INTRODUCCION
El término facomatosis pigmentoqueratótica (FPQ) hace referencia a un síndrome poco frecuente descrito por primera vez por Happle 1 basándose en una serie de 8 casos previamente publicados en la literatura 2-8. Desde entonces se han descrito otros 9 casos más 9-14. La FPQ consiste en la coexistencia de un nevo epidérmico o sebáceo con distribución en líneas de Blaschko con un nevo spilus o lentiginoso moteado con disposición en patrón de tablero de ajedrez 11; se ha descrito, además, la asociación con algunas alteraciones extracutáneas (neurológicas, oftalmológicas y esqueléticas), de las que las más frecuentes son la hemiatrofia, la disestesia e hiperhidrosis segmentarias, el retraso mental, las convulsiones, la sordera, la ptosis palpebral y el estrabismo 9,11,12.
El mecanismo propuesto para la aparición de la FPQ es el fenómeno genético conocido como «manchas gemelas» no alélicas 15,16. Llamamos manchas gemelas a áreas de tejido mutante que difieren entre sí y del tejido normal circundante 14. Las manchas gemelas no alélicas combinan lesiones névicas de componente celular diferente. Pueden presentarse como lesiones extensas o «aberrantes», lesiones gemelas en aposición o lesiones gemelas en áreas correspondientes contralaterales. Se ha acuñado el término didimosis (del griego didymos, gemelos) para hacer referencia a este fenómeno.
Para la generación de manchas gemelas no alélicas se propone que, en un estadio precoz de la embriogénesis, un organismo heterozigoto para dos mutaciones recesivas diferentes puede, mediante recombinación de cromosomas homólogos o no homólogos, dar lugar a dos células, las cuales darán lugar cada una de ellas a dos clones diferentes que serán homozigotas para cada una de las mutaciones 1,2,15. Estas mutaciones se manifestarán en forma de mosaico y ambas lesiones cutáneas se presentarán en íntima aposición o incluso imbricándose.
Presentamos un caso de FPQ, previamente publicado 13, que desarrolló varios carcinomas basocelulares sobre las lesiones de nevo sebáceo.
CASO CLINICO
Un varón de 27 años 13 presentaba, desde el momento del nacimiento unas placas de alopecia de superficie lisa, amarillentas, en el cuero cabelludo y en la cara. En el cuello y en el tronco mostraba múltiples placas marronáceas y verrucosas que se distribuían siguiendo las líneas de Blaschko. Estas lesiones eran más prominentes en la mitad izquierda del cuerpo, seguían un patrón a modo «de fuente» en la espalda y se paraban de manera brusca al llegar a la línea media abdominal. El examen físico demostraba una ptosis palpebral izquierda. Se llevó a cabo un estudio completo incluyendo hemograma, bioquímica, electrocardiograma, electroencefalograma y ecografía cerebral, con resultados normales. Una biopsia de las lesiones de la espalda y del cuero cabelludo mostró un nevo epidérmico con diferenciación sebácea. A los 5 años, el paciente desarrolló un nevo spilus en la mitad derecha del cuerpo, contralateral al nevo sebáceo. Las lesiones en cuero cabelludo permanecían estables. El desarrollo mental y general del paciente era normal, y presentaba ptosis palpebral izquierda, estrabismo interno, escoliosis lumbar e hipertrofia del paladar izquierdo. Se realizaron una radiografía y una tomografía axial computarizada (TAC) de cráneo, con resultados normales. Una biopsia de la lesión pigmentada en la espalda mostró un nevo melanocítico juntural sobre una lesión lentiginosa que, junto con la clínica, confirmaba el diagnóstico de nevo spilus.
El paciente acudió a consulta por la aparición de tres pápulas de coloración carnosa sobre el nevo sebáceo (fig. 1). Se procedió a la extirpación de estas lesiones y el estudio histológico mostró la aparición de agregados de células basaloides organizados en islotes celulares que fueron diagnosticados de carcinomas basocelulares. En una de ellas, la simetría, el aspecto claramente circunscrito de la lesión y la presencia de una grieta de retracción entre el estroma tumoral y la dermis adyacente planteó la posibilidad de un tricoblastoma, aunque la disposición del tumor con su eje mayor en sentido horizontal, así como el predominio del componente epitelial sobre el estromal entre otros, llevó al diagnóstico final de carcinoma basocelular, aunque con un componente hamartomatoso (fig. 2). En las otras dos lesiones, los islotes de células basaloides que colgaban de la epidermis, así como la asimetría y la ulceración llevaron al diagnóstico de carcinoma basocelular (fig. 3).
