Sr. Director:
En dermatopatología resulta importante poder obtener una visión panorámica de la pieza histológica que se está estudiando. Una panorámica histológica te permite valorar la localización de la patología en la piel, así como identificar determinados patrones y/o arquitecturas inflamatorias o tumorales que pueden orientar el diagnóstico.
Para obtener una fotografía panorámica de una pieza histológica se necesita una cámara de fotos ensamblada a un microscopio que, además de los objetivos habituales (4×, 10×, 20×, 40× y 100×), posea un objetivo de 1,25× o 2× aumentos u objetivo lupa. El coste de dicho objetivo suele ser elevado y no siempre se puede disponer de éste. Por ello es frecuente la ausencia de una imagen adecuada en la mayoría de publicaciones y comunicaciones dermatopatológicas.
Recientemente se celebró en Madrid el curso de diagnóstico en dermatopatología que impartieron los doctores Requena y Sánchez-Yus. En este curso se insistió en la importancia de la imagen panorámica de la lesión dermatopatológica para el diagnóstico. Algunas de las imágenes panorámicas histopatológicas que se nos enseñó se habían realizado con una cámara réflex directamente enfocando el portaobjetos. En nuestro servicio disponemos de un dermatoscopio Dermlite Photo® foto37 acoplado a una cámara Nikon Coolpix® 4500, y viendo estas imágenes se nos ocurrió utilizar el dermatoscopio Dermlite Photo® foto37 a modo de lupa en un corte histológico, obteniendo con este sistema una buena imagen panorámica.
Un dermatoscopio es un sistema óptico asociado a una luz polarizada. Los aumentos oscilan desde 10 hasta 400, e incluso más. La función para la que está pensado el dermatoscopio es la de precisar en el diagnóstico de las lesiones pigmentadas de la piel. El dermatoscopio también ha sido empleado en el diagnóstico de otras lesiones, como lesiones vasculares, inflamatorias o parasitarias1. En Reumatología el dermatoscopio se utiliza por algunos reumatólogos como capilaroscopio2.
Dermlite Photo® foto37 es un dermatoscopio de 10 aumentos que permite, acoplado a una cámara digital, adquirir imágenes digitales.
Presentamos una colección de fotografías histológicas obtenidas con este sistema de fotografía digital mediante los pasos enumerados a continuación (figs. 1 y 2). Primero nos aseguramos de la correcta limpieza del dermatoscopio, del objetivo de la cámara y del porta en el que se encuentra la pieza histológica a fotografiar. Colocamos el porta con la pieza histológica sobre una superficie blanca no reflectante como, por ejemplo, una cartulina de este color. Seleccionamos en nuestra cámara de fotos digital la función macro, desactivamos el flash y encendemos la luz polarizada del dermatoscopio. Aplicamos el dermatoscopio sobre la preparación, como hacemos cuando vamos a realizar una fotografía dermatoscópica de la piel y utilizamos el enfoque adecuado del corte histológico deseado (fig. 3). Por último disparamos la cámara.
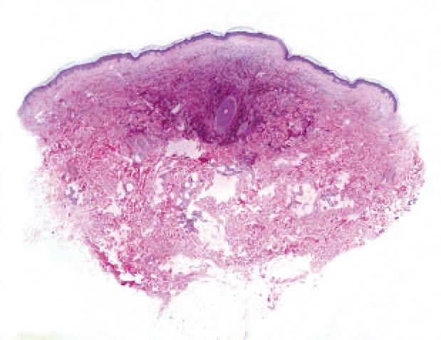
Figura 1. Carcinoma basocelular. (Hematoxilina-eosina.)
Figura 2.Nevus azul. (Hematoxilina-eosina.)
Figura 3. Colocación de la cámara, el dermatoscopio y la laminilla para la obtención de la fotografía panorámica.





