INTRODUCCIÓN
El granuloma anular (GA) es una dermatosis benigna, de origen incierto y carácter autolimitado, con unos hallazgos clínicos e histológicos característicos. Clásicamente se distinguen 4 variantes: localizado, perforante, subcutáneo y generalizado. La forma diseminada, a diferencia de la generalizada, afecta predominantemente a los miembros respetando el tronco. La fotoexposición se ha reconocido como uno de los posibles factores desencadenantes 1,2, sin embargo, el predominio de las lesiones en zonas fotoexpuestas, así como los casos desencadenados por la luz solar parecen ser poco frecuentes 3. Presentamos un caso de granuloma anular diseminado con lesiones de predominio en zonas fotoexpuestas y brotes recurrentes de inicio en la época estival.
DESCRIPCIÓN DEL CASO
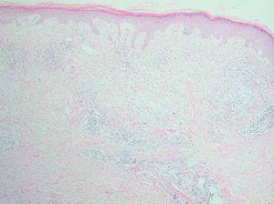
Una mujer de 52 años sin antecedentes de interés, salvo haber padecido 5 años antes una anemia ferropénica por metrorragias en tratamiento con hierro vía oral, consultó por la presencia de lesiones, asintomáticas, de unos 4 meses de evolución, localizadas en las extremidades. La paciente refería que habían aparecido en primavera y que había sufrido dos episodios previos de lesiones idénticas, 3 y 4 años antes, ambos iniciados en época estival y de unos 3 meses de duración. Las lesiones habían desaparecido espontáneamente en la primera ocasión y tras una pauta corta de esteroides por vía oral en la segunda, sin que se llegase a un diagnóstico. En la exploración física se objetivó la presencia de pápulas y placas eritematosas, de pequeño tamaño (5-15 mm), sensibles al tacto, de superficie lisa, confluentes en algunas zonas, situadas en las piernas, los antebrazos y el dorso de las manos, localización esta última donde las lesiones adoptaban una morfología anular (figs. 1 y 2). El resto de la superficie cutánea, palmas y plantas estaban indemnes. Con la sospecha clínica de granuloma anular se realizó una biopsia escisional de una de las lesiones. En el estudio histopatológico la epidermis estaba conservada y en los dos tercios superiores de la dermis se apreciaba un infiltrado linfohistiocitario con células gigantes que se distribuía en empalizada rodeando zonas de necrobiosis, no observándose fenómenos de elastorrexis ni de elastofagocitosis (fig. 3). Las pruebas complementarias realizadas, que incluyeron una bioquímica básica, hemoglobina glucosilada, hemograma, velocidad de sedimentación globular, proteinograma, inmunoglobulinas, complemento, factor reumatoide, anticuerpos antinucleares, marcadores tumorales, pruebas de función tiroidea, radiografía de tórax, ecografía abdominal y serología de lúes, virus hepatotropos y virus de inmunodeficiencia humana, no pusieron de manifiesto ningún hallazgo patológico. Con el diagnóstico de GA diseminado y en función del carácter autorresolutivo de los dos primeros brotes decidimos adoptar una actitud expectante. Aproximadamente a los dos meses el cuadro entró en regresión y a los 6 la paciente se hallaba libre de lesiones y así permanece un año después.
Fig. 1.--Pápulas y placas eritematosas, de superficie lisa, algunas ya en regresión, en la cara externa de las piernas.
Fig. 2.--Pequeñas pápulas violáceas en el dorso de las manos en las que se insinúa una disposición anular.
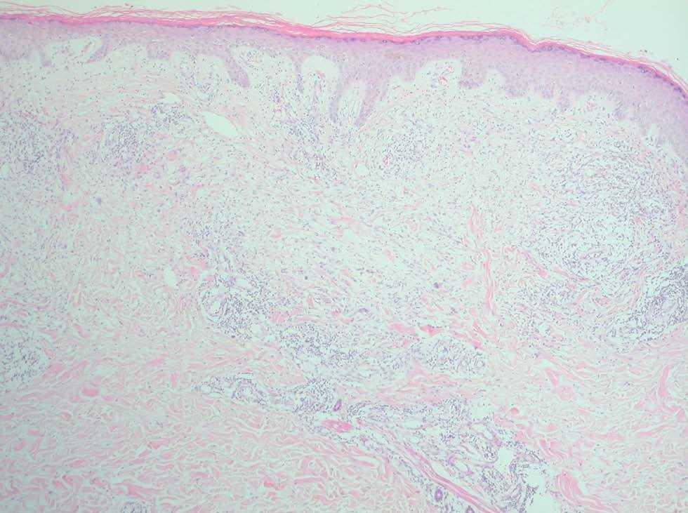
Fig. 3.--En los dos tercios superiores de la dermis se aprecia un infiltrado linfohistiocitario con células gigantes en empalizada rodeando zonas de colágeno degenerado (hematoxilina-eosina × 100).
