HISTORIA CLINICA
Varón de 39 años sin antecedentes de interés, refería la aparición hacía 9 meses de una lesión nodular eritematosa en el dorso de la mano derecha que había sido diagnosticada y tratada como leishmaniasis, sin mejoría. Negaba traumatismo previo.
EXPLORACION FISICA
Presentaba una lesión tuberonodular eritematosa bien delimitada, de bordes lisos y centro costroso deprimido, de 2 x 1 cm de diámetro en el dorso de la mano derecha (fig. 1). No se palpaban adenopatías locorregionales.
Fig. 1.--Lesión nodular eritematosa de centro costroso en el dorso de la mano derecha.
EXPLORACIONES COMPLEMENTARIAS
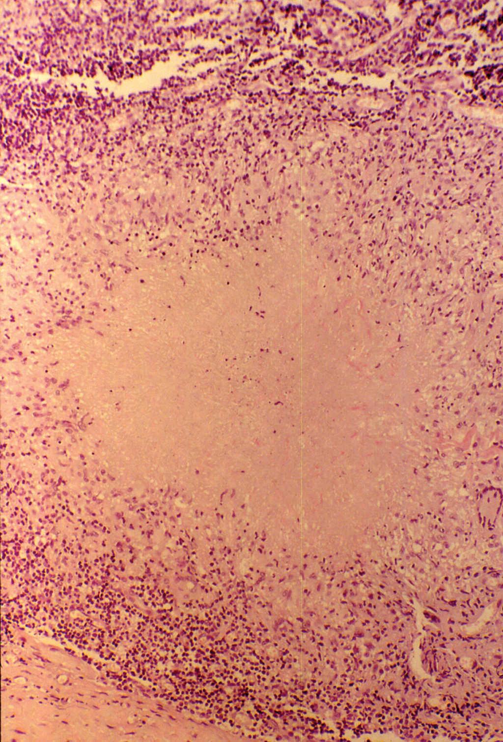
Se realizó una biopsia de la lesión (fig. 2) y se envió parte de la muestra para cultivo. El estudio del paciente, incluyendo analítica de rutina, radiografía de tórax y Mantoux, fue todo normal o negativo.
Fig. 2.--Granulomas no caseificantes en la dermis papilar y reticular. (Hematoxilina-eosina, x40.)
DIAGNOSTICO
Infección cutánea por Mycobacterium marinum.
HISTOPATOLOGIA
Se observaba una epidermis normal y un infiltrado inflamatorio en la dermis con formación de granulomas no caseificantes (fig. 2).
EVOLUCION
Rehistoriando al paciente, confirmó que era aficionado a los acuarios y peceras, y que tenía una en su domicilio que acostumbraba a limpiar sin guantes. El cultivo de piel para micobacterias resultó positivo para una micobacteria atípica de crecimiento lento que, remitida para estudio, se identificó como M. marinum. El cultivo del agua y el filtro de la pecera y de las escamas de los peces fue positivo para M. marinum y M. chelonae. Se inició tratamiento con minociclina 200 mg/día durante 6 semanas, sin objetivarse ninguna mejoría. Posteriormente se instauró tratamiento con rifampicina 600 mg/día y etambutol 15 mg/kg/día durante 10 semanas, tras lo cual se consiguió la curación de la lesión.
COMENTARIO
Las micobacterias atípicas son un grupo de micobacterias que se encuentran ampliamente distribuidas en el medio ambiente, y que se caracterizan por ser capaces de comportarse como patógenos oportunistas 1. M. marinum es una bacteria no tuberculosa que puede producir infecciones en la piel. La infección en humanos recibe el nombre de «granuloma de las piscinas» porque se describió por primera vez en personas que se bañaban en piscinas, denominándose entonces M. balnei2. El microorganismo se encuentra en el suelo y en agua dulce y salada de lagos, piscinas y acuarios 3,4. Es incapaz de multiplicarse a la temperatura de los órganos internos, por lo que la infección trae como consecuencia lesiones generalmente limitadas a la piel 5, aunque puede afectar a estructuras subyacentes ocasionando tenosinovitis y artritis 6, e incluso se ha descrito un caso con afectación de laringe 7. La inoculación se suele producir sobre piel erosionada, apareciendo la lesión tras un periodo de incubación de 2 a 3 semanas, aunque puede ser mucho mayor, incluso de meses 3. Las zonas más afectadas son las expuestas a traumatismos, sobre todo las manos 8, y la población más implicada son los trabajadores del pescado y aficionados a los acuarios, y también cirujanos y amas de casa 9. Clínicamente se puede presentar en forma de pápulas, nódulos, úlceras o placas verrucosas 2, que pueden progresar adoptando un patrón esporotricoide 8 o extendiéndose a estructuras profundas 6. La infección rara vez se disemina, lo que ocurre con mayor frecuencia en pacientes inmunodeprimidos 10. Histológicamente, en la fase aguda se observa un infiltrado inflamatorio inespecífico en la dermis, y en las lesiones evolucionadas aparecen granulomas de tipo tuberculoide, poco formados, sin caseificación. En muy pocos casos se encuentran bacilos 5. Una rara presentación en forma de dermatitis granulomatosa intersticial se ha relacionado específicamente con M. marinum11. El diagnóstico requiere demostrar la presencia del microorganismo. La muestra para cultivo se debe tomar de la piel lesionada, aunque también se pueden coger, como en nuestro caso, agua, peces sospechosos, tuberías, filtros, etc. 12. Las pruebas cutáneas con proteína purificada de la micobacteria producen reacciones cruzadas y no distinguen entre especies de micobacterias 4. Las técnicas diagnósticas más fiables, sensibles y rápidas son las basadas en la reacción en cadena de la polimerasa, en las cuales se amplifican secuencias específicas de las micobacterias 13. Sin tratamiento, la infección por M. marinum puede desaparecer en 1 a 3 años, dejando una cicatriz residual 4. Sin embargo, la eventual evolución hacia la diseminación o a la afectación de estructuras profundas, recomienda iniciar un tratamiento lo antes posible tras el diagnóstico, que se basa principalmente en la utilización de antibióticos. El tratamiento de elección y la duración del mismo no están estandarizados. Los regímenes antibióticos más utilizados incluyen la utilización de minociclina, claritromicina, rifampicina asociada o no a etambutol, cotrimoxazol y algunas quinolonas. La duración oscila entre 2 y 6 meses, o bien hasta 2 meses después de la desaparición de las lesiones 8,9. En ocasiones, es necesario combinar la antibioterapia con la cirugía 14.
El incremento de la incidencia de estas infecciones puede estar producido por un aumento en la sospecha clínica. Queremos destacar la necesidad de realizar una buena historia clínica y una correcta recogida y procesamiento de las muestras, pero especialmente el hecho de que el dermatólogo piense en la posibilidad de esta infección para evitar posibles complicaciones.
Declaración de conflicto de intereses
Declaramos no tener ningún conflicto de intereses.
Correspondencia:
Almudena Hernández-Núñez.
Servicio de Dermatología. Hospital de Fuenlabrada.
Camino del Molino, 3. 28942 Fuenlabrada. Madrid. España.
almudena@aedv.es
Recibido el 14 de octubre de 2004.
Aceptado el 29 de julio de 2005.




