El hamartoma folicular basaloide (HFB) es una neoplasia benigna poco frecuente que puede ser familiar o adquirida, generalizada o localizada en la que se ha descrito la capacidad de transformación maligna a carcinoma basocelular, pudiendo ser considerada una lesión premaligna1.
La histología del HFB se caracteriza por proliferaciones de cordones epiteliales basaloides que se originan y emergen radialmente de la porción infundibular de los folículos pilosos rodeados de un estroma laxo y fibroso. Es frecuente observar una transición clara entre las células tumorales y el estroma adyacente y las células de este tumor no suelen presentar pleomorfismo, atipia nuclear ni actividad mitótica2.
Los tratamientos del HFB3,4 incluyen la extirpación quirúrgica, crioterapia, láser, imiquimod tópico, retinoides y terapia fotodinámica. En el caso de la transformación maligna del HFB a CBC la exéresis quirúrgica de la lesión es el tratamiento de elección, por tener menor tasa de recurrencias o complicaciones.
Presentamos el caso de una mujer de 65 años que acudió por una lesión en tórax que había crecido en los últimos meses y le ocasionaba prurito. Por otro lado, refería, desde los 30 años, múltiples lesiones de pequeño tamaño en zona derecha del tórax, pubis e ingle por las que no había consultado ya que permanecían estables y asintomáticas. No refería alopecia, ptosis, disfagia, diplopia ni otra clínica sistémica. No recordaba lesiones similares en familiares. A la exploración física se observaron múltiples pápulas eritematosas y del color de la piel, algunas centradas por comedones, de tamaño menor a 1cm localizadas en hemitórax, mama, pubis e ingle derecha siguiendo una distribución blaschkoide (fig. 1). Además, en zona supramamaria derecha presentaba una lesión eritematosa de 1,2cm, borde brillante perlado y que en la dermoscopia exhibía telangiectasias y glóbulos azul-grisáceos.
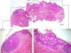
La biopsia de la placa supramamaria mostró nidos de células basaloides originados en la basal epidérmica, separados por fragmentos de epidermis sana, con empalizada periférica y frecuentes figuras mitóticas y apoptóticas. Entremezclados en esta lesión se apreciaban focos de proliferación de células basaloides de disposición cordonal, con diferenciación pilar, escasas mitosis asociados a un estroma laxo con fibroblastos (fig. 2).
Con base en la historia clínica, la exploración física y la biopsia se estableció el diagnóstico de carcinoma basocelular sobre una lesión previa de hamartoma folicular basaloide segmentario.
Se presenta una forma adquirida, segmentaria y unilateral de HFB, que suele aparecer desde el nacimiento o en la adolescencia. A diferencia de las formas familiares generalizadas, no se asocia con hipotricosis, fibrosis quística ni otras enfermedades autoinmunes (miastenia gravis, lupus eritematoso sistémico)5.
Para establecer el diagnóstico de HFB no son necesarios estudios de laboratorio ni pruebas de imagen. Sin embargo, aunque no se ha descrito asociación del HFB no generalizado con enfermedades sistémicas, debe realizarse una anamnesis y examen físico completo en todos los casos. En el caso de sospecha clínica de enfermedad autoinmunitaria se deben solicitar anticuerpos anti-nucleares y anti-acetilcolina, además de otras pruebas complementarias enfocadas a la clínica del paciente.
El principal diagnóstico diferencial del HFB es el carcinoma basocelular infundibuloquístico (CBCI) y el tricoepitelioma2,5, todos ellos tumores del folículo piloso. El HFB tiende a ser más foliculocéntrico y con menos afectación de la dermis interfolicular que el CBCI. La infiltración profunda, ulceración epidérmica y el crecimiento clínico rápido apoyarían el diagnóstico de CBCI. Sin embargo, algunos autores los considera la misma entidad por tener una morfología muy similar y expresión de citoqueratina 20 en ambos6.
El tricoepitelioma se diferencia del HFB por tener un estroma más celular y grietas de retracción que separan el estroma tumoral de la dermis adyacente.
Debido a la presencia simultánea de lesiones de hamartoma folicular basaloide y carcinoma basocelular con una distribución unilateral blaschkoide también debemos considerar en el diagnóstico diferencial el síndrome de Gorlin segmentario7. Sin embargo, la ausencia de antecedentes familiares y otras manifestaciones características de este síndrome como la presencia de carcinomas basocelulares desde edades tempranas, tumores odontogénicos queratoquísticos en maxilar, pits palmoplantares o anomalías del desarrollo esquelético hacen menos probable este diagnóstico. La disposición unilateral blaschkoide de las lesiones probablemente se pudiese atribuir a la presencia de una mutación somática en una de las células del embrión temprano.
A pesar de que consideramos útil la detección de mutaciones en el gen PTCH18 en la piel (tanto sana como afectada) o en los linfocitos de sangre periférica para poder diferenciar el hamartoma folicular basaloide del síndrome de Gorlin segmentario, no fue posible realizar el estudio genético de la paciente en nuestro centro.
En conclusión, aunque el HFB es una neoplasia benigna muy poco frecuente es importante reconocerla para un seguimiento periódico de los pacientes y poder detectar y tratar precozmente el CBC, teniendo en cuenta que las lesiones del HFB que presenten cambios en la morfología o crecimiento deben ser biopsiadas.
Conflicto de interesesLos autores declaran no tener ningún conflicto de intereses.




