INTRODUCCIÓN
La terapia PUVA se basa en la interacción de la radiación ultravioleta A (UVA) y un compuesto fotosensibilizante (psoraleno), combinación que condiciona reacciones fototóxicas repetidas y controladas. La terapia PUVA oral representa una alternativa segura y de elección en el tratamiento de la psoriasis en placas grave y en aquellas formas de extensión moderada que no responden al tratamiento tópico o a la terapia ultravioleta B (UVB) 1.
El penfigoide ampolloso es un proceso autoinmune con desarrollo de anticuerpos frente a las proteínas BPAG1 de 230kDa y BPAG2 de 180 kDa situadas en los hemidesmosomas, orgánulos de anclaje de las células basales a la membrana basal epidérmica. Esta enfermedad ampollar subepidérmica, con ampollas característicamente grandes y tensas, aparece en la mayoría de los casos después de los 60 años de edad. Habitualmente se desarrolla de forma espontánea, es decir, sin ningún desencadenante claro; sin embargo hay casos que se han relacionado con factores externos como medicación oral 2, tópica 3, traumatismos, quemaduras, radioterapia 4, UVA 5, UVB 6 y PUVA 6-11.
A continuación describimos dos casos de penfigoide ampolloso relacionados con el tratamiento con PUVA que hemos tenido oportunidad de ver en nuestro servicio desde que se instauró en el año 1977 esta modalidad terapéutica
DESCRIPCIÓN DE LOS CASOS
Caso 1
Mujer de 73 años, sin antecedentes médico-quirúrgicos de interés. Presentaba psoriasis desde los 12 años y había realizado múltiples tratamientos tópicos. En noviembre de 1983 inició tratamiento con PUVA y en marzo de 1984, cuando estaba con dosis de mantenimiento de una sesión a la semana, comenzó a desarrollar lesiones ampollosas tensas con ligero prurito en tronco y en extremidades superiores (fig. 1). Se suspendió dicho tratamiento y se realizaron biopsias para estudio anatomopatológico que fueron compatibles con el diagnóstico de penfigoide ampolloso. En el estudio de inmunofluorescencia directa se objetivó un depósito difuso de C3 en membrana basal epidérmica (fig. 2).
Fig. 1.--Lesiones ampollosas grandes en tronco.
Fig. 2.--Inmunofluorescencia directa: depósito de C3 en membrana basal epidérmica.
El cuadro evolucionó de forma favorable con tratamiento corticoideo oral y tópico.
En el postoperatorio de una intervención quirúrgica por abdomen agudo 8 meses más tarde presentó un rebrote del proceso con ampollas alrededor de la colostomía que se controló también con corticoides orales y tópicos.
Caso 2
Varón de 79 años, monorreno, con hipertensión arterial en tratamiento con nifedipino e hipertrofia prostática benigna en tratamiento con doxazosina. Presentaba psoriasis de 12 años de evolución con empeoramiento progresivo de las lesiones que no se controlaban con tratamiento tópico. En abril de 2004 inició tratamiento con fototerapia UVB de banda estrecha (TL01) sin mejoría tras mes y medio de tratamiento, por lo que se sustituyó por tratamiento con PUVA. Entre la sexta-octava sesión comenzó a desarrollar lesiones ampollosas con intenso prurito en tronco, extremidades superiores y, de forma más aislada en extremidades inferiores en piel no afecta y sobre las propias lesiones psoriásicas (fig. 3), procediéndose a la suspensión del tratamiento. El estudio de hematoxilina-eosina (H-E) de la biopsia de una lesión ampollosa que se tomó fue compatible con el diagnóstico de penfigoide ampolloso (fig. 4). El estudio de inmunofluorescencia directa objetivó presencia lineal en membrana basal epidérmica de C3 y depósitos irregulares de IgM e IgA, con ausencia de complejos de IgG. La inmunofluorescencia indirecta demostró anticuerpos antimembrana basal epidérmica a título de 1/1.280, anticuerpos antisustancia intercelular epidérmica negativos.
Fig. 3.--Detalle de lesiones ampollosas junto con lesiones psoriásicas.
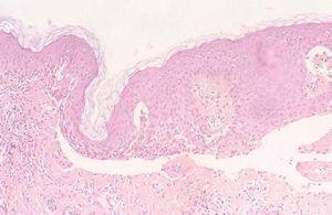
Fig. 4.--Hematoxilina-eosina: vesícula subepidérmica con eosinófilos en su interior.
La analítica general realizada fue normal, con serologías de hepatitis B y C negativas, anticuerpos antinucleares (ANA): 1/160 patrón moteado, ENA y AntiDNA negativos, IgE: 8.477 UI/ml y radiografía de tórax sin hallazgos de interés.
Se instauró tratamiento con metotrexate oral a dosis de 15 mg/semana y corticoides tópicos de moderada potencia con rápido control del cuadro ampolloso en dos semanas.
