INTRODUCCION
Presentamos tres pacientes con sendas máculas melanóticas reticuladas localizadas en áreas fotoexpuestas. Se trata de una lesión pigmentada de reciente descripción, denominada lentigo negro reticulado o en mancha de tinta, que puede ocasionar problemas de diagnóstico diferencial tanto desde el punto de vista clínico como histopatológico.
DESCRIPCION DE LOS CASOS
Caso 1
Mujer de 26 años de edad, que acudió a consulta por presentar una lesión pigmentada asintomática, de unos dos o tres años de evolución en el lóbulo del pabellón auricular izquierdo. En la exploración física se observaba una pequeña mácula intensamente pigmentada, de unos 3 a 4 mm de diámetro, con bordes dentados e irregulares (fig. 1).
Fig. 1.--Pequeña mácula intensamente pigmentada, de alrededor de 3 a 4 mm de diámetro, con bordes dentados e irregulares en el lóbulo de la oreja.
Caso 2
Varón de 58 años de edad, sin antecedentes patológicos de interés, que consultó por una lesión pigmentada en la región deltoidea derecha, sin poder especificar su duración. En la exploración física se apreciaba una mácula hiperpigmentada de bordes irregulares, angulosos y dentados, de aproximadamente 5 mm de diámetro acompañada por numerosos lentigos solares de coloración parduzca y homogénea (fig. 2).
Fig. 2.--Mácula hiperpigmentada de bordes irregulares, angulosos y dentados, de aproximadamente 5 mm de tamaño, rodeada por numerosos lentigos solares de coloración parduzca y homogénea.
Caso 3
Varón de 70 años con antecedentes de varios epiteliomas basocelulares extirpados en nuestro servicio; en una de sus revisiones periódicas se apreció la existencia de tres lesiones intensamente pigmentadas, sin ninguna sintomatología subjetiva asociada. En la exploración física se observó en la frente y región preauricular izquierda (fig. 3) tres lesiones maculosas, pigmentadas, de aspecto reticular, con bordes irregulares y dentados.
Fig. 3.--Lesión maculosa, pigmentada, de aspecto reticular, con bordes irregulares y dentados en región preauricular.
Histopatología
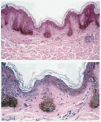
En los tres casos se realizó extirpación quirúrgica de las lesiones. El estudio histopatológico demostró una epidermis lentiginosa con hiperpigmentación de los extremos inferiores de sus crestas, escasa pigmentación de la epidermis recubriendo las papilas dérmicas, y sin aumento llamativo del número de los melanocitos (fig. 4), estableciéndose así el diagnóstico de lentigo negro reticulado.
Fig. 4.--Características histopatológicas del lentigo negro reticulado. A: epidermis lentiginosa. B: hiperpigmentación del extremo inferior de las crestas epidérmicas con escaso pigmento melánico en la epidermis entre crestas. No se observa incremento en el número de melanocitos.
DISCUSION
El lentigo negro reticulado o lentigo «en mancha de tinta» (ink spot) fue descrito por Bolognia en el año 19921 como una lesión hiperpigmentada de color negro muy oscuro con bordes irregulares y angulosos, de aspecto reticulado, que aparecía preferentemente en áreas fotoexpuestas, considerándola una variante de lentigo solar. Su nombre se debe a su patrón reticulado, que simula una pequeña mancha de tinta china sobre la piel. Su importancia deriva del hecho de que la lesión puede ser interpretada desde el punto de vista clínico como un melanoma in situ. Sin embargo, el estudio histopatológico demuestra una hiperpigmentación del extremo inferior de las crestas epidérmicas, sin aumento del número de melanocitos.
Tres años más tarde, Kaddu et al2 estudiaron 5 casos de esta lesión hiperpigmentada, llegando a la conclusión de que no se trataba, en realidad, de un tipo de lentigo solar, ya que la lesión no muestra ni la arquitectura ni la citología de éste. Estos autores consideraron el lentigo negro reticulado como una entidad específica, caracterizada por una aberración en la función de los melanocitos, que producen más pigmento del habitual, sin ninguna alteración en su número, mientras que el lentigo solar es una neoplasia de los queratinocitos epidérmicos.
Nosotros también creemos que el lentigo negro reticulado es una entidad independiente y específica, y aunque su aspecto clínico, que consiste en una mácula de color negro azabache y bordes irregulares, puede plantear el diagnóstico diferencial con un pequeño melanoma in situ, el estudio histopatológico resuelve de forma sencilla este problema.
El diagnóstico diferencial histopatológico debe establecerse con el lentigo solar, el lentigo simple o juvenil, las efélides o pecas y las máculas melanóticas de mucosa bucal o genital. Para establecer este diagnóstico diferencial3 se deben analizar 4 parámetros distintos (fig. 5):
Fig. 5.--Esquema del diagnóstico diferencial histopatológico del lentigo negro reticulado.
1) Epidermis.
2) Tamaño de los queratinocitos.
3) Hiperpigmentación.
4) Número de melanocitos.
El lentigo solar o senil es una lesión epitelial en la que se observa una hiperplasia epidérmica de tipo lentiginoso; los queratinocitos son de mayor tamaño que el habitual, la hiperpigmentación es homogénea a lo largo de la capa basal de la epidermis, y el número de los melanocitos es normal, aunque pueden estar aumentados de tamaño.
El lentigo simple o juvenil se caracteriza histopatológicamente por una proliferación de los melanocitos en la capa basal de la epidermis, como unidades aisladas y sin llegar a constituir los nidos de un nevo juntural. Se observa una hiperplasia lentiginosa de la epidermis, con queratinocitos de tamaño normal y una pigmentación homogénea de la capa basal de la epidermis.
Las efélides o pecas y las máculas melanóticas de las mucosas presentan una epidermis normal, sin hiperplasia; el tamaño de los queratinocitos es normal y se observa una hiperpigmentación homogénea de la capa basal epidérmica con número normal de los melanocitos. Por tanto, no existe proliferación melanocítica, pero sí aumento en la producción del pigmento melánico.
En el lentigo negro reticulado o «en mancha de tinta» existe una hiperplasia lentiginosa de la epidermis, el tamaño de los queratinocitos está conservado, y de forma característica se aprecia una intensa hiperpigmentación de los extremos inferiores de las crestas epidérmicas, sin apenas pigmento en las placas suprapapilares de la epidermis. No existe incremento en el número de los melanocitos.
En resumen, debido al carácter lentiginoso de la epidermis nosotros creemos que la mejor denominación para esta lesión es la de lentigo negro reticulado. Se trata de una entidad independiente que se debe conocer porque plantea problemas en el diagnóstico diferencial clínico con un pequeño melanoma maligno en estadios iniciales. Desde el punto de vista histopatológico los hallazgos son característicos y permiten establecer el diagnóstico diferencial con otras lesiones pigmentadas.







