Historia clínica
Mujer de 52 años, sin antecedentes de interés, que consulta por una lesión de 8 meses de evolución en la planta del pie derecho, pruriginosa, que no se resuelve con tratamiento antifúngico ni corticoideo tópico. No refiere ninguna otra sintomatología.
Exploración física
En el arco plantar derecho se observa una placa eritematoviolácea, de 4 x 4,5 cm de diámetro, infiltrada al tacto, de límites policíclicos y costras serohemáticas en la periferia (fig. 1). El resto de la exploración física fue normal.
Figura 1.
Histopatología
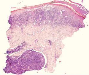
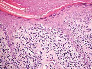
La biopsia mostraba una epidermis con características similares al liquen plano: desaparición de la capa basal, hipergranulosis en forma de «V», elongación de las crestas interpapilares en forma de dientes de sierra y presencia de cuerpos coloides en la interfase dermoepidérmica (fig. 2). Lo más llamativo desde el punto de vista histológico era la intensidad del infiltrado linfoide, que ocupaba toda la dermis papilar y se extendía hasta la dermis reticular alta, borrando la interfase dermoepidérmica y afectando además la dermis perianexial, formando un denso cúmulo linfoide alrededor de las glándulas sudoríparas (fig. 3). Estos linfocitos no presentaban atipia nuclear ni tendencia al epidermotropismo (fig. 4).
Figura 2.
Figura 3.
Figura 4.
Se realizó un estudio molecular mediante reacción en cadena de la polimerasa (PCR) que detectó reordenamiento monoclonal para el gen TCR-gamma.
Otras pruebas complementarias
Se practicó una analítica general que no mostró ningún hallazgo significativo. El cultivo de hongos fue negativo.
¿Cuál es su diagnóstico?
Diagnóstico
Micosis fungoide en placa única.
Evolución
La paciente fue tratada con radioterapia mediante irradiación de electrones. Se obtuvo la resolución completa de la lesión y tras un año y medio de seguimiento la paciente está asintomática. Las analíticas y TAC-toraco-abdominal de control no han mostrado alteraciones.
Discusión
La micosis fungoide (MF) en placa única fue descrita por Russell en 19811. Se trata de una rara variante de MF que se presenta como lesión única y cuyos hallazgos histológicos son indistinguibles de los de una MF convencional. Clínicamente la MF unilesional puede manifestarse en forma de placa indurada, psoriasiforme, eczematosa, folicular, poiquilodérmica, con hipo/hiperpigmentación. Puede afectar a cualquier parte del tegumento2.
La MF con características histológicas liquenoides se ha documentado pocas veces en la literatura. Es la variante histológica más infrecuente3. Se han descrito también reacciones liquenoides en MF tratadas con radioterapia y quimioterapia sistémica3. En nuestro caso se excluye esta causa, pues la paciente no había recibido ningún tratamiento sistémico.
La presentación de la MF en palmas y plantas es infrecuente y se ha descrito aproximadamente en un 0,6 % de las MF. Debido a que simula otras dermatosis, suele diagnosticarse tarde, por tanto, es recomendable realizar una biopsia ante cualquier lesión palmoplantar de curso recalcitrante4.
El diagnóstico diferencial de la MF en placa única lo realizaremos con la reticulosis pagetoide (RP) o enfermedad de Woringer-Kolopp. Clínicamente la RP se presenta como una placa de aspecto verrucoso, infiltrada, que se localiza generalmente en las extremidades y va creciendo lentamente. Hay acuerdo entre diversos autores en que la RP y la MF unilesional son entidades diferentes, en las que el epidermotropismo es un fenómeno común, pero con mucha mayor intensidad en la RP2.
El tratamiento de elección de la MF unilesional es la radioterapia superficial y la excisión quirúrgica5. La mayoría de los casos responden bien al tratamiento, sin recurrencias. Para muchos autores, el comportamiento de la MF unilesional es similar a los casos de MF en placas de curso indolente.
En resumen, nuestra paciente presenta una variante poco frecuente de MF, tanto por su histología como por su forma de presentación.
Conflicto de intereses
 Declaramos no tener ningún conflicto de intereses.
 Correspondencia:
 Montse Fernández-Guarino.
 Hospital Ramón y Cajal.
 Carretera de Colmenar Km 9,100. 28034 Madrid.
montsefdez@msn.com
Aceptado el 23 de enero de 2007.





 
		
