INTRODUCCION
Las histiocitosis son un grupo heterogéneo de enfermedades, reactivas o malignas, en las cuales diversos tejidos, incluida la piel, son infiltrados por células del sistema monocito-macrófago. Se solían clasificar como histiocitosis de células de Langerhans (HCL) e histiocitosis de células no Langerhans. Esta división había sido aceptada pero con restricciones. Además, el uso de epónimos dificultaba la comprensión de estas entidades. La clasificación de la Sociedad Internacional del Histiocito, adoptada ya globalmente, las distribuye en tres grupos, y ha resultado particularmente útil para las HCL. Sin embargo, respecto de las histiocitosis de células no Langerhans, en las que aún impera una confusión considerable, se está imponiendo la opinión de que en realidad se trata de un espectro continuo de enfermedades estrechamente relacionadas.
DESCRIPCION DEL CASO
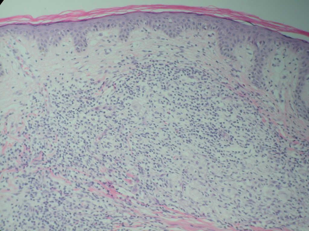
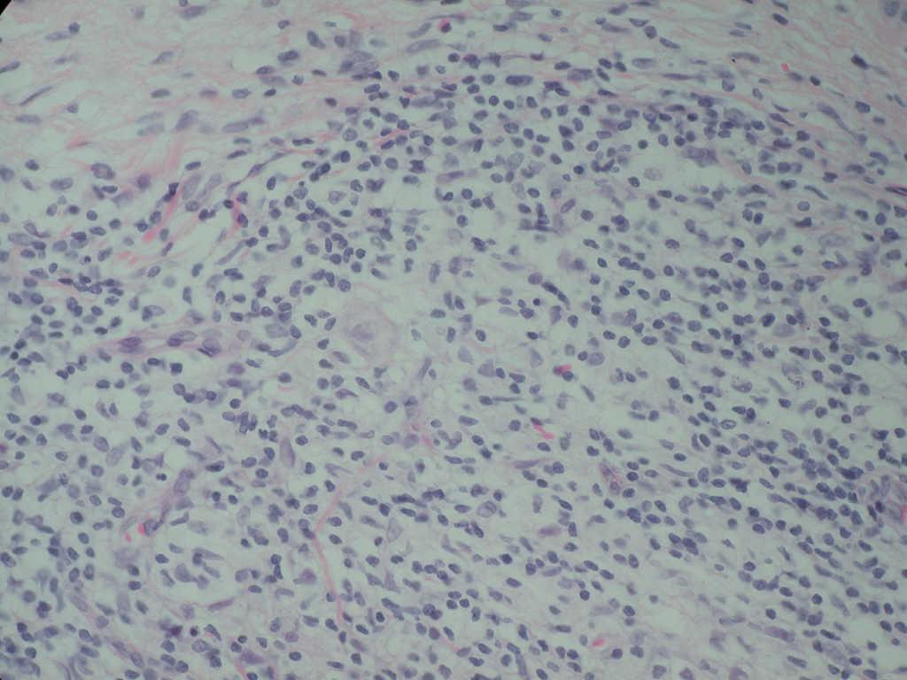
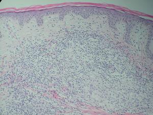
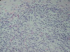
Un varón de 64 años consultó por múltiples lesiones cutáneas, asintomáticas, de 4 meses de evolución, distribuidas simétricamente por el tronco y las regiones proximales de las extremidades. Las lesiones habían comenzado en la región lumbar, en la misma localización de una cirugía previa de hernia discal y habían ido aumentando en número durante las siguientes 4 semanas. No había afectación de cuero cabelludo, palmas, plantas ni mucosas. No había tomado medicamentos ni tenía historia de picaduras de insectos previas a la aparición de estas lesiones. En su historial médico sólo eran relevantes una úlcera gástrica sangrante hacía 11 años y quistes hepáticos detectados por ecografía. A la exploración se observaban múltiples pápulas eritematoparduscas, redondeadas, no confluyentes, de 1 a 3 mm de diámetro. Eran discretas, de ligeramente elevadas a hemisféricas, y firmes a la palpación (figs. 1 y 2). No se palpaban linfadenopatías ni hepatoesplenomegalia. Los exámenes oftalmológicos, pruebas de imagen craneales y torácicas y una ecografía abdominal no revelaron ningún hallazgo patológico. Los estudios de laboratorio que incluyeron análisis de sangre rutinario con hematología y bioquímica, análisis de orina y velocidad de sedimentación eritrocitaria, fueron normales. No se encontró afectación visceral. Se realizó una biopsia (figs. 3 y 4). Los cortes teñidos con hematoxilina-eosina revelaron un denso infiltrado cuneiforme que ocupaba toda la dermis y estaba compuesto por histiocitos, linfocitos y escasos eosinófilos. Los histiocitos contenían núcleos claros y grandes con escasa cromatina y citoplasma vacuolado y mal delimitado. No se encontraron células gigantes. La tinción con azul alcián mostró depósito de mucina en dermis superior. El estudio inmunohistoquímico demostró que las células histiocitarias eran positivas para KP1 (CD68), pero negativas para CD34, S100, CD1a y factor XIIIa, mientras que las células linfocitarias mostraban positividad para LCA. Además, se halló positividad focal para Mac387. La microscopia electrónica no pudo revelar gránulos de Birbeck. Se estableció un diagnóstico de histiocitoma eruptivo generalizado (HEG) teniendo en cuenta criterios clínicos, histopatológicos, ultraestructurales e inmunohistoquímicos.
