ×200.)
DIAGNÓSTICO
Tricoepiteliomas múltiples familiares.
HISTOPATOLOGÍA
El estudio anatomopatológico puso de manifiesto la presencia de nidos de células epiteliales basaloides que en la periferia adoptaban una disposición en empalizada. Estaban situados fundamentalmente en dermis media y envueltos por una reacción estromal de condensación observándose en algunos de los islotes diferenciación ductal. Las lesiones del padre también correspondieron a tricoepiteliomas, si bien en la espalda se le extirpó un carcinoma basocelular.
COMENTARIO
El tricoepitelioma es un tumor constituido por células germinales foliculares de carácter benigno, aunque excepcionalmente se ha descrito malignización en algunos casos1-3 . Los tricoepiteliomas se pueden presentar como lesiones aisladas o múltiples. La forma múltiple es la más infrecuente y, como en nuestro caso, es de presentación familiar y de herencia autosómica dominante4 , aunque se han descrito casos esporádicos. El defecto genético se ha localizado en el brazo corto del cromosoma 9 (9p21)5,6 . En algunas familias se han descrito tricoepiteliomas múltiples asociados a cilindromas y espiradenomas, dentro del síndrome de Spiegler-Brooke, localizado en el cromosoma 166 . El tricoepitelioma solitario es una lesión aislada que no muestra transmisión hereditaria. Se han descrito casos de tricoepitelioma asociado a fibromas ungueales, distrofia ungueal congénita, síndrome de Rombo, alopecia y miastenia gravis6 . Además, existe la variante desmoplásica del tricoepitelioma, considerada actualmente una entidad clinicopatológica independiente de las dos anteriores.
El diagnóstico clínico del tricoepitelioma es difícil, debido a la ausencia de características específicas. Se caracteriza por ser una pápula, nódulo o placa de color rosa o piel normal, de pequeño tamaño, bien delimitada, indolora, que asienta generalmente en los surcos nasogenianos, nariz y frente, aunque también puede afectar al cuero cabelludo, cuello y parte superior del tronco. Suele aparecer en la infancia o pubertad y tiende a permanecer estable en la edad adulta, lo cual es un dato orientativo hacia el diagnóstico1 . En muy raras ocasiones los tricoepiteliomas se llegan a ulcerar, a diferencia del carcinoma basocelular.
Se ha planteado la hipótesis de que los pacientes que presentan tricoepiteliomas tienen mayor predisposición para desarrollar carcinomas basocelulares7 . Sin embargo, esta hipótesis aún no ha sido definitivamente demostrada.
Histológicamente, los tricoepiteliomas se clasifican según el grado de diferenciación del germen folicular, aunque genéricamente presentan islotes de células basaloides que, en algunas áreas, muestran una empalizada periférica, rodeadas de un estroma fibrocítico, que suelen mostrar diferenciación folicular hacia bulbo y papilas foliculares, respectivamente8 . El componente estromal es de gran importancia para establecer el diagnóstico diferencial con el carcinoma basocelular, ya que el tricoepitelioma presenta un estroma con abundante celularidad y cuerpos mesenquimatosos papilares, pero no inducción mucinosa, desmoplasia ni telangiectasias arboriformes. Es bastante frecuente la presencia de pequeños quistes de queratina recubiertos por epitelio escamoso estratificado que, si se rompen, provocan un pequeño granuloma a cuerpo extraño en el estroma. Las agregaciones de fibroblastos son características del tricoepitelioma9 . Las tinciones de inmunohistoquímica en los tricoepiteliomas muestran una fuerte afinidad para las citoqueratinas CK 5/6 y CK 8, y débil para CK 17 en las células que rodean a los quistes córneos10 . El protooncogén bcl2 , que codifica la proteína bcl2, que inhibe la apoptosis, es un marcador útil para el diagnóstico en casos de difícil diferenciación histológica11 .
Por el contrario, el carcinoma basocelular rara vez presenta diferenciación folicular en anágeno y el estroma es menos celular y contiene abundante mucina. La presencia de necrosis en las células neoplásicas es más frecuente en los islotes del carcinoma basocelular que en el tricoepitelioma12 .
El tratamiento del tricoepitelioma debe ser quirúrgico, para descartar carcinoma basocelular. En el caso de los tricoepiteliomas múltiples familiares se puede realizar electrocirugía, crioterapia, dermoabrasión, láser de dióxido de carbono (CO2) o radioterapia13,14.
Correspondencia:
Pilar Gómez-Avivar. Gregorio Marañón, 37. 7.º 2. 04005 Almería. España. mgomea@fundacionhvn.org
Recibido el 15 de marzo de 2004. Aceptado el 28 de diciembre de 2004.





