Se describe el caso de una mujer de 24 años de edad con una tumoración subcutánea localizada en la región pubiana inferior izquierda cuyo estudio histopatológico mostró una mama ectópica. Las lesiones tumorales vulvares son poco frecuentes y la presencia de tejido mamario ectópico a nivel vulvar es extremadamente rara. El motivo de consulta en estos casos suele ser el aumento de tamaño fluctuante en relación con cambios hormonales, generalmente secundarios al embarazo o la lactancia, o con alteraciones tumorales asociadas. El caso que se presenta mostraba un crecimiento progresivo sin aparente causa hormonal o neoplásica subyacente, se trataba por tanto de una mama ectópica con clínica de tumoración subcutánea.
We describe a 24-year-old woman with a subcutaneous swelling in the left inferior pubic region. Histology revealed ectopic breast tissue. Vulvar tumors are uncommon and the presence of ectopic breast tissue in this region is extremely rare. In these cases, patients usually consult for a mass that varies in size with hormonal changes, typically during pregnancy or breast-feeding, or that has associated neoplastic changes. In our patient, the mass had grown progressively with no identifiable underlying hormonal association or neoplasm. We therefore classified it as ectopic breast tissue presenting as a subcutaneous mass.
El tejido mamario tiene su origen en el ectodermo embrionario. La denominada «línea mamaria» se extiende desde la axila hasta la cara medial de la ingle1. Durante la embriogénesis se produce una regresión espontánea de este tejido, a excepción del situado en la región torácica que da lugar a las mamas en el adulto.
Cuando se produce un fallo en la regresión de la línea mamaria fuera de la región pectoral, condiciona el desarrollo de estructuras mamarias ectópicas. Se observan con mayor frecuencia en la región axilar, siendo la localización vulvar extremadamente rara1.
Caso clínicoSe describe el caso de una mujer de 24 años de edad que fue valorada en la consulta de Dermatología por una tumoración vulvar de dos años de evolución, que había experimentado un crecimiento progresivo en los últimos seis meses. Acudió previamente a la consulta de Ginecología, donde se le diagnosticó de un posible lipoma y se indicó control evolutivo.
La paciente no presentaba historia personal ni familiar de lesiones similares; no había tenido embarazos previos y el crecimiento progresivo de la lesión no guardaba relación con el ciclo menstrual, aunque sí refería sensación de tensión durante la fase premenstrual que se aliviaba con la menstruación. La única medicación asociada consistía en anticonceptivos orales (etinilestradiol con acetato de clormadinona) iniciados cuatro años atrás.
La exploración clínica mostró una tumoración subcutánea de 1,5cm de diámetro, más palpable que visible, sin alteración de la piel suprayacente, móvil y no adherida a planos profundos, de consistencia elástica y discretamente dolorosa a la palpación (fig. 1). No se objetivaron adenopatías inguinales.
Bajo anestesia local y sedación, se procedió a la extirpación quirúrgica de la lesión (enucleación). Durante la intervención se objetivó que la tumoración ocupaba todo el labio mayor y se extendía en profundidad, con un tamaño de 4,5 x 2,5 x 2,4cm, mucho mayor del valorado en la exploración inicial.
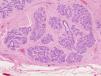
Macroscópicamente se identificó una lesión nodular de apariencia tumoral de morfología ovoidea polilobulada, con una fina pseudocápsula fibrosa altamente vascularizada. Al corte presentaba una superficie homogénea, de coloración rosada-parda, aspecto fibroso sin focos de necrosis y consistencia elástica (fig. 2). El estudio histológico mostró una lesión nodular bien delimitada (fig. 3), no encapsulada constituida por tejido mamario, con ductos de luces discretamente dilatadas tapizadas por un doble revestimiento de células epiteliales y mioepiteliales, con imágenes puntuales de metaplasia apocrina ductal. La población lobulillar presentaba una arquitectura conservada. El estroma era fibroso y ricamente vascularizado (fig. 4).
Se solicitaron una ecografía abdominal que descartó malformaciones asociadas y una exploración ginecológica que no reveló hallazgos significativos. La evolución tras 2 meses de la intervención quirúrgica fue satisfactoria, sin objetivarse otras lesiones en la línea mamaria ni a nivel vulvar.
DiscusiónLas glándulas mamarias ectópicas tienen su origen en un fallo en la regresión de los remanentes de la línea mamaria fuera de la región pectoral. Su desarrollo es más frecuente en mujeres, siendo generalmente casos esporádicos aunque se han descrito también formas familiares2. Su localización es variable, siendo la axilar la más habitual, afectando a un 60-70% de los pacientes. En contraste, la afectación vulvar o suprapúbica es extremadamente rara con pocos casos descritos hasta el momento actual2 (tabla 1).