Fig. 1.--Múltiples pápulas eritematoparduscas en el tronco del paciente.
Fig. 2.--Cara lateral del tronco.
Fig. 3.--Infiltrado dérmico que muestra histiocitos vacuolados con linfocitos y eosinófilos aislados. (Hematoxilina-eosina, x100.)
Fig. 4.--Imagen de gran aumento. (Hematoxilina-eosina, x200.)
El paciente recibió tratamiento con psoraleno y radiación ultravioleta A (PUVA) 1 y acudió a revisiones cada mes. Si bien inicialmente el cuadro clínico mejoró, durante el seguimiento se desarrollaron nuevos brotes.
DISCUSION
En 1987, la Sociedad Internacional del Histiocito recomendó dividir los trastornos histiocitarios, caracterizados antes de manera laxa en HCL e histiocitosis de células no Langerhans, en tres clases: clase I o HCL, clase II o histiocitosis de células no Langerhans y clase III o trastornos histiocitarios malignos 2. Esta clasificación ha sido ampliamente adoptada y se ha revelado particularmente útil para las HCL. Recientemente, patólogos, hematólogos pediátricos y oncólogos del Comité de la Organización Mundial de la Salud para las enfermedades proliferativas del sistema reticulohistiocitario y de la Sociedad Internacional del Histiocito propusieron una pequeña revisión que tiene en cuenta el linaje y el comportamiento biológico de las células lesionales 3. Los tres grandes grupos se llaman ahora: a) trastornos relacionados con la célula dendrítica, de los cuales la HCL es de lejos la más frecuente; b) trastornos relacionados con el macrófago, y c) trastornos malignos. Las células dendríticas y los macrófagos, estrechamente relacionados, se desarrollan a partir de un precursor común, y habría una modulación continua tanto entre las respectivas formas precursoras como entre una y otra 4. Es probable que exista modulación entre monocitos y células dendríticas propiamente dichas hasta fases avanzadas de diferenciación 5.
Según criterios clínicos, histológicos, ultraestructurales e inmunohistoquímicos, el diagnóstico de nuestro paciente es más compatible con HEG, a pesar de que el factor XIIIa es negativo. La microscopia no reveló gránulos de Birbeck, al tiempo que CD1a y S100 fueron negativos. Así, se descartó la histiocitosis de clase I, aunque hay que tener en cuenta que existe un complejo solapamiento entre las HCL y el xantogranuloma juvenil (XGJ), con lesiones que reflejan características clínicas y/o patológicas de ambos trastornos 6. Entre las histiocitosis de clase II, la histiocitosis cefálica benigna (HCB) se presenta clínicamente sólo en niños y se localiza en cabeza y cuello. No obstante, hay variantes que tienden a seguir una distribución generalizada, incluidos el xantogranuloma diseminado (XD), el HEG, la histiocitosis nodular progresiva (HNP), y la reticulohistiocitosis multicéntrica (RHM). Las histiocitosis lipídicas, con el xantoma papular (XP), el XD y el XGJ, se excluyeron a la vista del color de las lesiones y por la ausencia tanto de células espumosas como de células gigantes de Touton. La RHM encajaría en cuanto a la edad de comienzo (generalmente de la cuarta a la sexta décadas de la vida), pero se descartó por la distribución de las lesiones (predominan en la mitad superior del cuerpo), y por la ausencia de artritis. Otras formas recientemente descritas y poco frecuentes de histiocitosis de células no Langerhans 7 como el síndrome del histiocito azul marino, la enfermedad de Erdheim-Chester (EEC) y la histiocitosis mucinosa progresiva hereditaria poseen características clínicas, histológicas e inmunohistoquímicas bastante distintivas (a pesar de la producción de mucina en los histiocitos epitelioides y en las células fusiformes de la EEC).
