INTRODUCCION
La inmunodepresión propia de la infección por el virus de la inmunodeficiencia humana (VIH) modifica las formas habituales de presentación y evolución de numerosas enfermedades cutáneas o sistémicas. Aportamos un caso de leishmaniasis visceral asociada al VIH con una expresión cutánea excepcionalmente rara en la Cuenca Mediterránea.
DESCRIPCION DEL CASO
Se trata de un varón de 30 años, ex adicto a drogas por vía parenteral, con infección VIH en estadio C3 bajo tratamiento antirretroviral (lamivudina, estavudina e indinavir) y profilaxis con sulfona. En el momento de la consulta tenía una cifra de 300 linfocitos CD4/ml y una carga viral inferior a 500 copias/ml aunque 9 meses antes tenía tan solo 1 linfocito CD4/mm3. Entre sus antecedentes destacan tuberculosis ganglionar, neumonía por Pneumocystis carinii, hepatitis C aguda, candidiasis orofaríngea, herpes zóster, aftas orales menores y foliculitis eosinofílica. El paciente además había sido diagnosticado por punción medular 10 meses antes de una leishmaniasis visceral, tras un síndrome constitucional con esplenomegalia y pancitopenia que inicialmente respondieron bien a antimoniales. No había referencias a viajes de interés epidemiológico. El paciente consultó por unas lesiones labiales algo dolorosas de semanas de evolución. A la exploración constituyen una placa casi continua a lo largo del labio inferior, con alguna lesión satélite y un importante componente eritematoexudativo perioral en ambas comisuras. A pesar de distintos tratamientos tópicos y fluconazol oral, pautados tras una observación directa de Candida albicans, las lesiones progresaron en las semanas siguientes adquiriendo un aspecto hipertrófico (fig. 1). No existían otras lesiones cutaneomucosas relevantes en ese momento.
Fig. 1.--Lesiones labiales con afectación simétrica perioral de comisuras.
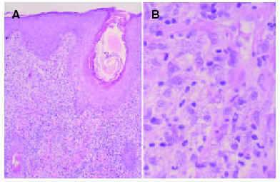
La biopsia con hematoxilina-eosina demostró un infiltrado difuso crónico con tendencia focal a la formación de granulomas no necrosantes, con numerosos histiocitos cargados de amastigotes de Leishmania (fig. 2) y células gigantes multinucleadas. No se observaron otros gérmenes con tinciones adecuadas ni datos de dermatitis específica. No se realizó cultivo específico de leishmaniasis.
Fig. 2.--A) Infiltrado cutáneo granulomatoso. (Hematoxilina-eosina, x100.) B) Numerosas formas amastigotes de leishmania. (Hematoxilina-eosina, x400.)
En el momento de las lesiones periorales, la biopsia de médula ósea demostró la presencia de leishmanias y la serología por hemaglutinación para leishmaniasis fue negativa. Las lesiones dermatológicas remitieron un mes después de completar un ciclo mensual de antimoniales a altas dosis (antimoniato de meglumina 1.275 mg/día), pero las biopsias medulares siguieron siendo positivas a pesar de distintos regímenes terapéuticos (antimoniales, anfotericina liposomal y esplenectomía) en años posteriores, por lo que 5 años después del brote descrito se está ensayando la pentamidina por vía intravenosa.
DISCUSION
La leishmaniasis visceral es una infección oportunista frecuentemente asociada a la inmunosupresión del paciente con infección por VIH en una zona endémica como la nuestra. En España se registraron 835 casos entre los años 1990 y 1998 y en Francia o Italia cerca de 200 casos para el mismo periodo1. Estos casos en nuestro medio están causados por zimodemos, tanto viscerotropos como dermatotropos, de Leishmania infantum2.
La afectación cutánea por leishmaniasis en pacientes con infección por VIH se considera rara y poco uniforme; nosotros la encontramos en un 18 % de los pacientes hospitalarios, predominando como forma clínica más habitual la de placas y pápulas de pigmentación violácea o gris y de localización simétrica acral3. En nuestro paciente, la afectación de la semimucosa es atípica para una infección autóctona4. No se pudo atribuir la posible presencia cutánea inespecífica de este organismo5,6, intencionadamente buscada, a ninguna otra dermatosis de base, quedando descartada tras la respuesta a la reintroducción del tratamiento antimonial. No hemos encontrado casos publicados de leishmaniasis visceral asociada al VIH con afectación perioral local como éste, aunque en algún caso se describen lesiones orales, sobre todo a nivel de paladar, como parte de un cuadro diseminado7. De hecho, los casos descritos en VIH con afectación mucosa aislada pueden tratarse de formas de inicio de leishmaniasis visceral sin afectación medular inicialmente detectable8,9. Las lesiones de nuestro paciente pueden recordar a las lesiones periorificiales de la leishmaniasis cutaneomucosa americana o sudanesa, pero ésta no se produce en el contexto de una leishmaniasis visceral y cursa con afección de mucosas nasal y oral10. Este proceso está causado por otras especies de Leishmania y los casos europeos autóctonos se consideran excepcionales11-13.
De la literatura médica revisada sólo hemos encontrado un caso con una iconografía parecida, publicado por Navarro et al14. Las lesiones eran más edematosas, pero también los autores se plantearon el diagnóstico diferencial con otras queilitis infecciosas de afectación marginal. Desconocemos si dicho caso, también con infección VIH, era de origen autóctono.
La serología negativa para Leishmania y la presencia de numerosísimos amastigotes en la biopsia cutánea son datos frecuentes en las leishmaniasis viscerales asociadas a VIH y pruebas del papel que desempeña la inmunosupresión en estas formas clínicas3,15.
La extensión cutánea en este caso es una expresión primordial de la infección sistémica, marcando su recidiva, pero, a diferencia de otros casos de nuestra serie, a la respuesta terapéutica del cuadro dermatológico no se acompañó la curación de su leishmaniasis visceral, que fue resistente incluso a la anfotericina liposomal.




