HISTORIA CLINICA
Mujer de 42 años, con antecedentes de hipertensión arterial esencial de 9 años de evolución, en tratamiento con nifedipino, consultó por presentar desde hacía 3 años lesiones en ambos miembros inferiores. La paciente había sido valorada por su médico de familia, que interpretó el cuadro como una toxicodermia secundaria al nifedipino, y sustituyó este fármaco por enalapril y pautó corticoides tópicos sin que la paciente presentara mejoría alguna durante un año y medio de seguimiento.
EXPLORACION FISICA
En la exploración, presentaba maculopápulas violáceas múltiples de 3-4 cm de diámetro, indoloras, distribuidas en miembros inferiores (fig. 1) y algunas lesiones de reciente aparición en miembros superiores. Las lesiones se agrupaban y ofrecían una imagen de livedo reticular (fig. 2).
Fig. 1.--Máculas y pápulas eritematosas en miembros inferiores.
Fig. 2.--Lesiones localizadas en región suprapatelar derecha con aspecto de livedo reticular.
EXPLORACIONES COMPLEMENTARIAS
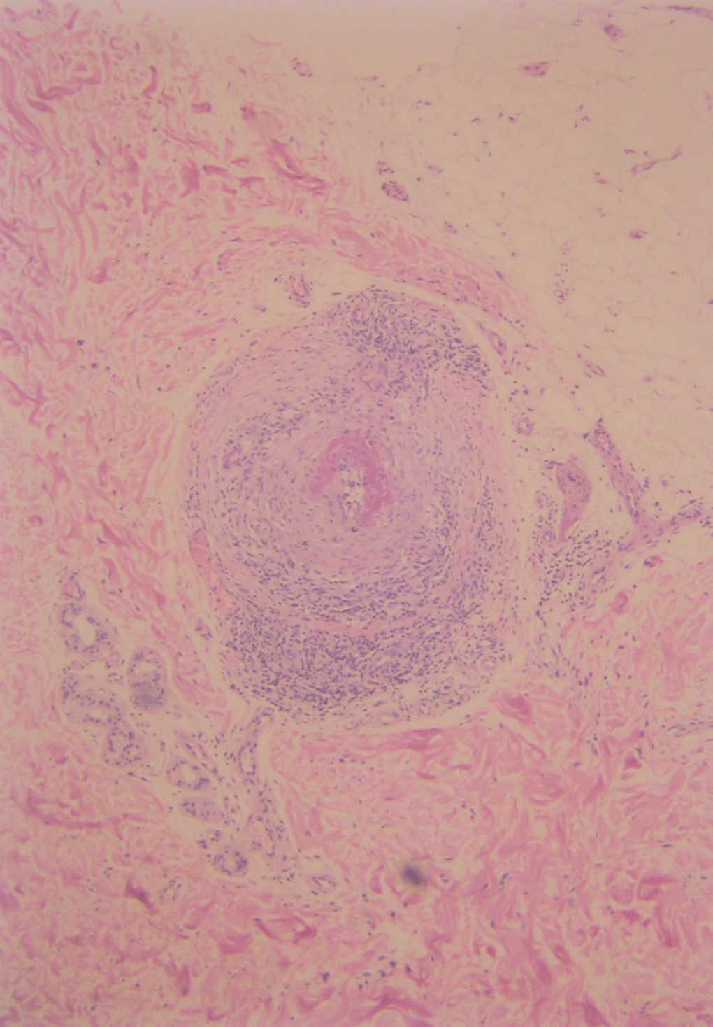
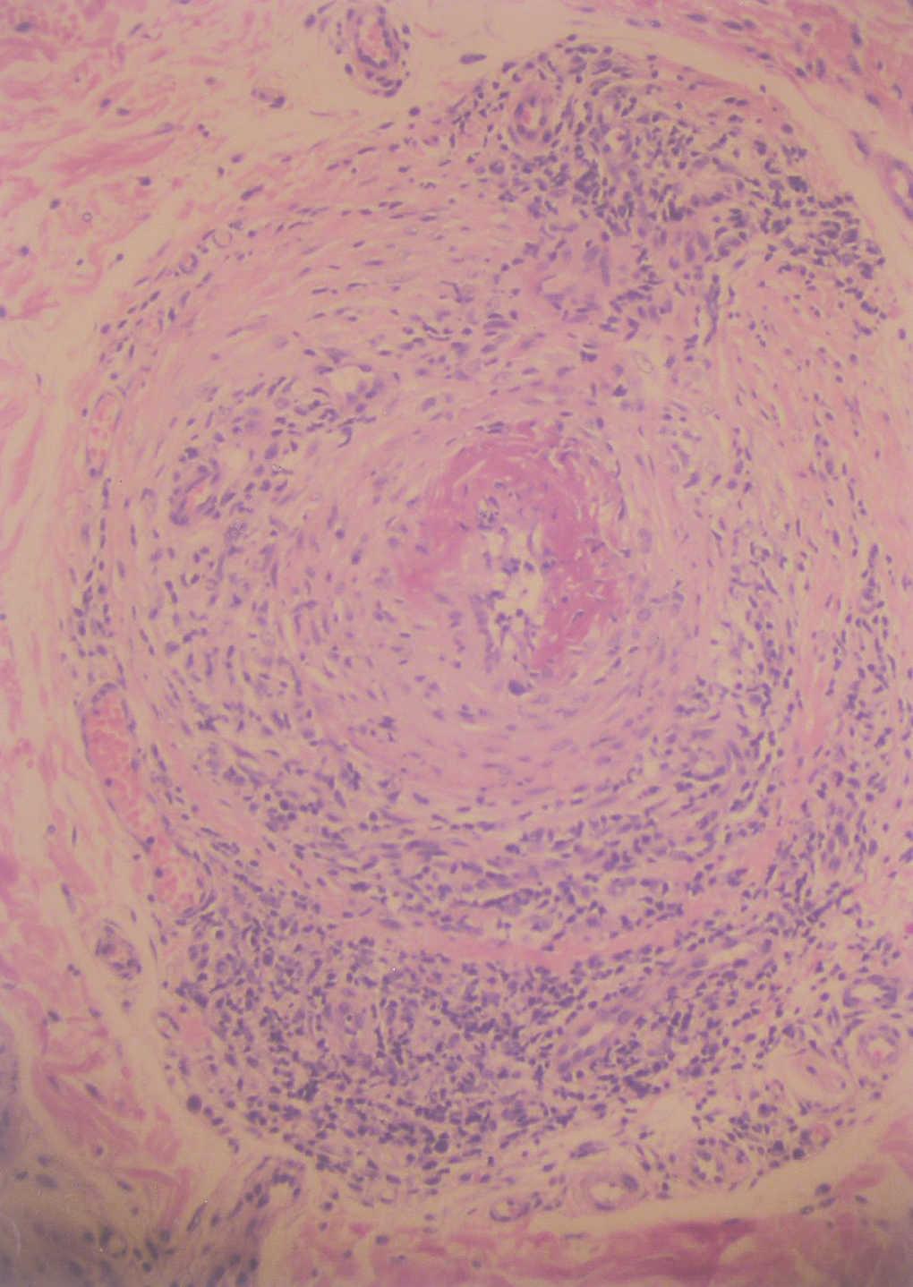
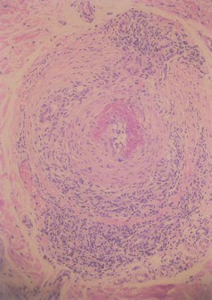
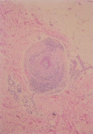
