Sr. Director:
La implantación de marcapasos cardiacos es una práctica clínica habitual. Aunque se han descrito en la literatura dermatitis granulomatosas por los generadores de los marcapasos de titanio, las manifestaciones cutáneas a largo plazo debidas a los electrodos o a sus cables (dos componentes más del marcapasos, aparte del generador) han sido poco mencionadas1.
Las complicaciones por no retirar ciertos componentes de antiguos marcapasos oscilan entre un 3 y un 30 %1. Las cutáneas incluyen erosiones producidas por los extremos de los cables, formaciones de senos de drenaje o fístulas, infecciones locales y granulomas a cuerpo extraño1,2.
Aportamos un nuevo caso de fístula cutánea con reacción granulomatosa a cuerpo extraño secundaria a cables abandonados de un marcapasos cardiaco.
Se trata de un varón de 88 años, sin alergias medicamentosas conocidas, con antecedentes de intervención por fractura de fémur izquierdo, hipertensión arterial, hipercolesterolemia, hernia de hiato, arritmia cardiaca por fibrilación auricular y portador de marcapasos cardiaco de localización abdominal, previamente ubicado en la región torácica izquierda y que, por mal funcionamiento del mismo, se recambió hace tres años. Sigue tratamiento antiagregante e hipolipidemiante.
El paciente consultó por la aparición de una lesión de unos dos meses de evolución, pápulo-nodular friable, exudativa y sangrante, localizada en la zona cercana a una antigua cicatriz de implantación de un marcapasos torácico. A la palpación se apreció una masa subcutánea de consistencia blanda de unos 2 × 1 cm de diámetro (fig. 1).
El estudio histopatológico de dos biopsias evidenció una lesión nodular, bien circunscrita, granulomatosa, con costra de polinucleares, células gigantes de tipo cuerpo extraño y centro inflamatorio granulomatoso con neoformación de luces vasculares e infiltrados linfoplasmocitarios (fig. 2). Ambas fueron compatibles con reacción granulomatosa a cuerpo extraño. Los cultivos del exudado y de una nueva biopsia fueron negativos.
Estudio histopatológico que evidencia una lesión granulomatosa con costra de polinucleares, células gigantes de tipo cuerpo extraño y centro inflamatorio granulomatoso con neoformación de luces vasculares e infiltrados linfoplasmocitarios, compatible con tejido de granulación junto a reacción granulomatosa a cuerpo extraño subyacente (hematoxilina-eosina, 10×).
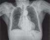
Se realizó una ecografía torácica que demostró una colección residual en forma de imagen fusiforme hipoecoica de 3,7 cm × 7 mm, por debajo de planos musculares hacia el esternón, junto a imagen lineal refringente situada en una estructura tubular anecoica por un resto de catéter o cable residual de marcapasos retirado. Se demostraron dichos cables residuales en una radiografía de tórax, donde se podían visualizar los dos cables abandonados, el más largo coincidente con la zona de la lesión granulomatosa conectado con el ventrículo derecho (fig. 3).
La radiografía de tórax anteroposterior muestra los electrodos residuales del marcapasos retirado, con las sondas en localización subclavicular, siendo la más larga la coincidente con el lugar de la lesión. El extremo contrario se sitúa en el ventrículo derecho. En la parte inferior de la radiografía puede observarse el electrodo de origen abdominal con su extremo libre en el ventrículo.
Con el diagnóstico de fístula cutánea con granuloma a cuerpo extraño secundaria a electrodos abandonados de marcapasos cardiaco, se contactó con el Servicio de Cirugía Cardiaca. Se procedió, en un quirófano donde era posible efectuar un procedimiento quirúrgico de emergencia en caso de que se presentara una complicación, a la resección del granuloma junto a la extracción del material protésico abandonado, que resultaron ser cables fragmentados. No hubo incidencias destacables.
Los marcapasos cardiacos constan de tres componentes: el generador, las sondas o cables y los electrodos3. En la práctica habitual, cuando se retira un marcapasos por motivo de rechazo, infección local o sepsis, se extrae el generador y se mantienen el resto de los componentes, ya que las complicaciones por retirarlos pueden comprometer la vida del paciente y dificultar dicha extracción4. Este abandono de material metálico es un hecho poco conocido por muchos profesionales médicos, que pueden llegar a manipular de forma inadecuada estas lesiones. Las complicaciones más destacables de dicha manipulación accidental son la laceración del miocardio o de la válvula tricúspide, la inducción de arritmias cardiacas, la rotura con migración del electrodo o un hemopericardio1,5.
Por otro lado, las complicaciones por no retirar todo el material del marcapasos suponen una incidencia de un 3 a un 30 %. Las más habituales son: migración de la sonda, formación de un asa en el ventrículo, excitación muscular, error de sensado, tromboembolismo pulmonar, hemopericardio, retracciones pleurales y síndrome de la vena cava superior1,6. Las complicaciones cutáneas por mantener dichos componentes incluyen erosiones cutáneas debidas a los extremos de los cables, formaciones de senos de drenaje o fístulas, infecciones locales y reacciones granulomatosas a cuerpo extraño1.
El mecanismo más probable de la inducción del granuloma a cuerpo extraño podría tratarse del estímulo repetido por mínimo traumatismo de los extremos de los cables, que produciría la fibrosis y los cambios inflamatorios2. En el caso presentado por Kootiratrakarn et al, la retirada de los cables residuales produjo la regresión de la masa granulomatosa2. Su extracción mediante técnicas percutáneas es imprescindible realizarla en centros donde sea posible efectuar un procedimiento quirúrgico de emergencia en caso de que se presente una complicación7. Algunos autores han propuesto, para prevenir los riesgos de la retirada de los cables, cortar los extremos de los mismos y suturarlos a la fascia subyacente8.
El dermatólogo, al sospechar este tipo de lesiones tardías en la cicatriz de un marcapasos, debería contactar con los cardiólogos y los cirujanos cardiacos para valorar la actitud a seguir conjuntamente. En nuestras consultas se deben tener en cuenta las posibles complicaciones secundarias a la manipulación inadecuada de las mismas, como puede ser al realizar una electrocoagulación o una extracción accidental de los cables abandonados.
Conflicto de intereses
Declaramos no tener ningún conflicto de intereses.





