Durante las últimas décadas la realización de tatuajes se ha extendido en la población y, paralelamente a ello, existe un aumento del número de publicaciones relativas a los efectos adversos que conlleva la realización de estas técnicas.
Las complicaciones que se han asociado a los tatuajes incluyen procesos infecciosos (cutáneos o sistémicos), reacciones inflamatorias con diversos patrones histológicos, la aparición de tumores cutáneos benignos o malignos sobre las zonas tatuadas y las manifestaciones de ciertas dermatosis sobre el área del tatuaje por el fenómeno isomórfico1.
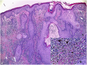
Un varón de 39 años de edad consultó por la aparición de una erupción pruriginosa en las áreas de color rojo de un tatuaje realizado un mes antes. En la exploración física se apreciaba sobre dichas áreas de color rojo unas lesiones sobreelevadas bien delimitadas, eritematosas, hiperqueratósicas y de consistencia firme (fig. 1). En la dermatoscopia se observaban unas áreas redondeadas y ovaladas de distintos tamaños, de centro eritematoso y periferia rosada, separadas entre sí por unas escamas amarillentas correspondientes a una hiperqueratosis (fig. 2). El estudio histopatológico mostró una marcada acantosis y papilomatosis epidérmica, sin células atípicas, con hiperqueratosis y áreas de paraqueratosis, y en la dermis se apreciaban depósitos intra y extracelulares de pigmento rojo, acompañado de un infiltrado predominantemente linfohistiocítico (fig. 3). El cultivo para hongos, bacterias y micobacterias del material de biopsia fue negativo. Se realizaron pruebas epicutáneas y ‘prick test’ resultando todas ellas negativas.
Imagen histopatológica. A) Hiperplasia epidérmica, hiperqueratosis de la capa cornea, con presencia en dermis superficial de depósitos de pigmento acompañado de un infiltrado inflamatorio (hematoxilina & eosina ×4). B) Detalle de los depósitos de pigmento en el interior de los histiocitos y extracelulares, acompañados de infiltrado linfohistiocítico (hematoxilina & eosina ×40).
El diagnóstico fue de hiperplasia seudoepitliomatosa sobre el color rojo de un tatuaje.
Se pautó tratamiento con corticoides tópicos de alta potencia en oclusión sin mejoría, posteriormente se realizaron infiltraciones subcutáneas de corticoides en dos ocasiones mejorando discretamente el prurito, pero sin una mejoría de las lesiones. El paciente fue programado para proceder al tratamiento mediante láser CO2, pero no acudió a la consulta.
La hiperplasia seudoepiteliomatosa es una reacción infrecuente dentro de las complicaciones de los tatuajes. Se trata de una hiperplasia de la epidermis irregular y sin atipia y poca actividad mitótica, acompañada de un infiltrado inflamatorio dérmico, lo que representa un patrón histológico reactivo frente a un daño ocasionado2.
Hasta la fecha, únicamente se han publicado casos aislados y alguna serie corta de pacientes2-9, por lo que es complicado el estudio de la entidad y la respuesta terapéutica a los tratamientos. Dentro de estos casos destaca que más de la mitad de ellos se originaron sobre el color rojo de los tatuajes; la mayoría, incluyendo el nuestro, se produjeron dentro de los primeros 3 meses a la realización del tatuaje. Esta característica de asociación temporal nos puede ayudar en el diagnóstico.
Es importante diferenciarla de auténticas neoplasias como el carcinoma escamoso, carcinoma verrucoso, el queratoacantoma o las verrugas virales9-11.
Los tratamientos empleados incluyen corticoides tópicos de alta potencia que fueron efectivos en un caso2, tres pacientes se trataron con excisión quirúrgica8,9, en nuestro caso no planteada por la extensión de las lesiones, y recientemente se han publicado casos tratados con éxito mediante láser CO27. En varios casos se ha perdido el seguimiento de los pacientes.
Como conclusión se ha descrito un caso de reacción al color rojo de un tatuaje constituida por una hiperplasia seudoepiteliomatosa, entidad descrita en la literatura de forma poco frecuente pero característica. Es el primer caso que se publica en nuestro país y, además, aportamos por primera vez la imagen dermatoscópica del proceso.
Conflicto de interesesLos autores declaran no tener ningún conflicto de intereses.




 
		
