Las dermatitis de patrón granulomatoso se han relacionado con trastornos hematológicos, entre ellos los síndromes mielodisplásicos. En este artículo se describe el primer caso de dermatitis granulomatosa asociado a policitemia vera, en forma de grandes nódulos eritematosos simulando paniculitis, y el séptimo caso asociado a mielodisplasia, con placas eritematosas en cara y cuello que recordaban a una dermatosis neutrofílica. Consideramos de especial interés para el dermatólogo conocer esta dermatosis como manifestación no específica de diferentes trastornos hematológicos, y sugerimos la realización de un estudio complementario (hemograma) en el caso de que la clínica cutánea sea el comienzo. Del mismo modo, proponemos el término más amplio de dermatitis granulomatosas para denominarlas, puesto que, si bien las formas intersticiales son más numerosas en la literatura, también se han publicado casos más nodulares, y la importancia de su diagnóstico no radica en el subtipo sino en su relación con un trastorno subyacente.
Granulomatous dermatitis has been associated with hematologic disorders, including the myelodysplastic syndromes. We describe the first case of granulomatous dermatitis associated with polycythemia vera, presenting as large erythematous nodules mimicking panniculitis. We also present the seventh case associated with myelodysplasia, with erythematous plaques on the face and neck, similar to a neutrophilic dermatosis. We consider it particularly interesting for dermatologists to be aware of this dermatosis as a nonspecific manifestation of various hematologic disorders. We suggest performing additional tests (complete blood count) to exclude the possibility that the skin manifestations are the initial sign of hematologic disease. Furthermore, we propose using the broader term, granulomatous dermatitis, to refer to these disorders as, although there are more reports of interstitial forms, cases with a more nodular presentation have also been published, and the importance of the diagnosis derives not from the subtype but from the relationship with an underlying disease.
Desde su descripción original asociada a artritis reumatoide1, la dermatitis granulomatosa intersticial (DGI) se ha relacionado con enfermedades hematológicas2–4, y en concreto, los síndromes mielodisplásicos cuentan con el mayor número de casos. En este artículo se describe el primer caso de dermatitis granulomatosa no intersticial (DGNI) asociado a policitemia vera (PV), y un nuevo caso de DGI asociado a mielodisplasia.
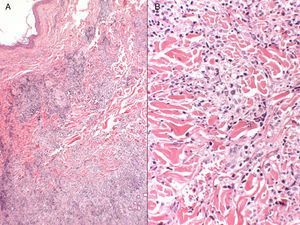
Casos clínicosCaso 1Mujer de 72 años (española, sin viajes fuera de Europa) con antecedentes patológicos de PV en tratamiento con hidroxiurea y ácido acetil salicílico, que comenzó con lesiones cutáneas generalizadas 5 años después del diagnóstico hematológico. Se trataba de unas 15-20 placas eritematosas, de entre 1-3cm, distribuidas en la región dorsal, tórax y cara externa de ambos brazos, por el que se planteó el diagnóstico de infección, dermatosis neutrofílica o lupus tumidus (fig. 1). La biopsia inicial mostraba un infiltrado inflamatorio linfocitario superficial y profundo alrededor de vasos, folículos y anejos, sin mucina, compatible con el diagnóstico clínico de lupus tumidus. Se ofreció tratamiento con hidroxicloroquina, que la paciente rechazó, y finalmente las lesiones cedieron sin tratamiento, aunque recurrían. Dieciocho meses después presentó lesiones parecidas a las del comienzo y 4 nódulos eritematosos no dolorosos de gran tamaño en ambas piernas, lo que nos sugirió una paniculitis lúpica. Una nueva biopsia mostró un infiltrado linfocitario perivascular superficial y profundo, maduro, sin atipia citológica (CD4+, CD2+ y CD5+, mayoritariamente; CD8+, CD79+ y CD20+, minoritariamente; CD30+, ocasional), acompañado de histiocitos (CD68+) y células plasmáticas. No se observaron alteraciones epidérmicas, hipodérmicas ni mucina. La hidroxiurea y el ácido acetil salicílico fueron suspendidos a pesar de la baja sospecha de causalidad, y se pautó tratamiento con doxiciclina 100mg/día durante 2 meses, sin completa resolución. Un año después presentó un nuevo brote de nódulos y placas en miembros superiores e inferiores, con sensibilidad, vello y sudoración conservados (fig. 2). Esta biopsia mostró un infiltrado inflamatorio dérmico superficial, profundo, histiocitario con tendencia a formar granulomas intersticiales, en puntos, y nodulares en otros, sin necrosis fibrinoide, rodeados de linfocitos (CD4+, CD8-, CD20- y CD30-) maduros sin atipia citológica (fig. 3). No se observaron cuerpos intracitoplasmáticos histiocitarios sugestivos de leishmaniasis, tampoco material exógeno con el ojo desnudo ni bajo luz polarizada. La tinción de Ziehl-Neelsen, los cultivos para bacterias, micobacterias, hongos y los test serológicos para sífilis y VIH fueron negativos. Los reactantes de fase aguda y la autoinmunidad (anticuerpos antinucleares, anti-DNA nativo, anti-ENA, complemento C3 y C4) fueron normales. No se realizó reacción en cadena de la polimerasa para descartar leishmaniasis debido a las lesiones intermitentes que cedían con corticoides o sin tratamiento. Con el diagnóstico de dermatitis granulomatosa (DG) se reintrodujeron los fármacos retirados, sin empeoramiento, y en la actualidad se mantiene estable con 10mg de prednisona cada 48h con disminución de la infiltración, pero sin resolución.
