Un varón de 29 años consultó por una lesión localizada en rodilla izquierda asintomática de crecimiento lento y progresivo y de un año de evolución. No recordaba haber padecido ningún traumatismo en la zona. A la exploración se apreció una lesión redondeada de 1cm de color violáceo y de aspecto brillante. Presentaba una mínima erosión en la porción central y algo de descamación periférica. Se palpaba indurada pero no adherida a planos profundos (fig. 1A). A la dermatoscopia no se objetivaban criterios de lesión melanocítica, pero sí vasos de distribución en corona y erosión central con escamas amarillentas (fig. 1B). Se extirpó la lesión con un 1cm de margen de piel sana circundante.
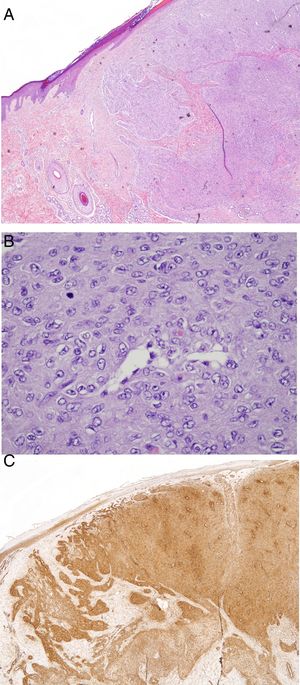
El estudio anatomopatológico mostraba una lesión tumoral dérmica de 9mm de diámetro, compuesta por células ovaladas organizadas de forma concéntrica alrededor de los vasos de pequeño calibre (fig. 2A y B). Presentaba un patrón de crecimiento expansivo, sin presencia de necrosis o pleomorfismo celular, pero con una elevada actividad mitótica (46 mitosis/50 campos de gran aumento; índice proliferativo [Ki-67] del 5%). El estudio inmunohistoquímico reveló la positividad para la actina de músculo liso (fig. 2C) y músculo específico, caldesmón, vimentina y colágeno IV; y fue negativo para CD31, CD34, la proteína S100 y AE1/AE3. No se encontró alteración en la expresión de INI-1.
Seis meses después de la extirpación, el paciente permanecía sin signos clínicos de recidiva local.
¿Cuál es el diagnóstico?
DiagnósticoMiopericitoma.
ComentariosAntiguamente denominado miofibroma cutáneo del adulto, el miopericitoma es un tumor de origen mesenquimal que deriva de los miopericitos, las células musculares que rodean los vasos1. Se considera un tumor benigno de crecimiento lento. Típicamente se presenta en adultos varones de forma solitaria y con un tamaño inferior a 2cm. Afecta a la dermis y el tejido celular subcutáneo en forma de nódulos indoloros, más frecuentemente en las extremidades inferiores2,3. En los pacientes con infección por el VIH la localización suele ser atípica (lengua, cuerdas vocales, hígado, cerebro) y, a menudo, con afectación multifocal. Su aparición puede estar precedida por un traumatismo3,4.
El diagnóstico es histológico, y las pruebas de imagen (ecografía, TAC, RMN) tienen escasa sensibilidad3.
Está constituido por unas células eosinófilas ovaladas o fusiformes de aspecto mioide que presentan un patrón de crecimiento perivascular concéntrico (en forma de manguito) alrededor de vasos de tamaño variable3. Son datos de peor pronóstico: infiltración de tejido celular subcutáneo, atipia, mitosis, necrosis o pleomorfismo nuclear5. Es característicamente positivo para actina de músculo liso, actina músculo específica, vimentina y caldesmón; y negativo para CD34 (células endoteliales) y desmina2–4.
Sus características implican la realización de un diagnóstico diferencial con los siguientes tumores: tumor glómico (células epitelioides cuboideas perivasculares sin patrón concéntrico), angioleiomioma (lesiones más profundas, paredes musculares engrosadas con fibrosis, desmina+), miofibroma solitario (patrón de crecimiento bifásico), angiomiolipoma (S100+) y hemangiopericitoma (patrón vascular en astas de ciervo, CD34+)1.
El tratamiento consiste en la resección quirúrgica amplia, aunque no existen guías que indiquen la amplitud del margen necesario. Dado que el curso es benigno el pronóstico es bueno. Las recidivas locales son raras si la extirpación es completa y los casos de metástasis son excepcionales3,6.
Hemos descrito el caso de un varón de 29 años con un miopericitoma en rodilla izquierda, atípico por su carácter mitóticamente activo. Es importante el seguimiento de estos pacientes, porque a pesar del buen pronóstico de esta entidad, características como la infiltración del tejido celular subcutáneo, la presencia de atipia, mitosis, necrosis o pleomorfismo nuclear aumentan el riesgo de recidiva.
Conflicto de interesesLos autores declaran no tener ningún conflicto de intereses.




