INTRODUCCION
La esclerodermia es una conectivopatía de etiopatogenia autoinmune caracterizada por una alteración en la síntesis de colágeno responsable de la esclerosis final que condiciona el cuadro clínico. Se clasifica en dos grandes grupos, uno con afectación limitada a la piel y a tejidos subyacentes (esclerodermia localizada o morfea) y otro con afectación sistémica (esclerodermia sistémica)1. Dentro de la esclerodermia localizada, una forma especial es la morfea lineal, que cuando afecta a la región frontoparietal recibe el nombre de morfea en coup de sabre o en sablazo. Suele aparecer en las primeras décadas de la vida y en la mayoría de los casos se trata de una banda lineal unilateral, de color nacarado, con telangiectasias superficiales y bordes activos de color violáceo, que progresivamente darán lugar a una atrofia cutánea y en ocasiones a un hundimiento del hueso subyacente, produciendo una hemiatrofia de la zona afectada2.
DESCRIPCIÓN DEL CASO
Mujer de 60 años de etnia gitana que acudió a nuestra consulta para valoración de una lesión en la frente de 30 años de evolución que había crecido de forma progresiva en los últimos años. Según la paciente dicha lesión comenzó a raíz de su primera gestación.
Como antecedentes personales destacaban la presencia de una diabetes mellitus tipo 2 en tratamiento con antidiabéticos orales, hipercolesterolemia, hipertensión arterial y bronquitis asmática.
En la exploración cutánea se apreciaba, desde la glabela hasta 5 cm por encima de la línea de implantación del cuero cabelludo, una banda de aspecto fibrótico, dura y deprimida, de 11,5 cm de longitud por 3 cm de anchura, revestida de una piel lisa y brillante de color nacarado-violáceo, que dejaba ver telangiectasias superficiales y que originaba en la zona que afectaba al cuero cabelludo una banda de alopecia (fig. 1). La lesión se extendía a ambos lados de la línea media, si bien se desplazaba algo más hacia la derecha. En la exploración física no se encontraron otras alteraciones significativas.
Fig. 1.--Banda de esclerodermia lineal que afecta a la línea media desde la glabela hasta el cuero cabelludo.
La analítica general reflejó tan sólo un aumento de glucosa (166 mg/dl), triglicéridos (211 mg/dl) y colesterol total (227 mg/dl). El sistemático de orina y el estudio inmunológico (incluyendo FR, ANA, Ac anti- ADNn, Ac anti-Sm, Ac anti-Scl 70, Ac anti-RNP, niveles de complemento, etc.) fueron normales. La serología repetida frente a Borrelia burgdorferi fue negativa. No se encontraron alteraciones en los estudios oftalmológico y neumológico ni en la radiografía simple de cráneo.
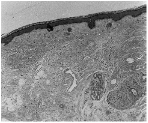
En el estudio histopatológico de la lesión se evidenció una epidermis dentro de la normalidad con esclerosis dérmica y del tejido celular subcutáneo, constituida por anchas bandas horizontales de colágeno. Llamaba la atención la ausencia de glándulas sebáceas (fig. 2).
Fig. 2.--Epidermis dentro de la normalidad. Esclerosis de la dermis y del tejido celular subcutáneo sustituido por bandas de colágeno horizontales. Destaca la ausencia de glándulas sebáceas.
DISCUSIÓN
La distribución de las lesiones cutáneas es un punto importante a la hora de establecer un diagnóstico dermatológico. Ciertas dermatosis lineales, congénitas o adquiridas, como nevos epidérmicos, incontinencia de pigmento, poroqueratosis lineal, liquen plano lineal, etc., siguen el trayecto de las líneas de Blaschko, que son líneas virtuales que se ponen de manifiesto cuando asientan en piel y mucosas ciertos procesos patológicos3-8.
En 1901 Alfred Blaschko presentó un diagrama de patrones de distribución de lesiones cutáneas lineales que adoptan una disposición característica a lo largo del cuerpo, deteniéndose casi siempre de forma abrupta en la línea media corporal y que representarían el patrón de desarrollo embrionario de la piel9-12. Nuevos estudios han confirmado que las dermatosis que siguen estas líneas se deben a un estado de mosaicismo o presencia en un individuo de células de diferente constitución cromosómica8, 12.
Según Blaschko13, estas líneas adoptan una disposición en espiral a nivel del cuero cabelludo, mientras que en la región frontal siguen un trayecto lineal a ambos lados de la línea media. Aunque estudios recientes han tratado de definir las líneas de Blaschko en la cabeza y en el cuello, todavía hay algunas áreas donde dichas líneas están insuficientemente documentadas, especialmente las referidas a la zona frontal y parietal, los labios y el párpado superior14.
Yoshinao et al15 realizaron una revisión de pacientes con esclerodermia lineal en coup de sabre y encontraron que en la mayoría de los casos (69,4%) la lesión se disponía de forma paralela y adyacente a la línea media desde la parte frontal del cuero cabelludo hasta la cara lateral de la nariz. En un 5% la lesión se extendía desde la parte superior de la cabeza, cruzando la cara lateral de la frente hasta alcanzar la parte externa de la ceja. El resto de los pacientes presentaban una doble lesión que se disponía según los dos patrones descritos.
La esclerodermia lineal generalmente se manifiesta como una banda unilateral. Aún es motivo de controversia si dicha enfermedad se dispone según las líneas de Blaschko11, 12, 15-17. Cuando las lesiones de esclerodermia son múltiples se ha visto que generalmente siguen un patrón «blaschkoide».
En el caso que presentamos, es muy llamativa la distribución medial de la lesión que engloba la línea media frontal y se extiende a ambos lados de la misma, desde el cuero cabelludo hasta la glabela, por lo que al tratarse de una lesión única no seguiría la especial disposición descrita por Yoshinao15.
Por último nos gustaría destacar la relación del embarazo como posible factor desencadenante de la lesión en esta paciente. Se ha descrito además la influencia de varios factores desencadenantes de este tipo de morfea en coup de sabre como diversos trastornos endocrinos (alteraciones tiroideas, paratiroideas, etc.), metabólicos (alteraciones del metabolismo del calcio), traumatismos, infecciones bacterianas (Borrelia burgdorferi), infecciones víricas (virus de Epstein Barr) e incluso traumas psíquicos18-22.