DISCUSIÓN
La aparición de lesiones ampollosas en pacientes en tratamiento con PUVA suele ser debida a una reacción fototóxica secundaria a una sobredosis accidental. En estos casos las ampollas aparecen sobre zonas eritematosas con presencia de células de quemadura en el estudio histológico 11. Por otro lado, se relaciona la terapia PUVA con el desarrollo de ampollas en zonas acrales como consecuencia de un daño en la cohesión dermoepidérmica que podría ser secundaria a un efecto fototóxico subclínico unido a fricción y roce 12.
Sin embargo, el desarrollo de lesiones de penfigoide ampolloso durante el tratamiento con PUVA ha sido recogido en la literatura de forma excepcional 6-11. En estos casos no hay relación con sobredosis, las lesiones aparecen sobre piel normal, pudiendo aparecer en zonas no fotoexpuestas y con características histológicas propias de este cuadro ampolloso autoinmune.
Se ha implicado a las radiaciones ultravioletas (UV) en la inducción o agravamiento de enfermedades ampollosas autoinmunes como pénfigo foliáceo 13, pénfigo vulgar 14,15, penfigoide ampolloso 5-11,14, epidermólisis ampollosa adquirida 16 y dermatosis IgA lineal 17. El desarrollo de lesiones de penfigoide ampolloso durante el tratamiento con PUVA se ha descrito sobre todo en individuos con psoriasis, probablemente porque es el proceso cutáneo en el que más se emplea esta modalidad terapéutica, aunque también se han descrito en pacientes que estaban realizando dicho tratamiento por dermatitis atópica 9 y micosis fungoide 8.
La similitud de nuestros casos con los descritos en la literatura 6-11, la coincidencia en el tiempo del tratamiento con PUVA y el desarrollo de penfigoide ampolloso y la evidencia de que las radiaciones UV pueden desencadenar procesos ampollosos autoinmunes sugieren que existe una relación que va más allá de lo meramente casual.
La influencia del tratamiento con PUVA en la inducción de penfigoide ampolloso ha sido previamente descrita en la literatura 7,11. Se han sugerido varias hipótesis para explicar esta relación. George 10 observó que los pacientes con historia previa de dicha enfermedad ampollosa desarrollaban lesiones con menos sesiones que los que no tenían este antecedente. Apoyando la hipótesis de que el tratamiento con PUVA podría exacerbar un penfigoide ampolloso previo, está el hecho de que se ha conseguido inducir ampollas experimentalmente irradiando piel clínicamente normal con UV en pacientes con penfigoide ampolloso 14. Incluso se ha conseguido reproducir las lesiones con fototest usando 8-metoxipsoralén tópico 11.
En pacientes sin antecedente de enfermedad ampollosa previa el tratamiento con PUVA actuaría como desencadenante de una reacción autoinmune de novo. Es conocido que la terapia PUVA altera el ADN y la antigenicidad de las proteínas nucleares. Asimismo, quizás podría modificar las proteínas de la membrana basal epidérmica, lo que permitiría inducir una respuesta inmune mediada por anticuerpos con reacción cruzada frente a proteínas no alteradas de la membrana basal como las del penfigoide ampolloso. Por otra parte, el tratamiento con PUVA también puede alterar la reactividad inmunológica de las células T cooperadoras y T supresoras, permitiendo el desarrollo de anticuerpos contra proteínas nativas 10. Además, se sabe que altera el número y función de las células de Langerhans cutáneas 18, lo que junto con lo anteriormente expuesto ayudaría a incrementar la predisposición para el desarrollo del cuadro autoinmune.
El Grupo Británico de Fotodermatología ha establecido una serie de contraindicaciones para la terapia PUVA 19. Dentro de ellas el penfigoide ampolloso está catalogado como una contraindicación relativa menor. Por tanto, en personas con antecedente ampolloso previo la terapia PUVA debe ser valorada con cierta precaución y el paciente informado de dicho riesgo antes de instaurar este tratamiento. Por otro lado, ante la aparición de lesiones ampollosas en el transcurso del mismo, aún sin antecedentes previos y a pesar de ser un cuadro muy infrecuente, debe plantearse la posibilidad de que pudiera tratarse de un penfigoide inducido por PUVA.
No es frecuente la asociación de psoriasis y penfigoide ampolloso y aún menos el desarrollo del penfigoide ampolloso tras PUVA, pero cuando ocurre se puede plantear un dilema terapéutico: el tratamiento clásico de los procesos ampollosos autoinmunes son los corticoides sistémicos, pero su uso está limitado a formas muy concretas de psoriasis. Dada la reconocida eficacia del metotrexate por su acción como antimetabolito en la psoriasis y habiendo sido demostrada su utilidad a dosis bajas en el tratamiento del penfigoide ampolloso 20, creemos que debería considerarse el tratamiento más adecuado, solo o asociado a corticoides en este tipo de pacientes.
Declaración de conflicto de intereses
Declaramos no tener ningún conflicto de intereses.
Correspondencia:
M.A. Arregui Murua. Servicio de Dermatología.
Hospital Santiago Apóstol.
Olaguibel, 29. 01004-Vitoria-Gasteiz. España.
Correo electrónico: marregui@hsan.osakidetza.net
Recibido el 13 de octubre de 2005.
Aceptado el 14 de febrero de 2006.






