El parafinoma peneano es una reacción cutánea que aparece tras la inyección de parafina o de aceites minerales en el pene con el propósito de aumentar el tamaño de dicho miembro. Se trata de una entidad relativamente habitual en algunos países del Este europeo y Asia que consideramos que se observará con una frecuencia creciente en nuestro país a causa de la inmigración. Habitualmente esta práctica es llevada a cabo por personal no cualificado y bajo malas condiciones higiénicas. La reacción cutánea frente al material exógeno suele manifestarse tras meses o años de la inyección cutánea1.
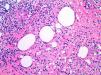
Presentamos el caso de un paciente de 27 años, natural de Rumanía, que consultó por lesiones ulceradas en el pene. A pesar de que inicialmente no lo refirió, el paciente confesó que desde hacía 4 años hasta 2 meses antes de la consulta había sido sometido a inyecciones sucesivas de un material viscoso en el cuerpo del pene con intención de aumentar su tamaño. También explicó que en dicha localización habían aparecido unas lesiones ulceradas de crecimiento progresivo que habían empeorado de aspecto durante los últimos meses, por lo que se había aplicado tópicamente el contenido de cápsulas de antibióticos orales sin mejoría clínica. A la exploración (fig. 1) destacaba una evidente deformación del cuerpo del pene, además de induración al tacto y 2 lesiones ulceradas de 3 y 2cm de diámetro máximo respectivamente, en ambas caras laterales del pene. En la cara ventral destacaban trayectos fistulosos sin secreción aparente. El glande estaba respetado. El estudio histopatológico de la lesión de mayor tamaño mostró una úlcera epitelial con fibrosis dérmica y vacuolas vacías, compatibles con parafinoma (figs. 2 y 3). Las tinciones con PAS, plata metenamida y Ziehl-Neelsen fueron negativas. La analítica sanguínea no mostró ninguna alteración y en el frotis de las úlceras se aislaron gran cantidad de colonias diferentes, sin predominio de ningún microorganismo. El cultivo para hongos fue negativo. Las serologías fueron negativas para hepatitis C y VIH, y positivas para hepatitis B, herpes simple i, herpes simple ii y lúes (VDRL ½, TPHA 1/10.240). El paciente fue diagnosticado de parafinoma peneano, y se administró tratamiento tópico con fomentos con permanganato potásico. Las lesiones mejoraron parcialmente consiguiendo curación del componente necrótico. Sin embargo, tras proponer al paciente la realización de intervención quirúrgica reconstructiva, este dejó de acudir a las visitas, por lo que no pudimos repetir las serologías y consideramos la lúes curada.
El parafinoma peneano también es conocido como lipogranuloma esclerosante del pene. La inyección de materiales de alta viscosidad como aceites minerales, vaselina o parafina son la principal etiología de esta entidad que actualmente sigue realizándose en Europa del Este, Asia y Rusia2. Sin embargo, esta práctica fue iniciada en 1899 por un cirujano austríaco llamado Robert Gersuny, el cual inyectó aceite mineral a un niño orquiectomizado tras una tuberculosis genital1. Las razones que motivan a los pacientes a someterse a dicha intervención son el deseo de aumentar el tamaño del pene, tratar la disfunción eréctil y satisfacer a sus parejas sexuales3.
La edad media de los pacientes afectados se halla alrededor de los 28 años, y los síntomas suelen aparecer un año después de la implantación del material. La clínica habitual consiste en deformidad, impotencia, eritema y edema con consecuente parafimosis y dolor. Las principales complicaciones son la infección, ulceración, necrosis y fistulización de las lesiones4. También se han descrito casos de migración del material con invasión de los cuerpos cavernosos5 y linfadenitis regional6.
La histopatología muestra, como hemos indicado previamente, múltiples espacios pseudoquísticos acompañados de reacción a cuerpo extraño. Esta respuesta aparece casi invariablemente, ya que el cuerpo humano carece de enzimas que metabolicen aceites minerales.
El diagnóstico diferencial debe incluir tanto enfermedades infecciosas de transmisión sexual como no sexual, por lo que generalmente es necesario realizar biopsia de la lesión, cultivo y serologías. Deben considerarse entidades como el lupus vulgar o la infección por micobacterias atípicas secundarias a la inyección de material estéril. El carcinoma escamoso debe sospecharse ante una lesión ulcerada y dura con bordes policíclicos. La historia previa de inyección de parafina en el pene es clave para el diagnóstico clínico.
El tratamiento de primera línea consiste en la exéresis completa y temprana del cuerpo extraño y de la reacción acompañante, con cierre primario cuando sea posible7. Los antisépticos y antibióticos solo tratan la infección secundaria asociada a las lesiones. Se han descrito casos de buena respuesta a corticoterapia sistémica3.
El parafinoma peneano es una entidad de incidencia creciente en nuestro medio debido al aumento de pacientes procedentes de países de Europa del Este y Asia. Dado que habitualmente los pacientes niegan el antecedente de las infiltraciones, dermatólogos y urólogos debemos sospechar este diagnóstico ante la presencia de úlceras genitales que no se corresponden con otras enfermedades.