Descrito por primera vez en 1963 por Winkelmann y Müller 8, el HEG es una histiocitosis generalizada de clase II poco frecuente que afecta principalmente a adultos sanos. Se caracteriza por lesiones múltiples y simétricas, diseminadas por el tronco y las regiones proximales de las extremidades, de naturaleza benigna y que tienden a remitir espontáneamente.
La relación entre los diversos trastornos histiocitarios que se clasifican hoy en día como histiocitosis de clase II sigue siendo confusa. La inmunohistoquímica y la microscopia electrónica por sí solas no bastan para diferenciar los distintos trastornos histiocitarios, en particular para distinguir ni el XGJ del XP y de otras xantomatosis ni la HCB del HEG. La literatura médica reciente ha sugerido que el HEG podría ser parte de un espectro continuo de enfermedades relacionadas con el dendrocito dérmico, puesto que parece evidente que la HCB, el HEG, el XGJ, el XD, el XP y la HNP comparten las mismas características clínicas e inmunofenotípicas. Difieren en la localización y la distribución de las lesiones, pero el fenotipo de las células constituyentes parece idéntico, generalmente S100, CD1a, CD68+, y factor XIIIa+. Además, se observó una estrecha relación histológica entre la HCB, el HEG y el XGJ en estadio precoz no xantomatoso, como se confirmó en un estudio ciego con microscopia óptica 9. El hecho de que estas tres entidades no puedan ser distinguidas entre sí por la histología sugiere que la HCB, previamente considerada una entidad nosológica debido a su presentación clínica peculiar, podría ser una forma localizada de HEG o una fase abortiva de XGJ 10,11. El HEG parece un estadio precoz indiferenciado de diversos síndromes histiocitarios de clase II, y representaría la manifestación precoz de la histiocitosis de células indeterminadas 12, o precedería la presentación clásica de la RHM 13, el XGJ 14, la HNP y el XD 15,16. Casos de progresión de HEG a XD 17 que presentan sucesivamente todos los rasgos clínicos, histopatológicos, inmunohistoquímicos y ultraestructurales de ambas entidades, casos de solapamiento con hallazgos clínicos e inmunohistoquímicos sugestivos de HEG, XGJ o XD 18, o una combinación de características clínicas e histológicas, clasificada como variante de HEG que comparte aspectos comunes con el XD 19, han proporcionado evidencia en este sentido. Todas las lesiones tienen infiltrados histiocíticos similares en los estadios iniciales, con un predominio de células dendríticas que se lipidizan con el tiempo, y puede haber las típicas células de Touton. Las diferencias en la histopatología se explican por proporciones variables de histiocitos en diferentes fases funcionales y morfológicas. La historia natural de la enfermedad es de tendencia a la persistencia de las lesiones, a progresar lentamente, o a desaparecer. Las lesiones del XGJ son polimorfas histológicamente. Se ven histiocitos vacuolados sobre todo en la variante mononuclear de los xantogranulomas (HCB precoz y HEG). Predominan los histiocitos xantomatizados en el XP 20 (histológicamente caracterizado por un patrón reactivo monomorfo, con predominio de macrófagos espumosos) y raramente en el XD (en la enfermedad tardía); los histiocitos fusiformes en el xantogranuloma de células fusiformes y en la HNP, los histiocitos festoneados en la mayoría de casos del XD, en especial en fases precoces y, finalmente los histiocitos oncocíticos en la RHM 21.
Como conclusión, se trata de un espectro de enfermedades que pueden solaparse e incluso progresar unas a otras. Puesto que el cuadro podría progresar hacia formas más graves 22,23, deben emprenderse estudios clínicos, histológicos e inmunohistoquímicos, con revisiones periódicas. Si las lesiones cambian de morfología o se hacen xantomatosas, o se desarrollan manifestaciones sistémicas, se debe considerar seriamente la realización de una nueva biopsia y de estudios sistémicos.
Declaración de conflicto de intereses
Declaramos no tener ningún conflicto de intereses.
Correspondencia:
Manuel Vázquez-Blanco. Departamento de Dermatología.
Facultad de Medicina. San Francisco, s/n.
15782 Santiago de Compostela. España.
mejaime@usc.es
Recibido el 28 de marzo de 2005.
Aceptado el 7 de diciembre de 2005.






