INTRODUCCION
La profusa, y en ocasiones confusa, terminología de la alopecia mucinosa ha supuesto un importante problema para la correcta comprensión de esta enfermedad. Hay autores que utilizan la expresión «mucinosis folicular» como sinónimo de «alopecia mucinosa», ya que la alopecia, si no se afecta el pelo terminal, no es visible macroscópicamente. Otros autores, sin embargo, afirman que la «mucinosis folicular» no es más que un patrón histológico reactivo del epitelio folículo-sebáceo que puede encontrarse en múltiples patologías, y que no designa a ninguna enfermedad en concreto.
La distinción entre formas primarias o «benignas» de alopecia mucinosa, y formas secundarias asociadas a linfoma, ha sido motivo de controversia durante años, ya que no hay unos criterios clínicos, histológicos, inmunohistoquímicos ni genéticos que permitan diferenciarlas de manera inequívoca. Para algunos autores, esta distinción es innecesaria, ya que consideran que la «alopecia mucinosa primaria» es una variante de micosis fungoides con mucinosis folicular en su histología.
CASO CLINICO
Varón de 3 años de edad, sin antecedentes personales ni familiares de interés, que acudió a nuestra consulta por presentar dos lesiones asintomáticas, de un mes de evolución, localizadas en la región cigomática izquierda y el mentón. La familia refería que las lesiones permanecían estables y no relacionaban su aparición con picaduras, aplicación de tópicos, ni con otros posibles desencadenantes.
En la exploración se observaban dos placas eritematosas formadas por la confluencia de pápulas foliculares levemente queratósicas (fig. 1). La lesión del mentón tenía una disposición lineal, con alguna pápula satélite que alcanzaba la región cervical anterior. No se apreciaban placas similares en otras localizaciones ni ningún tipo de lesión cutánea sugerente de micosis fungoides.
Fig.1.—Placas formadas por la confluencia de pápulas foliculares.
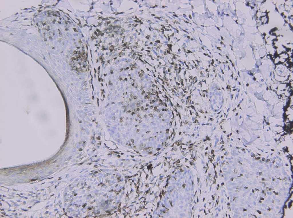
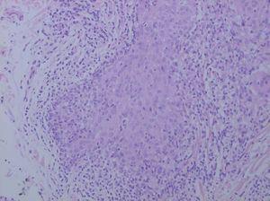
La histología mostraba una llamativa degeneración del epitelio folicular (fig. 2) con presencia de material mucinoso. A nivel perifolicular se observaba un infiltrado linfoide con cierto foliculotropismo y sin células atípicas. El estudio inmunohistoquímico mostraba una positividad para CD3 (fig. 3), sin un claro predominio CD4/CD8. Los marcadores B y el CD30 eran negativos. Mediante técnica de reacción en cadena de la polimerasa (PCR) no se puso de manifiesto un reordenamiento monoclonal del gen TCRγ.
Fig. 2.—H/Eo. Degeneración epitelio folicular. Infiltrado linfoide perianexial.
Fig. 3.—CD3 positivo.
Ante la persistencia de las lesiones se decidió aplicar un tratamiento tópico con corticoides potentes, remitiendo paulatinamente ambas lesiones. Al octavo mes, sólo persistían quistes de milio y comedones abiertos en la placa cigomática.
DISCUSION
Kreibich 1, en 1925, y Lehner Szodoray 2, en 1939, son los primeros autores que describen la presencia de mucina en el epitelio infundibular y folicular, al estudiar a pacientes con pápulas foliculares que formaban placas y que, clínicamente, recordaban a la parapsoriasis en grandes placas.
Pinkus 3, en 1957, acuña el término de «alopecia mucinosa», al describir a 6 pacientes con alopecia y presencia de mucina en los folículos. Braun-Falco 4, ese mismo año, divide la alopecia mucinosa, a la que denomina mucophanerosis intrafollicularis et seboglandularis en dos variantes, una primaria o idiopática, y otra secundaria o asociada a linfoma. Jablonska 5, en 1959, sustituye la expresión «alopecia mucinosa» por la de «mucinosis folicular», ya que la alopecia no es un hecho constante desde el punto de vista macroscópico. Desde entonces, los términos «alopecia mucinosa» y «mucinosis folicular» han sido empleados por muchos autores como sinónimos. Hempstead y Ackerman 6, en 1985, diferencian la «mucinosis folicular», que representa un patrón histológico inespecífico del epitelio folicular ante estímulos de muy diversa naturaleza, de la «alopecia mucinosa», entidad clinicopatológica propia con lesiones cutáneas características e histología de mucinosis folicular.
Las lesiones típicas de la alopecia mucinosa consisten en pápulas foliculares que confluyen formando placas y nódulos de aspecto inflamatorio. Las lesiones pueden ser edematosas, con una superficie descamativa o exudativa. Las aperturas foliculares están dilatadas y existe alopecia secundaria. En ocasiones, al presionar las placas, se aprecia mucinorrea.
Los hallazgos histológicos, a los que denominamos mucinosis folicular o epitelial, se caracterizan por una degeneración mucinosa del epitelio infundibular, folicular o sebáceo, a veces tan intenso que llega a destruir completamente el folículo. Acompañando a este depósito de mucina existe un infiltrado perianexial constituido mayoritariamente por linfocitos T. También pueden observarse, en cantidad variable, otras células inflamatorias como histiocitos y eosinófilos. Estos hallazgos histológicos no son específicos y, además de en la alopecia mucinosa, se han descrito en otras patologías como picaduras, botón de oriente, hiperplasia angiolinfoide, nevus melanocítico o lupus eritematoso 7.