En la analítica practicada se detectó una velocidad de sedimentación globular (VSG) de 34 mm/h. El resto de estudios analíticos practicados fueron normales: función hepática y renal, iones, proteinograma, creatinfosfocinasa, lactato deshidrogenasa, amilasa, C3, C4, anticuerpos antinucleares (ANA), anticuerpos antimitocondriales, anticuerpos anticitoplasma de neutrófilo (ANCA), anticuerpos anti-nADN, anticuerpos anticardiolipina IgG e IgM, anticuerpos antifactor reumatoide, anti-Scl 70, anticuerpos anti-VIH y HBsAg. Se realizó una biopsia cutánea (figs. 3 y 4).
Fig. 3.--Arteritis de un vaso de mediano tamaño localizado en dermis reticular profunda. (Hematoxilina-eosina, x20.)
Fig. 4.--Detalle histológico de la arteritis con infiltración linfocitaria. (Hematoxilina-eosina, x40.)
DIAGNOSTICO
Panarteritis nudosa cutánea (PANC).
HISTOPATOLOGIA
En la biopsia cutánea se apreciaba una arteria de mediano calibre en la porción inferior de la dermis reticular, con un infiltrado predominantemente linfocitario dispuesto entre y alrededor de las capas de la arteria. La arteria presentaba signos de necrosis fibrinoide (figs. 3 y 4).
