Un varón de 54 años acudió a nuestra consulta para la valoración de una lesión cutánea en la zona parietal de crecimiento progresivo desde su detección el año anterior. Se trataba de una mácula de bordes irregulares, de color marrón oscuro y negro, de 15mm de diámetro mayor (fig. 1).
¿Cuál es su diagnóstico?Enfermedad de Bowen pigmentada (fig. 2).
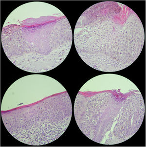
ComentarioLa dermatoscopia mostraba unas áreas pigmentadas de aspecto granular marrones oscuras y negras, con una tendencia a respetar los orificios foliculares, además de zonas de seudorretículo pigmentado. No se observaban áreas hiperqueratósicas, ni costras, ni estructuras vasculares. La piel circundante presentaba signos claros de dermatoheliosis. Una biopsia-extirpación de la lesión confirmó el diagnóstico de enfermedad de Bowen pigmentada (con una clara atipia citológica, con anisocariosis y mitosis anormales, además de ausencia de afectación de los acrosiringios) con una zona central que evidenciaba un infiltrado de patrón liquenoide, con una elastosis solar circundante intensa (fig. 3).
La enfermedad de Bowen se define como un carcinoma intraepidérmico. Se da con más frecuencia en mujeres mayores de 60 años, y se localiza en zonas de fotoexposición crónica. En global puede dar lugar a un carcinoma espinocelular en un 3-5% de los casos1. La variedad pigmentada se considera poco común (menos del 2% según una serie de más de 400 casos2). Se han descrito diferentes hallazgos dermatoscópicos de esta entidad, entre los que se incluyen: descamación blanquecina, costra negra o marrón, áreas que parecen de regresión, presencia de pigmento (marrón o azul-grisáceo en disposición granular, remedando restos de retículo atípico, como glóbulos o como áreas de pigmento de distribución irregular), áreas hipopigmentadas, patrón vascular variable (de predominio glomerular, o bien atípico —puntiforme, lineal, arboriforme o en horquilla—)3–5.
El aspecto clínico y dermatoscópico de la enfermedad de Bowen muestra una gran variabilidad. Con frecuencia pueden ser difíciles de diferenciar de queratosis seborreicas, actínicas o incluso de lesiones melanocíticas en su variante pigmentada.
Hemos descrito un caso de enfermedad de Bowen con una presentación clínica y dermatoscópica inusual. Si bien la epiluminiscencia permitió dar una orientación sobre la naturaleza de la lesión y plantear el diagnóstico diferencial, que como opción más probable incluía la queratosis actínica pigmentada, la realización de biopsia para filiación diagnóstica mediante estudio histológico es fundamental.





