INTRODUCCION
La forma localizada de la enfermedad de Darier se presenta como pequeñas pápulas queratósicas con una distribución lineal siguiendo las líneas de Blaschko, sin antecedentes familiares de enfermedad de Darier y sin otra sintomatología acompañante. Histológicamente se observa una disqueratosis acantolítica, pero dado que estos hallazgos no son específicos de la enfermedad de Darier, la clínica es fundamental para llegar al diagnóstico definitivo.
DESCRIPCION DEL CASO
Una mujer de 21 años, sin antecedentes personales ni familiares de interés, consultó por presentar desde hacía 3 años unas pequeñas pápulas queratósicas, de coloración amarillenta-marrón-amarillenta, distribuidas linealmente a lo largo de la cara posterior de la pierna derecha. Las lesiones eran asintomáticas y no empeoraban con el sol ni con el sudor. No presentaba afectación de palmas o plantas, mucosa, ni anejos. Había recibido tratamiento con corticoides tópicos que empeoraban las lesiones (fig. 1).
Fig. 1.--Lesiones formando un patrón lineal.
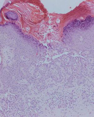
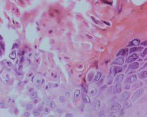
En el estudio histológico de una de las pápulas se apreciaba una acantolisis suprabasal (fig. 2), así como abundantes células disqueratósicas que en las capas superiores de la epidermis tomaban forma de cuerpos redondos y en la capa córnea, de granos de Darier (fig. 3). También presentaba un leve infiltrado inflamatorio linfocitario superficial.
Fig. 2.--Acantolisis suprabasal con abundantes células disqueratósicas. (Hematoxilina-eosina, x10.)
Fig. 3.--Cuerpos redondos y granos de Darier. (Hematoxilina-eosina, x100.)
La paciente fue tratada con ácido glicólico al 30 % formulado en pomada, como queratolítico, y tras 2 meses presentó una notable mejoría.
DISCUSION
La enfermedad de Darier se debe a mutaciones en el gen ATP2A2, localizado en el brazo largo del cromosoma 12, dentro de la región 12q23-24.1. Este gen codifica las ATPasas transportadoras de calcio, en el retículo endoplasmático 1. La alteración de esta enzima produce un desequilibrio de las concentraciones de calcio en el citoplasma y otras organelas intracelulares.
Se ha demostrado igualmente que la enfermedad de Darier lineal constituye un mosaicismo con mutación en el gen ATP2A22,3. Se reconocen dos tipos de enfermedad de Darier lineal dependiendo de la alteración genética que expresan 4. Fenotípicamente la tipo 1, que corresponde a un mosaicismo poszigótico, se presenta con una distribución lineal sin antecedentes familiares y sin otras manifestaciones de la enfermedad. Por otro lado la enfermedad de Darier segmentaria tipo 2, caracterizada por una distribución difusa combinadas con formas segmentarias o lineales, es el resultado de la pérdida de heterozigosidad en el gen que codifica la bomba de calcio en la zona de piel más intensamente afectada 5.
Histológicamente, el patrón disqueratósico acantolítico que se presenta en esta entidad, aparece también en el disqueratoma acantolítico, la dermatosis acantolítica del área vulvocrural, el disqueratoma acantolítico intertriginoso, la enfermedad de Hailey-Hailey, la dermatosis disqueratótica acantolítica congénita, el nevo epidérmico disqueratósico acantolítico y en la enfermedad de Grover.
Sin embargo, la distribución lineal, la no afectación de las mucosas ni los pliegues y el hecho de que las lesiones no sean congénitas, reduce los diagnósticos diferenciales histológicos a tres entidades: la enfermedad de Darier lineal, el nevo epidérmico disqueratósico acantolítico y la enfermedad de Grover unilateral o segmentaria.
Los nevos epidérmicos se presentan desde el nacimiento como lesiones lineales o formando arabescos. El patrón disqueratósico acantolítico se detecta en el 1,2 % de los casos de nevos epidérmicos 6,7. La controversia comienza en el momento en que se publican casos de nevos epidérmicos disqueratósicos acantolíticos adquiridos8,9, ya que algunos autores, como Ackerman, consideran a éstos al igual que a la ictiosis hystrix y al nevo epidérmico verrugoso inflamatorio lineal (NEVIL), variantes de nevos epidérmicos. En cambio, Happle considera que son variantes lineales de la enfermedad de Darier, lo cual viene apoyado por la demostración a nivel molecular de mutaciones en el gen ATP2A2 en estos casos.
La disqueratosis acantolítica transitoria, o enfermedad de Grover se presenta como pápulas y vesículas principalmente en tronco, acompañada en muchas ocasiones de clínica sistémica como fiebre y malestar general y al igual que la enfermedad de Darier puede empeorar con la luz solar o el sudor. Se han descrito casos de enfermedad de Grover lineal o zosteriforme 10. Es en estos casos donde el diagnóstico diferencial con el Darier lineal plantea problemas. Los casos publicados de Grover lineal, han aparecido de forma súbita tras un cuadro febril, y en edades tardías, datos que irían en contra de un diagnóstico de enfermedad de Darier lineal.
El tratamiento de la enfermedad de Darier lineal suele limitarse a medidas tópicas principalmente con retinoides, habiendo casos descritos de tratamiento con tazaroteno, adapaleno, incluso 5-fluorouracilo. Otras opciones terapéuticas son el láser de CO2 y la crioterapia.
Consideramos que el hecho de que la alteración genética encontrada recientemente en los casos de enfermedad de Darier lineal coincida con la de la forma clásica de la enfermedad, favorece la hipótesis de considerar esta entidad como una variante clínica de la enfermedad de Darier y no como un nevo epidérmico disqueratósico acantolítico.
Declaración de conflicto de intereses
Declaramos no tener ningún conflicto de intereses.
Correspondencia:
Silvestre Martínez.
Avda. Los Botijos. Urb. Altos de la Sierrezuela, 6, C1-1.
Benalmádena Pueblo. Málaga. España.
silvestremg@eresmas.net
Recibido el 26 de octubre de 2005.
Aceptado el 30 de enero de 2006.





