HISTORIA CLINICA
Una mujer de 52 años de edad consultó por la presencia de una erupción papulosa asintomática en el tronco y en las extremidades superiores desde hacía 6 meses, acompañada de tos seca matutina y disnea moderada en el último mes.
Como antecedentes personales de interés destacaban hipertensión arterial y diabetes mellitus, tratadas con enalapril y glibenclamida, respectivamente.
EXPLORACION FISICA
Se observaron decenas de maculopápulas lenticulares de tonalidad eritematovioláceo, con una fina descamación superficial, distribuidas de forma diseminada en brazos y antebrazos (fig. 1). Así mismo, en la región posterior del cuello y en la zona preesternal tenían pápulas eritematovioláceas aisladas, mucho más infiltradas (fig. 2).
Fig. 1.--Pápulas liquenoides diseminadas en extremidades superiores.
Fig. 2.--Lesiones eritematovioláceas infiltradas en la región preesternal.
EXPLORACIONES COMPLEMENTARIAS
Se realizaron biopsias cutáneas «en sacabocados» para estudio histológico y cultivos microbiológicos (fig. 3). Se realizó también una tomografía computarizada (TC) de tórax.
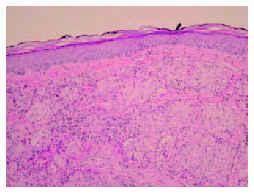
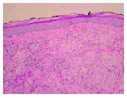
Fig. 3.--Detalle histológico de las lesiones.
DIAGNOSTICO
Sarcoidosis cutánea (forma liquenoide).
HISTOPATOLOGIA
El estudio histológico de una de las lesiones puso de manifiesto un infiltrado granulomatoso localizado fundamentalmente en dermis papilar. Se trataba de granulomas no necrosantes constituidos por histiocitos, algunas células gigantes multinucleadas y escasos linfocitos en la periferia. La tinción de Ziehl-Neelsen fue negativa, así como el estudio con luz polarizada y los cultivos del tejido para hongos y micobacterias.
EVOLUCION
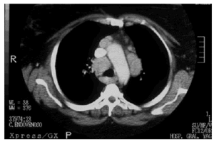
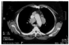
Ante estos hallazgos histológicos se realizó una batería de pruebas complementarias para estudiar la posible afectación sistémica, incluyendo hemograma y bioquímica sanguínea, detectándose los siguientes resultados anómalos: glucosa, 199 g/l; proteína C reactiva, 42; enzima conversora de la angiotensina (ECA), 62. La calcemia y la calciuria fueron normales. Se realizó una prueba de Mantoux, que fue negativa. Las exploraciones de imagen, incluyendo radiografías y TC de tórax, mostraron grandes masas adenopáticas hiliares bilaterales y paratraqueales, que comprimían la tráquea (fig. 4). Las pruebas funcionales respiratorias fueron normales. Tras una valoración oftalmológica, neurológica y cardiaca no se observó afectación de otros órganos.
Fig. 4.--En la TC torácica se observaron adenopatías hiliares y paratraqueales que comprimían la tráquea.
Se inició tratamiento con corticoides orales en dosis de 0,5 mg/kg cada 48 h. A los 2 meses de tratamiento las adenopatías habían disminuido, pero las lesiones cutáneas permanecían estables.
COMENTARIO
La sarcoidosis es una enfermedad inflamatoria granulomatosa sistémica y multiorgánica, que afecta principalmente a pulmón, ganglios linfáticos, piel y ojos. La frecuencia de afectación cutánea se estima en un 25 % de los casos1.
Las manifestaciones cutáneas de sarcoidosis se clasifican en lesiones específicas y en no específicas2. En las lesiones específicas se demuestra histológicamente la presencia de granulomas sarcoideos, mientras que en las no específicas no se observan granulomas, considerándose estas últimas procesos reactivos. Las manifestaciones específicas más comunes de la sarcoidosis son las erupciones maculopapulosas, las lesiones en placa, los nódulos, las cicatrices infiltradas y el lupus pernio. Se han descrito múltiples formas cutáneas clínicamente atípicas, entre las que se encuentran la sarcoidosis psoriasiforme3, las lesiones ulceradas4, las formas eritrodérmicas5 y las erupciones liquenoides6-9.
La forma liquenoide es una presentación clínica excepcional de la sarcoidosis. Se caracteriza por máculas y pápulas de 2 a 3 mm de diámetro, de aspecto liquenoide, agrupadas en algunas áreas y distribuidas de forma diseminada en extremidades y tronco. En algunos casos se ha observado una disposición folicular de las lesiones7,8.