DISCUSIÓN
El granuloma anular es más frecuente en la infancia y en adultos jóvenes, con preferencia por el sexo femenino. Su etiopatogenia es desconocida aunque diversos datos sugieren una base inmunológica y se ha relacionado, entre otros factores, con fotoexposición, PUVA, traumatismos, picaduras de insectos, prueba de la tuberculina e infecciones víricas 1. La lesión clínica típica es un anillo de pequeñas pápulas color piel o ligeramente eritematosas y/o parduzcas cuyo examen histológico muestra focos de necrobiosis en la dermis media o papilar con granulomas en empalizada compuestos por linfocitos, histiocitos, células epitelioides y algunas células gigantes. La entidad se ha asociado con diabetes mellitus, neoplasias y patología autoinmune, sin embargo, todas ellas parecen al menos discutibles 2. Aquellos pacientes con formas crónicas o recurrentes podrían tener una mayor incidencia de diabetes mellitus 3. Las presentaciones clínicas atípicas de GA, especialmente en pacientes ancianos, podrían asociarse a linfomas malignos 4. Recientemente se ha propuesto una posible relación entre la forma localizada y la tiroiditis autoinmune en mujeres adultas 5.
Se distinguen 4 formas clínico-patológicas: localizado, perforante, subcutáneo y generalizado. El granuloma anular generalizado (GAG) es la forma más frecuente después de la localizada, aproximadamente un 9 % de los casos y afecta por definición a tronco y extremidades superiores y/o inferiores, habitualmente de forma simétrica 6. El GAG se distingue de la forma localizada por varios hechos: se presenta sobre todo en edades medias y en la vejez, las lesiones suelen ser muy numerosas, es especialmente más frecuente en mujeres, su curso tiende a ser más crónico, es más refractario al tratamiento, parece que se relaciona en mayor medida con la diabetes mellitus y se asocia a determinados HLA 6,7. La forma diseminada sería aquella que, como en nuestro caso, afecta a las extremidades respetando el tronco 8, aunque algunos autores han empleado este término para describir casos con afectación de antebrazos, parte alta del tórax y cuello, creando confusión terminlógica 9.
El predominio de las lesiones en zonas fotoexpuestas, así como casos desencadenados por la luz solar aparece recogido en la literatura 3,9. En 1967 Stankler et al 10 revisaron las características de 47 casos de GAG. En 5 pacientes las lesiones se localizaban en zonas expuestas, en tanto que uno refería precipitación por la fotoexposición. Dos años más tarde Dicken et al 11 examinan 26 casos de la misma entidad encontrando dos pacientes con afectación de extremidades y cuello de forma aislada, un paciente creía empeorar en verano. En 1989 Dabski y Winkelmann 8, en una serie constituida por 100 pacientes con GAG, hallaron afectación predominante o limitada a áreas fotoexpuestas en 5 pacientes, mientras que 6 referían acentuación de las lesiones con el sol. Por otro lado se han descrito casos de GAG fotodistribuido en pacientes infectados por el virus de la inmunodeficiencia humana 12. En nuestra paciente parecía objetivarse una clara predilección por las zonas fotoexpuestas, y por otro lado los tres brotes habían coincidido con el inicio de la primavera o la época estival.
Sin embargo, el papel de la radiación lumínica no está claro, ya que se ha descrito mejoría en verano, aunque este hecho es más infrecuente 8,10. Los intentos de reproducir las lesiones con radiación ultravioleta han sido fallidos 3,11; en casos fotodistribuidos la cara estaba indemne 12 y algunos pacientes responden al tratamiento con PUVA 13.
Los granulomas anulares localizados en áreas fotoexpuestas deben diferenciarse del granuloma actínico, con el cual pueden coexistir. En nuestra paciente no se encontraron los hechos histopatológicos característicos de esta entidad 14.
En los casos generalizados y diseminados se han intentado múltiples tratamientos con resultados variables; recientemente se han utilizado la pentoxifilina 6, los retinoides orales 15 y el PUVA 13. Dada la inconsistencia de la respuesta, la variabilidad en el curso natural de la enfermedad, con casos de resolución espontánea, y el carácter asintomático de las lesiones parece razonable una actitud no excesivamente agresiva, como proponían los trabajos clásicos 11. En nuestra paciente optamos por una actitud expectante, con resolución progresiva de las lesiones en unos 6 meses sin recidiva por el momento.
Declaración de conflicto de intereses
Declaramos no tener ningún conflicto de intereses.
Correspondencia:
O. Suárez-Amor. Departamento de Dermatología.
Facultad de Medicina.
San Francisco, s/n. 15782 Santiago de Compostela. España.
Correo electrónico: mejaime@usc.es
Recibido el 25 de agosto de 2005.
Aceptado el 10 de mayo de 2006.