Fig.1.--Pápulas sobre lesiones de nevo epidérmico en el tronco.
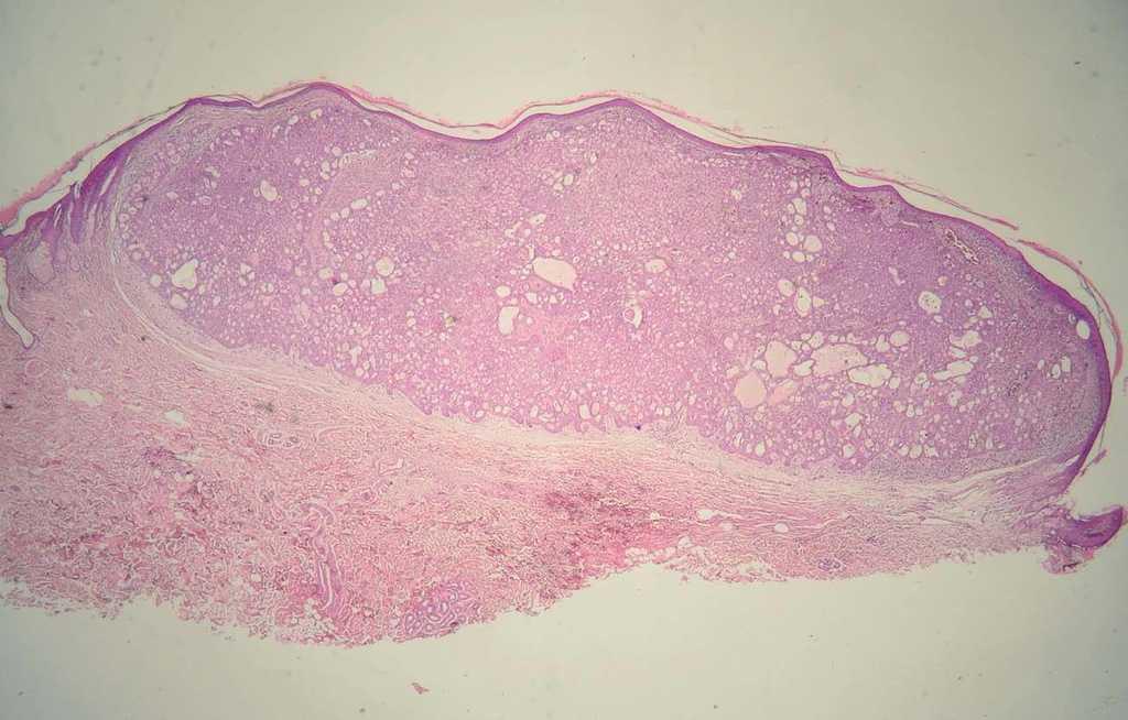
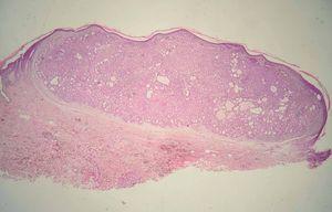
Fig. 2.--Proliferación circunscrita de células basaloides con una grieta de retracción entre el estroma tumoral y la dermis. (Hematoxilina-eosina, x 10.)