El diagnóstico de sarcoidosis cutánea viene dado por la presencia de granulomas no caseificantes en la dermis y/o en la hipodermis, en los que se han descartado otras etiologías como las infecciones por micobacterias y hongos y los granulomas a cuerpo extraño.
Los granulomas específicos de la sarcoidosis son pequeños, compuestos por histiocitos epiteloides y células gigantes multinucleadas. Lo más característico es que estén rodeados de una escasa corona de linfocitos y células plasmáticas, por lo que se han descrito como granulomas «desnudos». Los granulomas sarcoideos no presentan necrosis central ni tienden a confluir10.
Tras el diagnóstico de sarcoidosis cutánea es obligado realizar diversas exploraciones complementarias para descartar afectación en otros órganos, incluyendo hemograma, bioquímica, velocidad de sedimentación globular (VSG), calcemia, proteinograma, poblaciones linfocitarias, ECA, calciuria, prueba de Mantoux, pruebas de imagen (radiografía de tórax y TC), pruebas funcionales respiratorias, electrocardiograma, y examen oftalmológico.
En el caso de nuestra paciente, que seguía tratamiento con fármacos antihipertensivos y sulfonilureas y tenía las lesiones fundamentalmente en áreas fotoexpuestas, nos planteamos el diagnóstico diferencial clínico con erupciones liquenoides medicamentosas, y desde el punto de vista histopatológico, con otras reacciones granulomatosas.
Las erupciones liquenoides por fármacos constituyen un grupo de reacciones cutáneas cuyas lesiones individuales presentan una morfología semejante o idéntica a la observada en el liquen plano clásico. Aparecen semanas a meses después de iniciarse el tratamiento y se distribuyen de forma simétrica en tronco y extremidades, diferenciándose así de las del liquen plano genuino10. En ocasiones se localizan solamente en áreas fotoexpuestas y la afectación mucosa es poco frecuente. Los fármacos implicados con mayor frecuencia son los inhibidores de la enzima conversora de la angiotensina (IECA), los bloqueantes de los canales del calcio, la metildopa, el litio y las sulfonilureas. Pueden aparecer lesiones en zonas fotoexpuestas tras la administración de 5-fluorouracilo, carbamazepina, diuréticos tiazídicos y furosemida, entre otros. El diagnóstico viene dado por la sospecha etiológica, la valoración clínica y la confirmación histológica que demuestre un patrón liquenoide con características distintas como la presencia de abundantes células plasmáticas y eosinófilos en el infiltrado, paraqueratosis focal y cuerpos coloides en la parte superior del estrato córneo.
El diagnóstico diferencial histológico de la sarcoidosis cutánea incluye otras enfermedades granulomatosas, como las reacciones a cuerpo extraño, las infecciones por micobacterias y ciertas micosis profundas. Las peculiaridades de la reacción granulomatosa permiten establecer una orientación diagnóstica. Los granulomas tuberculoides se observan sobre todo en la tuberculosis, la lepra, la sífilis tardía, la leishmaniasis y la enfermedad de Crohn metastásica. Estos granulomas están menos circunscritos que los granulomas sarcoideos, tienen mayor tendencia a confluir y suelen estar rodeados por una amplia corona de linfocitos y células plasmáticas11. La presencia de caseificación suele ser variable, siendo destacable en las lesiones tuberculosas.
Los granulomas supurativos aparecen en procesos como la cromomicosis, la esporotricosis, la blastomicosis, la coccidiomicosis o las infecciones por micobacterias no tuberculosas. Los granulomas supurativos están formados por histiocitos epitelioides, con o sin células gigantes multinucleadas, y tienen abscesos neutrofílicos en la zona central. El diagnóstico de certeza depende de la identificación del agente causal mediante tinciones (ácido peryódico de Schiff [PAS], metenamina argéntica y Ziehl-Neelsen) y cultivos específicos del tejido.
Las partículas de sílice y algunos pigmentos empleados para hacer tatuajes pueden producir una dermatitis granulomatosa similar a la sarcoidosis. Generalmente, las lesiones aparecen en la zona de traumatismo y diferenciarlas de la verdadera sarcoidosis puede ser difícil, ya que ésta también puede desarrollarse sobre cicatrices. La histología pone de manifiesto una reacción granulomatosa de tipo sarcoideo con células gigantes multinucleadas que contienen cuerpos extraños en su interior, difíciles de ver con microscopia convencional, pero birrefringentes con luz polarizada.
En conclusión, nuestra paciente presentaba lesiones liquenoides diseminadas en las que histológicamente se demostró la presencia de granulomas no necrosantes de tipo sarcoideo. También tenía afectación de los ganglios linfáticos mediastínicos, por lo que fue diagnosticada de sarcoidosis cutaneopulmonar con lesiones cutáneas liquenoides.