EVOLUCION Y TRATAMIENTO
Las exploraciones complementarias realizadas para valorar la extensión de la enfermedad (radiografía de tórax, ecografía abdominal, ecografía Doppler color de arterias abdominales) no mostraron alteraciones. La ecografía Doppler color de la arteria renal no mostraba dilataciones aneurismáticas ni alteraciones del flujo. La resonancia magnética cerebral y la espirometría pulmonar no mostraron alteraciones significativas.
Se inició tratamiento con deflazacort, 30 mg diarios, y las lesiones desaparecieron en un mes, y disminuyendo la dosis a 6 mg diarios. Seis meses después del inicio del tratamiento, la paciente se encuentra asintomática con la administración de 6 mg a días alternos.
COMENTARIO
La panarteritis nudosa (PAN) se define como una vasculitis necrosante sistémica que afecta a las arterias de mediano calibre de los riñones, el corazón, el hígado y la piel. La PANC afecta a la piel y al sistema musculoesquelético 1. El primer caso de PANC se descubrió en 1931 2, pero no fue hasta 1980 cuando se constituyó el concepto de que se trataba de dos entidades independientes. En 1990 el colegio Americano de Reumatología definió los criterios de PAN 3; sin embargo, la PANC no dispone de criterios diagnósticos específicos, y se caracteriza por episodios recidivantes autoinvolutivos de lesiones con ausencia de afectación sistémica y curso prolongado 4. Se presenta entre los 5 y los 68 años de edad 5. Afecta a la piel, los músculos y las articulaciones. Es infrecuente la aparición de sintomatología sistémica, fiebre, malestar general, mialgias difusas y artralgias 5.
Las lesiones cutáneas son papulonodulares, de 0,5 a 2 cm de diámetro, y en el 50 % de los casos están ulceradas. Los nódulos se presentan aislados o en grupo, en tobillos, pies y piernas, y su color varía de rosado a azulado. El borde de las úlceras es irregular. Con frecuencia las lesiones papulonodulares se acompañan de un fenómeno de livedo reticular en miembros inferiores. Las lesiones persisten durante meses, y recidivan en la misma localización 6. En los niños se manifiesta por erupciones cutáneas inespecíficas, fiebre y artritis, y la biopsia cutánea es la que aporta el diagnóstico en la mayor parte de los casos 7.
En las exploraciones complementarias destaca una elevación de la VSG (> 50 mm/h), aumento de la creatinina sanguínea, leucocitosis con eosinofilia, anemia normocítica y trombocitosis. Ocasionalmente los ANCA son positivos. Las crioglobulinas y los ANA resultan negativos 8,9.
El diagnóstico de la PANC se basa en la biopsia cutánea, y es específico el hallazgo de una arteritis necrosante en la dermis reticular o tejido celular subcutáneo. A diferencia de la PAN, en la arteriografía de la PANC no se aprecian aneurismas en la arteria hepática o renal.
En el estudio anatomopatológico se aprecia una arteritis de vasos de mediano calibre dispuestos en la dermis reticular profunda y el tejido celular subcutáneo, predomina un infiltrado neutrofílico asociado en ocasiones a necrosis fibrinoide y vasculitis leucocitoclástica. Los polimorfonucleares se sitúan en la pared del vaso donde se observan depósitos de material fibrinoide 10.
En la actualidad no disponemos de información que identifique el origen de la PANC. Esta se ha asociado a la enfermedad de Crohn, colitis ulcerosa, tuberculosis, hepatitis B, hepatitis C, e infección por estreptococo B 11,12.
La PANC evoluciona de forma crónica y recidivante, pero no se trata de una enfermedad letal. Las remisiones se producen de forma espontánea o tras corticoterapia por vía oral. El porcentaje de pacientes con PANC que evolucionan a PAN varía según las series consultadas de un 10 a un 70 % 9,13. La aparición del cuadro a edades tempranas se asocia con peor pronóstico de la enfermedad 13.
El tratamiento de primera elección son los corticoides orales, aunque se han empleado antibióticos, inmunosupresores, sulfasalazina, pentoxifilina, danazol, colchicina e inmunoglobulinas por vía intravenosa 14. La mayoría de los pacientes permanecen en remisión con bajas dosis de corticoides orales. Es de gran importancia controlar episódicamente al paciente, ya que en ocasiones la PANC puede transformarse en una PAN 15. Con el empleo de metotrexato a bajas dosis (15 mg/semana por vía intramuscular), las lesiones involucionan en 2 semanas 15. En los niños se emplean aspirina, corticoides y metotrexato.






