Historia clínica y exploración física
Mujer de 42 años con un índice de masa corporal dentro de la normalidad y cuyo único antecedente patológico de interés era una leve hipercolesterolemia en tratamiento dietético. Presentaba desde la adolescencia múltiples pápulas marrones de aspecto poligonal que confluían formando placas, y se localizaban predominantemente en ambas axilas y en menor número en el tórax. Algunas de las lesiones axilares adoptaban un aspecto papilomatoso y pediculado (fig. 1). La paciente negaba antecedentes familiares similares.
Figura 1.
Histopatología
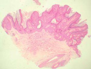
Se practicó una biopsia en sacabocados de la región axilar para estudio histopatológico. Se realizaron funciones con hematoxilina-eosina, PAS y rojo Congo (fig. 2). Se observó una papilomatosis, hiperqueratosis ortoqueratósica y acantosis epidérmica, atrofia focal del estrato granuloso y leve hiperpigmentación del estrato basal de la epidermis. En la dermis aparecía una dilatación moderada de los vasos sanguíneos superficiales. La tinción con PAS no mostró la presencia de elementos fúngicos y la tinción con rojo Congo fue negativa.
Figura 2. Tinción con hematoxilina-eoxina, x2.
¿Cuál es su diagnóstico?
Diagnóstico
Papilomatosis confluente y reticulada de Gougerot y Carteaud.
Tratamiento
La paciente rechazó el tratamiento oral por tratarse de un proceso asintomático. Ha sido tratada con calcipotriol tópico aplicado una vez al día durante 6 meses con discreta mejoría.
Comentario
La PCR fue descrita por primera vez por Gougerot y Carteaud en 1927. Su origen es incierto, aunque se han propuesto diversas teorías: alteraciones endocrinológicas, respuesta anormal frente al Pityrosporum orbiculare, variedad de amiloidosis cutis o de acantosis nigricans y un defecto genético de la queratinización. Esta última parece ser la teoría más aceptada y se basa en el éxito terapéutico obtenido en algunos casos con retinoides o derivados de la vitamina D.
Suele ser esporádica, aunque se han descrito casos familiares1; siendo más frecuente en mujeres y en la raza negra. Se inicia en la pubertad y se localiza predominantemente en la línea media del tronco, en las regiones intermamaria, epigástrica e interescapular, y con menos frecuencia en los hombros, el cuello, la espalda, la cara, la zona genital2 y axilar.
Inicialmente se presenta como pápulas de 1-2 mm de tamaño, que van aumentando progresivamente hasta alcanzar 4-5 mm y se tornan hiperqueratósicas y verrucosas pudiendo hiperpigmentarse, especialmente en las personas de piel oscura. En las áreas centrales confluyen formando placas, mientras que en la periferia adoptan un patrón reticulado. Generalmente es asintomática, pero ocasionalmente produce prurito.
El estudio histológico demuestra hiperqueratosis, papilomatosis, adelgazamiento del estrato granular y acantosis. Puede hallarse un aumento de la melanina en los melanocitos del estrato basal, una dilatación moderada de los vasos sanguíneos dérmicos superficiales y un escaso infiltrado linfocitario perivascular. Se han descrito casos de PCR sin papilomatosis3.
El diagnóstico diferencial de esta entidad debe establecerse con la acantosis nigricans, la enfermedad de Dowling-Degos, la amiloidosis cutis, la pitiriasis versicolor, el nevus epidérmico, la ictiosis, la enfermedad de Darier, las queratosis seborreicas, la dermatitis seborreica y la fotodermatitis.
El tratamiento resulta frustrante porque el paciente no siempre responde al mismo y, cuando lo hace, suele recidivar al abandonarlo. Los retinoides orales4 y la minociclina parecen ser los fármacos más efectivos. Otros tratamientos que han mostrado mejorías transitorias son diversos antibióticos orales (azitromicina, doxiciclina, eritromicina), ácido salicílico tópico, retinoides tópicos, urea, hidroquinona, antifúngicos, 5-fluorouracilo, calcipotriol y tacalcitol5-7.
Conflicto de intereses
Declaramos no tener ningún conflicto de intereses.
Correspondencia:
Elena Roche-Gamón.
Huelva, 14, 21. 46470 Catarroja. Valencia. España.
erochega@yahoo.es
Aceptado el 26 de octubre de 2006.