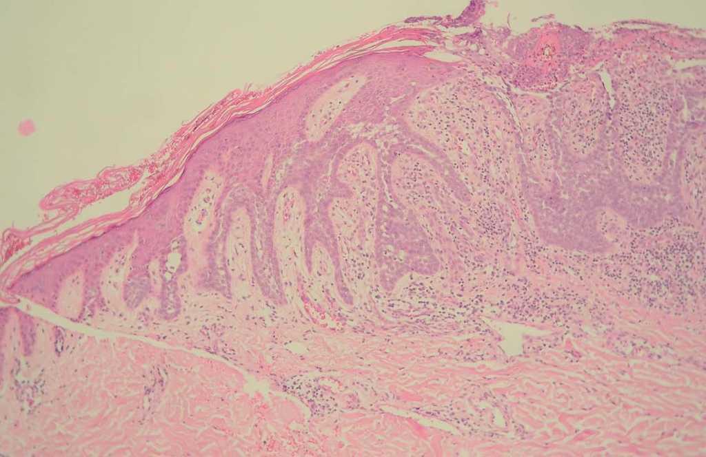
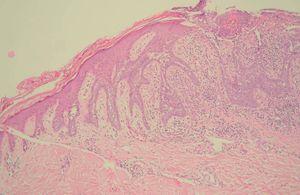
Fig. 3.--Proliferación multicéntrica de células basaloides junto con ulceración en la zona central de la lesión. (Hematoxilina-eosina, x 40.)
DISCUSION
El nevo sebáceo es un hamartoma que afecta a la epidermis, las glándulas ectópicas ecrinas, las apocrinas y los folículos pilosos. Se manifiesta como una placa redondeada u ovalada, bien circunscrita, con superficie rugosa y color amarillento. A lo largo de la vida del individuo, no es infrecuente la asociaciación del nevo sebáceo con otras entidades histológicas, benignas y malignas, en la misma localización. Según una serie de 366 casos de nevo sebáceo 17, las lesiones más frecuentemente asociadas a éste son la verruga vírica (4,09 %), el siringocistoadenoma papilífero (3,27 %), el tricoblastoma (2,18 %) y el carcinoma basocelular (1,91 %). Muchas series publicadas anteriormente coinciden en señalar el siringocistoadenoma papilífero como la lesión tumoral benigna más frecuente asociada con el nevo sebáceo 18-21. La neoplasia maligna más frecuentemente descrita asociada al nevo sebáceo es el carcinoma basocelular. Su frecuencia varía de unas series a otras, debido sobre todo a las diferencias de interpretación en la definición de carcinoma basocelular frente a tricoblastoma. En cualquier caso, no cabe duda de que existe una pequeña, pero no despreciable, proporción de nevos sebáceos asociados a neoplasias malignas 17.
El nevo spilus es una anomalía consistente en una mácula pigmentada de fondo, con elementos dispersos planos o elevados, de tinción más oscura. Las lesiones pueden estar presentes desde el nacimiento o desarrollarse durante la infancia y constituir un trastorno aislado o segmentario. Mientras que la degeneración maligna del nevo spilus es poco frecuente, existen en la literatura casos de melanomas sobre aquél. En una revisión de 946 casos de nevo spilus22 se desarrollaron 2 melanomas (0,02 %) y 3 nevos de Spitz.
En los casos publicados de FPQ (tabla 1), encontramos que 5 de los 17 pacientes descritos desarrollaron un carcinoma basocelular sobre el nevo sebáceo 3,4,12,14, lo que supone un porcentaje del 29,4 % frente al 1,91 % esperable según la serie de Rodríguez-Peralto et al 17. Por otro lado, 2 de los 17 pacientes desarrollaron un melanoma sobre el nevo spilus11,14, lo que representa una frecuencia de malignización del 11,8 % frente al 0,02 % descrito por Breitkopf et al 22. Por lo tanto, los pacientes con FPQ presentan una mayor predisposición al desarrollo de lesiones malignas sobre las lesiones névicas que las que presentan pacientes con estas lesiones de manera aislada. No conocemos el mecanismo por el cual se produce este potencial maligno en la FPQ, pero resulta necesaria la realización de un seguimiento estrecho en estos pacientes.
Declaración de conflicto de intereses
Declaramos no tener ningún conflicto de intereses.
Correspondencia:
Antonio Torrelo.
Servicio de Dermatología. Hospital del Niño Jesús.
Menéndez Pelayo, 65. 28009 Madrid. España.
atorrelo@aedv.es
Recibido el 2 de junio de 2006.
Aceptado el 27 de junio de 2006.






