Sr. Director:
El miointimoma es un tumor benigno, que fue descrito por primera vez en el año 2000 por Fetsch et al1. Considerado un tumor raro procedente de la capa íntima de los vasos del cuerpo cavernoso del pene, ha sido incluido en la última revisión de 2006 de la Organización Mundial de la Salud dentro de los tumores genitourinarios como entidad propia. En nuestra revisión de la literatura, con la denominación de miointimoma solo hemos encontrado 17 casos en total. El miointimoma es un tumor que suele localizarse en el glande y la corona del pene y que se manifiesta clínicamente como un nódulo palpable, asintomático y de tamaño variable. Se desarrolla en un periodo variable de días a meses (4 días a 6 meses)2, pero a pesar de la velocidad de crecimiento no se trata de un tumor agresivo. Se puede presentar a cualquier edad, existiendo casos descritos desde los 2 a los 61 años1. No está relacionado con historia traumática en la zona, ni con la existencia o no de circuncisión, ni otro tipo de patologías (enfermedades del tejido conectivo, diabetes mellitus u otra enfermedad autoinmune).
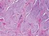
Histológicamente se caracteriza por una proliferación multinodular mesenquimal que procede del cuerpo cavernoso del pene. Las características microscópicas que pueden permitir diagnosticarlo incluyen la presencia de una capa de células con forma de huso que presentan un patrón estrellado con citoplasma eosinofílico, fijo sobre una matriz fibromixoide. Está localizado a nivel intravascular en forma de nódulos que ocupan la luz endotelial. No se acompaña de infiltrado inflamatorio importante ni se objetivan mitosis abundantes, ni necrosis. En la periferia del tumor se observan haces de células de músculo liso. Los estudios inmunohistoquímicos, a pesar de no ser imprescindibles para el diagnóstico del tumor, sí ayudan para el diagnóstico diferencial con otros tumores de presentación similar. Las células resultan positivas para alfa SMA, vimentina y desmina (origen mioide), mientras que son negativas para S-100 (melanocítico), CD34, CD31, EMA y factor VIII (origen endotelial). El estroma periférico de los nódulos resulta ser positivo para CD34, CD31, NSE y factor VIIIag. Con tinciones especiales, como la tinción van Gieson, se objetivan abundantes fibras elásticas periféricas a las formaciones nodulares1,2.
A pesar de que los tumores del glande suelen ser raros, sí es cierto que hay que hacer el diagnóstico diferencial3,4 con otros tumores que se presentan clínicamente como nódulos asintomáticos, diferenciándose histológicamente del miointimoma. Entre ellos cabe destacar los siguientes: miofibroma, fascitis nodular, leiomioma, schwannoma plexiforme, mixoma del nervio y tumor fibrohistiocítico plexiforme. De todos ellos, es el miofibroma el principal diagnóstico a tener en cuenta, ya que muchos autores consideran el miointimoma una forma de miofibroma, pero de localización exclusiva en el pene, con ocupación de la luz vascular de los senos cavernosos, a pesar de que histológicamente son idénticos, con un patrón inmunohistoquímico similar4.
El tratamiento de elección es la extirpación quirúrgica, pero debido a la tendencia a mantenerse estable, e incluso a involucionar, en la mayoría de los casos se opta por el seguimiento del mismo. De la serie de Fetsch1, 8 casos remitieron y solo uno persistió tras varios años de seguimiento; de los 5 casos de McKenney2, ninguno recidivó tras la extirpación, como también ocurre en los casos de Robbins5 y Vardar6.
Presentamos a un varón de 74 años, con serología positiva de virus C y con hiperplasia benigna de próstata como únicos antecedentes de interés, que consultaba por un nódulo duro y asintomático en el glande, de 4 meses de evolución. No refería antecedente previo de traumatismo. En la exploración física presentaba un nódulo palpable, bien delimitado, de menos de 1cm de tamaño, situado al lado derecho del glande, cerca del surco balano-prepucial, que a simple vista no se objetivaba. En superficie no había alteraciones, cambios de coloración ni signos de inflamación. No presentaba clínica acompañante.
Se hizo un estudio anatomopatológico, en el que se objetivaron cambios histológicos diagnósticos de miointimoma (formaciones nodulares procedentes de la capa íntima de los vasos cavernosos, constituidas por células alargadas, sin atipias ni mitosis) (figs. 1 y 2). Debido a la benignidad de la lesión, se decidió seguimiento en consulta. A los 10 meses de seguimiento tras la biopsia, el nódulo persiste sin cambios estructurales ni sintomáticos.
Conflicto de intereses
Declaramos no tener ningún conflicto de intereses.