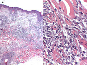
Varón de 74 años (español, sin viajes fuera de España) diagnosticado de anemia refractaria con exceso de blastos tipo 1 (AREB 1) un año antes, remitido por lesiones cutáneas acompañadas de artralgias sin artritis franca. Consistían en placas eritematosas de 2-3cm en una mejilla, frente y cuello, con sensibilidad, vello y sudoración conservadas (fig. 4). Tres meses antes había presentado lesiones similares un mes después de un primer ciclo de azacitidina, con resolución completa con 0,5mg/kg/día de prednisona. La biopsia cutánea mostró un infiltrado inflamatorio perivascular superficial, profundo y perianexial de linfocitos maduros, sin atipia, acompañado de granulomas histiocitarios intersticiales, sin necrosis (fig. 5), escasos eosinófilos, células gigantes multinucleadas y, focalmente, degeneración vacuolar de la basal y queratinocitos necróticos. Tampoco se observaron cuerpos intracitoplasmáticos ni cuerpos extraños con microscopia normal o luz polarizada. Los cultivos y los test serológicos para sífilis y VIH fueron negativos. Se realizó tinción inmunohistoquímica para CD15, marcando un escaso número de células; la inmunofluorescencia directa (IgG, IgM, IgA, C3 y fibrinógeno) y la tinción de Ziehl-Neelsen también arrojaron un resultado negativo. En la analítica sanguínea, además de los datos propios de su mielodisplasia, destacaron una PCR de 16,7mg/dl y una VSG de 88mm, con el resto de parámetros normales (anticuerpos antinucleares, anti-DNA nativo, anti-ENA, complemento C3 y C4). Como en el caso anterior, no se realizaron estudios moleculares para descartar leishmaniasis. Las lesiones se resolvieron al mes sin tratamiento y no volvieron a aparecer con los sucesivos ciclos de azacitidina. Tres años después su trastorno mielodisplásico se ha transformado en una leucemia mieloide aguda.
DiscusiónVestey et al.5, en 1993, publicaron los 2 primeros casos de lesiones cutáneas granulomatosas asociadas a un síndrome mielodisplásico; se trataba de unas erupciones papulosas difusas con histología de sarcoidosis en un caso y granuloma anular en el otro. También en 1993, Ackerman1 describía por primera vez el patrón de la DGI, asociado a artritis reumatoide, como un infiltrado dérmico compuesto mayoritariamente por histiocitos distribuidos intersticialmente y en empalizada alrededor de pequeños haces de colágeno degenerado, con escasa o nula mucina y un número limitados eosinófilos y neutrófilos. Por otro lado, Katz6 fue el primero en presentar una erupción granulomatosa cutánea diferente del granuloma anular, de la sarcoidosis y de la DGI, que describió como un infiltrado histiocitario multinodular, perivascular y perianexial con pequeños linfocitos y células plasmáticas. Se trataba, como en nuestro segundo caso, de nódulos eritematosos de mediano tamaño (1-5cm) en cara, cuero cabelludo y cuello. La denominó erupción granulomatosa cutánea sin más y fue publicada por su asociación con la mielodisplasia. Recientemente, Aung et al.7 utilizan por primera vez el término de DGNI en un caso asociado a mielodisplasia, bajo cuyo término también encajaría el caso de Katz. Su caso consiste en una gran placa eritematosa que ocupaba un brazo, simulando celulitis, con posterior aparición de 2 placas lineales en un codo. Cornejo et al.8 aúnan biopsias de DGI y DGNI en diferentes estadios evolutivos de las lesiones de un mismo paciente con mielodisplasia; la primera se correspondía con lesiones papulosas y la segunda con nódulos. Merece la pena destacar de este caso que, en una fase más diseminada del cuadro cutáneo del paciente, en una tercera biopsia se mezcla el patrón granulomatoso con leucemia cutis (células con núcleo grande hipercromático, mieloperoxidasa positivas), lo que llevó a la confirmación en médula ósea de progresión leucémica.
Además de la clínica en forma de erupción papulosa, nódulos y una gran placa simulando piodermitis tratada hasta este momento, cabe destacar las lesiones del caso de Patsinakidis et al.9, como grandes placas urticariformes y anulares en muslos, tronco y brazos, con biopsia de DGI en el contexto de mielodisplasia. El caso más extenso es el de Balin et al.10, con placas y pápulas coalescentes en tronco y extremidades, ocupando un 80% de la superficie corporal total, con histología de DGI.
Nuestra primera paciente, con biopsias mostrando diferentes patrones anatomopatológicos de lesiones que presentan un curso paralelo, puede poner de manifiesto un espectro histológico dentro de este cuadro reactivo.
Los casos reportados en el presente artículo constituirían el primero de DGNI asociado a PV, y el 7.° que asocia una DG como concepto amplio (granuloma anular, sarcoidosis, DGI y DGNI) con mielodisplasia. Consideramos más apropiado recoger estos casos bajo este término más amplio de DG, que englobaría todos los subtipos, dejando el protagonismo al hecho de que estos granulomas supongan una manifestación reactiva o paraneoplásica de trastornos hematológicos, como la mielodisplasia o la PV, obligando a la realización de al menos un hemograma en el estudio de extensión de estos pacientes.
Responsabilidades éticasProtección de personas y animalesLos autores declaran que para esta investigación no se han realizado experimentos en seres humanos ni en animales.
Confidencialidad de los datosLos autores declaran que han seguido los protocolos de su centro de trabajo sobre la publicación de datos de pacientes.
Derecho a la privacidad y consentimiento informadoLos autores declaran que en este artículo no aparecen datos de pacientes.
Conflicto de interesesLos autores declaran no tener ningún conflicto de intereses.