Clásicamente la alopecia mucinosa se ha dividido en una forma idiopática (típica de niños y adultos jóvenes, con lesiones solitarias o escasas localizadas en cabeza, cuello y zona superior del tronco, con tendencia a la resolución espontánea y con excelente pronóstico), y una forma secundaria o sintomática, asociada a linfomas, especialmente a la micosis fungoides. También se ha descrito una tercera variante de alopecia mucionosa, con lesiones más diseminadas y persistentes, a la que se ha denominado «mucinosis folicular persistente o crónica benigna». Otras formas clínicas, como la alopecia mucinosa urticarial o la alopecia mucinosa acneiforme, han sido incluidas como nuevas variantes de alopecia mucinosa idiopática por algunos autores 7.
La alopecia mucinosa es infrecuente en la población pediátrica y, en la mayoría de los casos, tiene un excelente pronóstico, con escasas lesiones y tendencia a la resolución espontánea en pocos meses 8,9. No obstante, se han descrito asociaciones con linfomas 8,10, por lo que el comportamiento de la enfermedad no puede predecirse de forma inequívoca. El tratamiento de las formas localizadas consiste en la actitud expectante o en los corticoides tópicos. En lesiones persistentes o diseminadas se han utilizado múltiples estrategias terapéuticas, como corticoides intralesionales o sistémicos, radioterapia o cirugía, dapsona, tetraciclinas, isotretinoína, fototerapia, interferón, metotrexato o mostaza nitrogenada. Las formas secundarias responden al tratamiento del linfoma de base.
El principal problema de la alopecia mucinosa es que no existen unos criterios que nos permitan diferenciar de manera inequívoca las formas «benignas» de las asociadas a linfomas; y que, en determinadas ocasiones, alopecias mucinosas etiquetadas como «idiopáticas» se han transformado en micosis fungoides al cabo de los años. Nosotros, mientras no se clarifique si las alopecias mucinosas idiopáticas son variantes de micosis fungoides o procesos inflamatorios benignos, preferimos el término «alopecia mucinosa» para referirnos a este cuadro, coincidiendo con Hempstead y Ackerman 6 en la distinción entre el término histológico y la entidad clínico-patológica.
Pujol et al 11, en 1996, revisan 17 casos de alopecia mucinosa idiopática, de los que 9 casos presentaban reordenamiento monoclonal del gen TCRγ. Estos autores encuentran diferencias clínicas entre las formas idiopáticas monoclonales (mujeres, 30 años de edad, escasas lesiones localizadas en la cara, curso crónico sin tendencia a la resolución espontánea) y policlonales (varones, 50 años de edad, lesiones diseminadas, tendencia a la remisión espontánea) 11. Sanmartín et al 7, en 2002, publican un estudio con 23 pacientes que intenta establecer criterios clínicos, histológicos, inmunohistoquímicos e inmunogenotípicos, para diferenciar las distintas variantes de alopecia mucinosa. Estos autores concluyen que existen unas formas de presentación clínica características de la alopecia mucinosa idiopática, pero que la distinción entre formas primarias y secundarias es muy difícil si no se ha establecido previamente el diagnóstico de linfoma. En cuanto al reordenamiento genético, aunque no encuentran las peculiaridades clínicas descritas por Pujol, sí que correlacionan la monoclonalidad con lesiones persistentes sin tendencia a la regresión 7.
Brown et al 12, en 2002, presentan una serie de pacientes con mucinosis folicular no asociada a linfoma tras años de seguimiento, valorando el papel del reordenamiento del gen TCRγ y profundizando en el concepto de dermatosis monoclonal benigna.
Cerroni et al 13, en 2002, comparan 16 pacientes con mucinosis folicular idiopática frente a 28 pacientes con mucinosis folicular secundaria a linfoma, sin encontrar ningún criterio clínico, histológico ni molecular que permita diferenciar a ambos grupos; por lo que proponen que las formas idiopáticas de mucinosis folicular deben ser consideradas variantes de micosis fungoides con buen pronóstico.
Böer, Guo y Ackerman 14, en 2004, publican un nuevo estudio con 45 pacientes y revisan, de manera amplia, los distintos conceptos e ideas que la literatura recoge acerca de la alopecia mucinosa. Esos autores llegan a dos conclusiones: la mucinosis folicular, que en realidad debe denominarse mucinosis epitelial, es un patrón histológico inespecífico que puede observarse en múltiples enfermedades cutáneas; la alopecia mucinosa no es más que una micosis fungoides en cuya histología encontramos signos de mucinosis epitelial.
LeBoit 15, en 2004, en un intento de conciliar posturas tan divergentes, opina que la alopecia mucinosa puede ser, de forma simultánea, una enfermedad inflamatoria, una «neoplasia» benigna de linfocitos y un linfoma.
Lo que está fuera de dudas, a pesar de tanta discrepancia, es que los pacientes con alopecia mucinosa deben ser seguidos de forma cuidadosa, y probablemente durante toda su vida, mientras no dispongamos de las herramientas adecuadas que nos permitan establecer el comportamiento y el pronóstico de la enfermedad. La anamnesis y la exploración física buscando signos de micosis fungoides deben realizarse en las revisiones periódicas de estos pacientes. Así mismo, conviene rebiopsiar lesiones persistentes si aparecen datos que puedan hacernos sospechar un linfoma cutáneo. El estudio molecular, aunque no es patognomónico, puede ser útil para realizar un seguimiento más estrecho a los pacientes que presentan un reordenamiento monoclonal, sobre todo si presentan lesiones múltiples y crónicas.
Correspondencia:
Iván Cervigón González.
Escorial, 26. 28950 Moraleja de Enmedio. Madrid. España.
icervigon@sescam.jccm.es
Recibido el 3 de marzo de 2006.
Aceptado el 27 de Junio de 2006.