Revisión de casos publicados hasta la actualidad de mamas ectópicas vulvares sin cambios tumorales
| Caso | Clínica | Edad | Localización | Referencia | Tratamiento | |
| 1 | Aumento de tamaño progresivo doloroso | 18 | En edad reproductiva, nulípara | Púbica izquierda | Hong et al.2 | Extirpación quirúrgica |
| 2 | Aumento cíclico de tamaño coincidiendo con ciclo menstrual, secreción láctea y pezón supernumerario | 17 | Edad reproductiva, nulípara | Púbica derecha | Mak et al.7 | Extirpación quirúrgica |
| 3 | Aumento progresivo de tamaño hasta 2cm | 45 | Posmenopausia, nulípara | Labio menor izquierdo | England et al.8 | Extirpación quirúrgica |
| 4 | Aumento de tamaño durante gestación | 31 | En edad reproductiva, multípara | Abdominal, axilar bilateral y vulvar derecha | Pathak et al.1 | Extirpación quirúrgica |
| 5 | Aumento de tamaño cíclico premenstrual cediendo con la menstruación | 41 | No referidos | Paraclitoroideo derecho | Duvvur et al.9 | Extirpación quirúrgica |
| 6 | Aumento doloroso de tamaño durante embarazo y desaparición al finalizar lactancia | 31 | En edad reproductiva, multípara | Labio mayor derecho | Bardsley et al.10 | Extirpación quirúrgica |
| 7 | Aumento de tamaño durante gestación y secreción láctea en postparto. Pezón supernumerario. | 20 | En edad reproductiva, primigrávida | Perineal izquierda | Basu et al.11 | Extirpación quirúrgica |
| 8 | Aumento de tamaño durante gestación | 30 | En edad reproductiva, multípara | Bilateral en labios mayores | Kapila et al.12 | Control evolutivo |
| 9 | Vulvodinia desde los 10 años de edad | 53 | Posmenopausia. | Bilateral en labios mayores e infraclitoroidea | Cobellis et al.13 | Extirpación quirúrgica |
| No relaciones sexuales ni embarazos previos | ||||||
| 10 | Aumento de tamaño con lactancia | 29 | En edad reproductiva, multípara | Paraclitoroidea izquierda | Reeves et al. 14 | Extirpación quirúrgica |
| 11 | Aumento de tamaño no doloroso durante la gestación | 29 | En edad reproductiva, multípara | Bilateral en labios mayores. | Levin et al.15 | Vulvectomía parcial |
Las lesiones se hacen sintomáticas en la menarquía, el embarazo y la lactancia. Se producen fluctuaciones cíclicas con la menstruación, pudiendo asociar aumento del tamaño y secreción láctea durante el embarazo y la lactancia.
Se han descrito cambios patológicos benignos como fibroadenomas3, cambios fibroquísticos, tumores filoides y papilomas intraductales; así como lesiones malignas como carcinomas, adenocarcinomas, y degeneración sarcomatosa; aunque no existen datos que indiquen que estas alteraciones sean más frecuentes en las mamas ectópicas2. La presencia de politelia también se ha asociado con malformaciones y tumores del tracto urogenital4,5.
La histopatología de estas lesiones muestra las típicas glándulas revestidas por epitelio cuboidal, inmersas en un estroma fibroso con presencia de componente mioepitelial, pudiendo contener tanto parénquima mamario como areola y pezón. Actualmente se plantea la distinción entre tejido mamario ectópico y mammary-like anogenital glands (MLG, ‘glándulas anogenitales similares a las mamarias’) cuya localización es más medial y próxima a los labios menores vulvares6, presentando un número mayor de glándulas pero una configuración mucho más simple.
A nivel vulvar, el diagnóstico diferencial de estas lesiones incluye el carcinoma de vulva, las alteraciones de las glándulas de Bartholino, el quiste epidérmico y la hernia crural. Los cambios de tamaño cíclicos con la menstruación o la clínica desarrollada durante el embarazo o la lactancia, apoyan el diagnóstico de mama ectópica y suelen precipitar la consulta. El aumento progresivo de tamaño debido a la aparición de neoplasias asociadas es también un frecuente motivo de consulta en estos pacientes. El estudio histopatológico es obligatorio para la confirmación clínica y para descartar la presencia de una neoplasia. La realización de una ecografía permite valorar la posible existencia de malformaciones o tumoraciones del tracto genitourinario asociadas.
En el caso descrito, la paciente no presentaba antecedentes de embarazo o lactancia previa y el estudio histopatológico mostró tejido mamario ectópico sin neoplasia asociada. Se trataba, a diferencia de la mayor parte de los casos descritos en la literatura, de un crecimiento progresivo sin aparente relación con el inicio de los anticonceptivos orales años atrás ni con cambios neoplásicos. Es, por tanto, un raro caso de mama ectópica vulvar en una joven de 24 años, que debutó como una masa subcutánea de origen incierto, sin un claro factor hormonal o tumoral implicado en el crecimiento súbito de la lesión. Es importante recordar esta entidad en el diagnóstico diferencial de las lesiones vulvares y la necesidad de extirpación quirúrgica por el riesgo de malignización del tejido ectópico.
Conflicto de interesesLos autores declaran que no tienen ningún conflicto de intereses.







